Size: a a a

Наука и технологии

2020 January 14
Наука и технологии
Вместо избирательной любви к кошкам в мозге мышей с токсоплазмой нашли любопытство и спокойствие
https://clck.ru/LscWC
источник
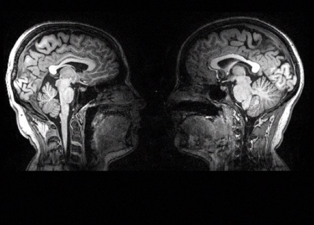
Наука и технологии
фМРТ сделали одновременно двоим
https://clck.ru/LsdDg
источник
Наука и технологии
В сверхтекучем газе получили долгоживущий сверхзвуковой ток
https://clck.ru/Lse3T
источник
2020 January 15
Наука и технологии
Британцы представили серийную версию самого большого воздушного судна
https://clck.ru/LtWe9
источник
Наука и технологии
Самолет для негабаритных грузов выполнил первый рейс
https://clck.ru/Ltg8K
источник
Наука и технологии
В Индии ввели обязательную регистрацию дронов
https://clck.ru/LtkAT
источник
Наука и технологии
Американцы показали испытания адаптивного крыла
https://clck.ru/Ltm2J
источник
Наука и технологии
Выгорание связали с повышенным риском развития мерцательной аритмии
https://clck.ru/Ltmgt
источник
Наука и технологии
Астрономы нашли окись фосфора в межзвездном облаке и комете Чурюмова — Герасименко
https://clck.ru/LtpAo
источник
Наука и технологии
Магнитные бури на малой высоте назвали неожиданной угрозой для геостационарных спутников
https://clck.ru/LtqWC
источник
Наука и технологии
Для российских военных создадут противолодочный самолет с робокатерами
https://clck.ru/Ltr2d
источник
Наука и технологии
Турки испытают истребитель с собственным двигателем в 2029 году
https://clck.ru/LttAX
источник
Наука и технологии
У шестисотлетних деревьев гинкго не нашли признаков дряхлости
https://clck.ru/Ltwin
источник
Наука и технологии
Ковалевская и ее кольца
https://clck.ru/Lu2wK
источник
Наука и технологии
2019 год стал вторым самым жарким за историю наблюдений
https://clck.ru/Lu3i5
источник
Наука и технологии
У черной дыры в центре Млечного Пути нашли объекты нового типа
https://clck.ru/Lu6Qe
источник
Наука и технологии
Фекальная трансплантация успокоила крыс после травмы спинного мозга
https://clck.ru/Lu9AV
источник
2020 January 16
Наука и технологии
Астрономы рассказали подробности о возможной второй планете у Проксимы Центавра
https://clck.ru/LuVAK
источник
Наука и технологии
Американцы испытают тактический носитель гиперзвуковых планеров в 2022 году
https://clck.ru/LuWDF
источник
Наука и технологии
Британцы занялись созданием Космического командования
https://clck.ru/LubX6
источник