Size: a a a

Наука и технологии

2019 November 19
Наука и технологии
CRISPR-кровь вылечила первых пациенток с наследственными заболеваниями
https://clck.ru/K7JpM
источник
Наука и технологии
Нейросеть Facebook улучшила качество фовеального рендеринга
https://clck.ru/K7prF
источник
2019 November 20
Наука и технологии
В Эквадоре нашли захоронения детей в «шлемах» из черепов
https://clck.ru/K8yM2
источник
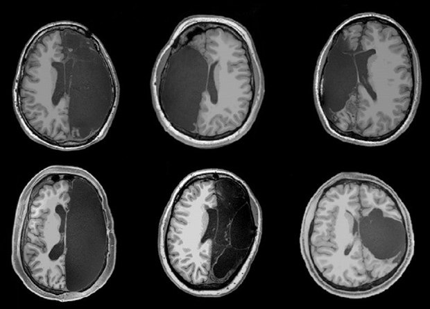
Наука и технологии
Оставшееся целым полушарие мозга обросло прочными функциональными связями
https://clck.ru/K97jD
источник
Наука и технологии
Вину за смертельную аварию беспилотника Uber разделили между всеми причастными
https://clck.ru/K9BAa
источник
Наука и технологии
Физики определили предельно тяжелые изотопы неона и фтора
https://clck.ru/K9D8v
источник
Наука и технологии
Регулярно делайте бэкап — проще восстановить данные, чем платить выкуп за собственную информацию
https://clck.ru/K9JdC
источник
Наука и технологии
В Денисовой пещере нашли древнейшую фигурку пещерного льва
https://clck.ru/K9LfC
источник
Наука и технологии
Археологи нашли погребальную лодку в погребальной лодке
https://clck.ru/K9PaL
источник
Наука и технологии
Запретить нельзя смириться
https://clck.ru/K9cjx
источник
Наука и технологии
Физики предложили «невозможный» кристалл в непрерывном времени
https://clck.ru/K9dNN
источник
Наука и технологии
Слепоту невнимания ограничили полуторами секундами
https://clck.ru/K9fuy
источник
Наука и технологии
Приложения камер Android-смартфонов оказались способны пользоваться камерой без разрешения
https://clck.ru/K9h2Q
источник
Наука и технологии
Астрономы впервые зафиксировали излучение сверхвысоких энергий от гамма-всплесков
https://clck.ru/K9zM8
источник
2019 November 21
Наука и технологии
Синдром дисперсии пигмента превратил глаза пациента в «Око Саурона»
https://clck.ru/KBLgZ
источник
Наука и технологии
Армия США начала поиск роботов для медицинской эвакуации
https://clck.ru/KBMkJ
источник
Наука и технологии
В метеоритах нашли четыре вида сахаров
https://clck.ru/KBQVC
источник
Наука и технологии
Прототип ракеты Starship лопнул во время испытаний
https://clck.ru/KBWok
источник
Наука и технологии
Электромеханический аэрофинишер обеспечил 22 посадки самолетов подряд
https://clck.ru/KBadN
источник
Наука и технологии
Защити себя сам
https://clck.ru/KBj28
источник