Size: a a a

Терапии чат / Therapy

2021 April 01

LE

Langue E in Терапии чат / Therapy
Violett Rosettae
Терапевт, невролог
Куртка такая просто. Внутри жар остаётся + ветренная холодная погода.
источник

LE

Langue E in Терапии чат / Therapy
Violett Rosettae
Терапевт, невролог
Рентгена по идее достаточно будет?
источник

KK

Ksenia Ksenia in Терапии чат / Therapy
Вот не знаю.делала рентген легких недавно. На снимке было черное легкое,а в описании и сердце и легкие в норме...не понимаю,а самочувсвие все равно ужасное
источник

LE

Langue E in Терапии чат / Therapy
Ksenia Ksenia
Вот не знаю.делала рентген легких недавно. На снимке было черное легкое,а в описании и сердце и легкие в норме...не понимаю,а самочувсвие все равно ужасное
Кт МРТ дорого тыщ 3-10 ж?
источник

KK

Ksenia Ksenia in Терапии чат / Therapy
Langue E
Кт МРТ дорого тыщ 3-10 ж?
Да,к сожалению
источник

KK

Ksenia Ksenia in Терапии чат / Therapy
У нас щас немного на карте осталось
источник

LE

Langue E in Терапии чат / Therapy
Ksenia Ksenia
Да,к сожалению
А в больнице от государства никак не получить беспл?
источник

KK

Ksenia Ksenia in Терапии чат / Therapy
Langue E
А в больнице от государства никак не получить беспл?
Неа. Не знаю,когда сделаю.у меня есть омс
источник

KK

Ksenia Ksenia in Терапии чат / Therapy
Langue E
А в больнице от государства никак не получить беспл?
Значит черное легкое на рентгене это плохо уже...хотя описание в норме
источник

KK

Ksenia Ksenia in Терапии чат / Therapy
Langue E
А в больнице от государства никак не получить беспл?
Вот
источник

XS

Xenia Suvorova in Терапии чат / Therapy
Ksenia Ksenia
Значит черное легкое на рентгене это плохо уже...хотя описание в норме
это НОРМА)
источник

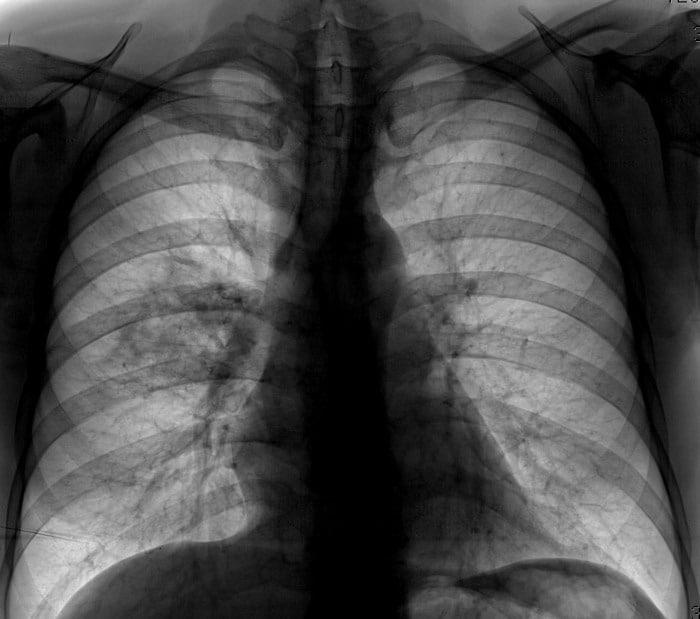
XS

Xenia Suvorova in Терапии чат / Therapy
ну или вот)
источник

KK

Ksenia Ksenia in Терапии чат / Therapy
Xenia Suvorova
это НОРМА)
Оно было слишком темным
источник

XS

Xenia Suvorova in Терапии чат / Therapy
о ужас, черные легкие норма)
источник

XS

Xenia Suvorova in Терапии чат / Therapy
Ksenia Ksenia
Оно было слишком темным
любая чернота норма в данном случае)
источник

XS

Xenia Suvorova in Терапии чат / Therapy
а полностью серые — не норма)
источник

XS

Xenia Suvorova in Терапии чат / Therapy
бывает еще в обратную сторону. Вот так)

Но это редкая история
источник

XS

Xenia Suvorova in Терапии чат / Therapy
Xenia Suvorova
ну или вот)
так выглядит чаще и это норм
источник

KK

Ksenia Ksenia in Терапии чат / Therapy
Ясно
источник

KK

Ksenia Ksenia in Терапии чат / Therapy
Я думаю,что при короне надо следить за состоянием человека,что б не откинулся
источник