Size: a a a

2019 November 04
Naked Science
Кстати, раз пошла такая тема.. всем тем, кто верит в любовь с первого взгляда – есть и такая статья у нас: https://naked-science.ru/article/nakedscience/nauka-lyubvi-s-pervogo-vzglyad
источник
2019 November 05
Naked Science
Африканские цесарки оказались способны на сложные многоуровневые взаимоотношения, которые до сих пор считались прерогативой лишь «высших» млекопитающих.

https://naked-science.ru/article/biology/u-ptits-vpervye-obnaruzhili-slozhnye-mnogourovnevye-soobshhestva
источник
Naked Science
В 1960 году 25-летний композитор Ла Монте Янг представил на суд общественности серию своих текстовых произведений на бумажных карточках.

Одно из произведений состояло из двух машинописных строк:
«большинство из них
были очень старыми кузнечиками».

Что это значит и как правильно использовать эту карточку?

Ответы на этот и многие другие вопросы касаемо интересных исторических культурных событий и фактов можно найти в онлайн-тесте для школьников, который проводится в рамках «Культурного марафона» от Яндекса.

Фишка теста в том, что за него школьник не получит оценку, зато выяснит множество занятных фактов! Например, узнает, понимал ли Моцарт, что он «классик», какой древней театральной традицией вдохновлялися известный американский рок-музыкант Дэвид Бирн во время турне группы Talking Heads в 1984-м году и зачем съемку эпизода в фильмах начинают с «хлопушки»?

Пройти онлайн-тест можно на сайте education.yandex.ru/culture.
источник
Naked Science
Новое исследование подтвердило, что зонд «Вояджер-2» вышел из гелиосферы. Однако реальная новость вновь заслоняется выдуманной: часто пишут, будто бы «Вояджер-2» и «Водяжер-1» покинули Солнечную систему. Разберемся в том, почему это не так и что плохого в обмане длиной в тридцать тысяч лет.

https://naked-science.ru/article/astronomy/voyadzher-snova-ne-pokinul-solnechnuyu-sistemu-i-smi-snova-ob-etom-ne-uznali
источник
Naked Science
Главные новости науки за день:

— Ученые нашли факторы, которые предсказывают личный успех https://naked-science.ru/article/psy/uchenye-nashli-faktory-kotorye-predskazyvayut-lichnyj-uspeh

— Математику в школе предложили приобщить к краеведению https://naked-science.ru/article/column/matematiku-v-shkole-predlozhili-priobshhit-k-kraevedeniyu

— В Крыму спустили на воду новые российские корабли проекта 22800 https://naked-science.ru/article/tech/v-krymu-spustili-na-vodu-novye-rossijskie-korabli-proekta-22800

— Лазеры помогут взломать умные устройства https://naked-science.ru/article/hi-tech/lazery-pomogut-vzlomat-umnye-ustrojstva

— Новое исследование пролило свет на форму Вселенной https://naked-science.ru/article/astronomy/novoe-issledovanie-prolilo-svet-na-formu-vselennoj

— Мысли о сексуальном контакте склоняют людей ко лжи https://naked-science.ru/article/psy/mysli-o-seksualnom-kontakte-sklonyayut-lyudej-ko-lzhi

— Российские астрофизики обнаружили нейтронную звезду с необычной структурой магнитного поля https://naked-science.ru/article/astronomy/rossijskie-astrofiziki-obnaruzhili-nejtronnuyu-zvezdu-s-neobychnoj-strukturoj-magnitnogo-polya

— Черные дыры проявляют свойства обычной квантовой материи https://naked-science.ru/article/column/chernye-dyry-proyavlyayut-svojstva-obychnoj-kvantovoj-materii

— Новая система идентифицирует личность по «биоакустическому профилю» тела https://naked-science.ru/article/hi-tech/novaya-sistema-identifitsiruet-lichnost-po-bioakusticheskomu-profilyu-tela

— У птиц впервые обнаружили сложные многоуровневые сообщества https://naked-science.ru/article/biology/u-ptits-vpervye-obnaruzhili-slozhnye-mnogourovnevye-soobshhestva

Читайте также:

— «Вояджер» снова не покинул Солнечную систему — и СМИ снова об этом не узнали https://naked-science.ru/article/astronomy/voyadzher-snova-ne-pokinul-solnechnuyu-sistemu-i-smi-snova-ob-etom-ne-uznali
источник
2019 November 06
Naked Science
Самые важные новости сегодня такие:

— Женский оргазм важен для зачатия https://naked-science.ru/article/medicine/zhenskij-orgazm-vazhen-dlya-zachatiya

— Ученые выяснили, какие состояния при беременности связаны с последующим ожирением у ребенка https://naked-science.ru/article/medicine/uchenye-vyyasnili-kakie-sostoyaniya-pri-beremennosti-svyazany-s-posleduyushhim-ozhireniem-u-rebenka

— В Европе заявили о прогрессе в рамках разработки истребителя шестого поколения https://naked-science.ru/article/tech/v-evrope-zayavili-o-progresse-v-ramkah-razrabotki-istrebitelya-shestogo-pokoleniya

— Одиннадцать тысяч ученых объявили о климатической катастрофе https://naked-science.ru/article/sci/odinnadtsat-tysyach-uchenyh-obyavili-o-klimaticheskoj-katastrofe

— Ученые создали крохотные искусственные подсолнухи https://naked-science.ru/article/hi-tech/uchenye-sozdali-krohotnye-iskusstvennye-podsolnuhi

— Эксперименты подтвердили возможность появления жизни у «черных курильщиков» https://naked-science.ru/article/biology/eksperimenty-podtverdili-vozmozhnost-poyavleniya-zhizni-u-chernyh-kurilshhikov

— Ученые создали «обратимый» клей для электроники https://naked-science.ru/article/hi-tech/uchenye-sozdali-obratimyj-klej-dlya-elektroniki
источник
2019 November 07
Naked Science
Анализ 14 исследований с общей выборкой в 232 тысячи человек показал, что пробежки сокращают смертность от различных причин в среднем на 30 процентов.

https://naked-science.ru/article/medicine/uchenye-vyyasnili-skolko-nuzhno-begat-dlya-prodleniya-zhizni
источник
Naked Science
Как основатель Naked Science покорял одну из самых известных и красивых вершин и почему пятитысячник — это не так страшно.

https://naked-science.ru/article/oftop/ararat
источник
Naked Science
Самое интересное за день:

— Ученые выяснили, сколько нужно бегать для продления жизни https://naked-science.ru/article/medicine/uchenye-vyyasnili-skolko-nuzhno-begat-dlya-prodleniya-zhizni

— Опийную наркоманию впервые попробовали лечить имплантацией электродов в мозг https://naked-science.ru/article/medicine/opijnuyu-narkomaniyu-vpervye-poprobovali-lechit-implantatsiej-elektrodov-v-mozg

— Новый штамм ВИЧ выявлен впервые за 19 лет https://naked-science.ru/article/medicine/novyj-shtamm-vich-vyyavlen-vpervye-za-19-let

— Япония спустила на воду субмарину c литий-ионными аккумуляторами https://naked-science.ru/article/tech/yaponiya-spustila-na-vodu-submarinu-c-litij-ionnymi-akkumulyatorami

— Электрокары могут спровоцировать новый экологический кризис https://naked-science.ru/article/hi-tech/elektrokary-mogut-sprovotsirovat-novyj-ekologicheskij-krizis

— Илон Маск обнародовал дату официальной презентации Cybertruck https://naked-science.ru/article/hi-tech/ilon-mask-obnarodoval-datu-ofitsialnoj-prezentatsii-cybertruck

— Ториевая сверхпроводимость: ученые нашли новый высокотемпературный сверхпроводник https://naked-science.ru/article/physics/torievaya-sverhprovodimost-uchenye-nashli-novyj-vysokotemperaturnyj-sverhprovodnik

— Ученые: комнатные растения не улучшают воздух в помещении https://naked-science.ru/article/medicine/uchenye-komnatnye-rasteniya-ne-uluchshayut-vozduh-v-pomeshhenii

— В городских квартирах живет больше грибков, чем в деревенских домах https://naked-science.ru/article/medicine/v-gorodskih-kvartirah-zhivet-bolshe-gribkov-chem-v-derevenskih-domah

Читайте также:

— Восхождение на Арарат https://naked-science.ru/article/oftop/ararat
источник
2019 November 08
Naked Science
Главные новости науки за день:

— Шведские исследователи, возможно, нашли линкор XVII века https://naked-science.ru/article/history/shvedskie-issledovateli-vozmozhno-nashli-linkor-xvii-veka

— Стали известны причины смертельной аварии с беспилотником Uber https://naked-science.ru/article/hi-tech/stali-izvestny-prichiny-smertelnoj-avarii-s-bespilotnikom-uber

— Ученые: миллениалы умирают раньше других и чаще страдают от депрессии https://naked-science.ru/article/psy/uchenye-millenialy-umirayut-ranshe-drugih-i-chashhe-stradayut-ot-depressii

— Космонавты с генами тихоходки смогут колонизировать Марс https://naked-science.ru/article/cosmonautics/kosmonavty-s-genami-tihohodki-smogut-kolonizirovat-mars

— Ученые изучили внутривидовое разнообразие ели https://naked-science.ru/article/column/uchenye-izuchili-vnutrividovoe-raznoobrazie-eli

— Анализ ДНК показал «генетическую историю» Древнего Рима https://naked-science.ru/article/history/analiz-dnk-pokazal-geneticheskuyu-istoriyu-drevnego-rima

Читайте также:

— Видео: как NASA хочет вновь покорить Луну https://naked-science.ru/article/video/artemida-kak-nasa-hochet-vnov-pokorit-lunu
источник
2019 November 09
Naked Science
На Западе набирает обороты очередная инициатива по массовой посадке деревьев — TeamTrees. К ней присоединился даже Илон Маск, сменив свое имя в твиттере на Трилон Маск. Считается, что массовые посадки помогут в борьбе с глобальным потеплением. Рассказываем, почему все заблуждаются в очередной раз и поможет ли это планете.


https://naked-science.ru/article/biology/v-chem-neprav-trilon-mask-derevya-ne-spasut-planetu-ot-globalnogo-potepleniya
источник
Naked Science
Самые важные новости сегодня такие:

— Онлайн-ретейлеры научились получать номера людей, которые заходили к ним на сайт https://naked-science.ru/article/hi-tech/onlajn-retejlery-nauchilis-poluchat-nomera-lyudej-kotorye-zahodili-k-nim-na-sajt

— Актер, погибший 64 года назад, получил роль в новом фильме https://naked-science.ru/article/media/akter-pogibshij-64-goda-nazad-poluchil-glavnuyu-rol-v-novom-filme

— В понедельник с Земли можно будет наблюдать транзит Меркурия https://naked-science.ru/article/astronomy/v-ponedelnik-s-zemli-mozhno-budet-nablyudat-tranzit-merkuriya

— США успешно испытали новый боевой лазерный комплекс https://naked-science.ru/article/tech/ssha-uspeshno-ispytali-novyj-boevoj-lazernyj-kompleks

— Найден важный биомаркер «болезни выживших недоношенных» https://naked-science.ru/article/medicine/najden-vazhnyj-biomarker-bolezni-vyzhivshih-nedonoshennyh

— Минобороны показало первый серийный Су-57 https://naked-science.ru/article/tech/minoborony-pokazalo-pervyj-serijnyj-su-57

— Пищевые добавки значительно снижают детскую смертность https://naked-science.ru/article/medicine/pishhevye-dobavki-znachitelno-snizhayut-detskuyu-smertnost

— Новый метод измерения показал, что Вселенная расширяется медленнее https://naked-science.ru/article/astronomy/novyj-metod-pokazal-chto-vselennaya-rasshiryaetsya-medlennee

Читайте также:

— В чем неправ Трилон Маск: деревья не спасут планету от глобального потепления https://naked-science.ru/article/biology/v-chem-neprav-trilon-mask-derevya-ne-spasut-planetu-ot-globalnogo-potepleniya

— Live скоро: запуск ракеты Falcon 9 со спутниками Starlink https://naked-science.ru/article/live/live-zapusk-rakety-falcon-9-so-sputnikami-starlink
источник
2019 November 10
Naked Science
Самые важные новости науки этой недели:

— Черные дыры проявляют свойства обычной квантовой материи https://naked-science.ru/article/column/chernye-dyry-proyavlyayut-svojstva-obychnoj-kvantovoj-materii

— Одиннадцать тысяч ученых объявили о климатической катастрофе https://naked-science.ru/article/sci/odinnadtsat-tysyach-uchenyh-obyavili-o-klimaticheskoj-katastrofe

— Ученые нашли факторы, которые предсказывают личный успех https://naked-science.ru/article/psy/uchenye-nashli-faktory-kotorye-predskazyvayut-lichnyj-uspeh

— Новое исследование пролило свет на форму Вселенной https://naked-science.ru/article/astronomy/novoe-issledovanie-prolilo-svet-na-formu-vselennoj

— Женский оргазм оказался важен для зачатия https://naked-science.ru/article/medicine/zhenskij-orgazm-vazhen-dlya-zachatiya

— Электрокары могут спровоцировать новый экологический кризис https://naked-science.ru/article/hi-tech/elektrokary-mogut-sprovotsirovat-novyj-ekologicheskij-krizis

— Мысли о сексуальном контакте склоняют людей ко лжи https://naked-science.ru/article/psy/mysli-o-seksualnom-kontakte-sklonyayut-lyudej-ko-lzhi

— Ученые выяснили, сколько нужно бегать для продления жизни https://naked-science.ru/article/medicine/uchenye-vyyasnili-skolko-nuzhno-begat-dlya-prodleniya-zhizni

— В Мексиканском заливе обнаружили зубы крупнейшей доисторической акулы, жившей 2,5 миллиона лет назад https://naked-science.ru/article/media/v-meksikanskom-zalive-obnaruzhili-zuby-krupnejshej-doistoricheskoj-akuly-zhivshej-2-5-milliona-let-nazad

Читайте также:

— «Вояджер» снова не покинул Солнечную систему — и СМИ снова об этом не узнали https://naked-science.ru/article/astronomy/voyadzher-snova-ne-pokinul-solnechnuyu-sistemu-i-smi-snova-ob-etom-ne-uznali
источник
Naked Science
Кто ты: гуманитарий или технарь? Перед тем, как приписать себя к той или группе почитай нашу статью.

https://naked-science.ru/article/psy/gumanitarij-ili-tehnar-kto-ty-budesh-takoj
источник
2019 November 11
Naked Science
Прямо сейчас должен состояться запуск ракеты-носителя Falcon 9 со спутниками Starlink. Трансляцию вы сможете посмотреть на нашем сайте.

https://naked-science.ru/article/live/live-zapusk-rakety-falcon-9-so-sputnikami-starlink
источник
Naked Science
Самые важные новости сегодня такие:

— NASA зафиксировало звездную вспышку рекордной силы https://naked-science.ru/article/astronomy/nasa-zafiksirovalo-zvezdnuyu-vspyshku-rekordnoj-sily

— СМИ: потенциально революционный самолет Celera 500L совершил первый полет https://naked-science.ru/article/hi-tech/smi-potentsialno-revolyutsionnyj-samolet-celera-500l-sovershil-pervyj-polet

— В Сколтехе разработали сверхбыстрые калиевые аккумуляторы https://naked-science.ru/article/column/v-skoltehe-razrabotali-sverhbystrye-kalievye-akkumulyatory

— Ученые получили минимально возможный кристалл льда https://naked-science.ru/article/physics/uchenye-poluchili-minimalno-vozmozhnyj-kristall-lda

— Смертельный токсин рыбы фугу оказался защитой от стресса https://naked-science.ru/article/biology/smertelnyj-toksin-ryby-fugu-okazalsya-zashhitoj-ot-stressa
источник
2019 November 12
Naked Science
Самые важные новости науки за сегодня:

— Недоношенные и маловесные младенцы темпераментом похожи на детей, брошенных родителями https://naked-science.ru/article/psy/nedonoshennye-i-malovesnye-mladentsy-temperamentom-pohozhi-na-detej-broshennyh-roditelyami

— Ученые научились направлять лекарства в опухоли с помощью звука https://naked-science.ru/article/medicine/uchenye-nauchilis-napravlyat-lekarstva-v-opuholi-s-pomoshhyu-zvuka

— Возрастная макулярная дегенерация к середине века поразит 77 миллионов европейцев https://naked-science.ru/article/medicine/vozrastnaya-makulyarnaya-degeneratsiya-k-seredine-veka-porazit-77-millionov-evropejtsev

— Икота играет важную роль в развитии детского мозга https://naked-science.ru/article/biology/ikota-igraet-vazhnuyu-rol-v-razvitii-detskogo-mozga

— В NASA одобрили «космического ската» для исследований Венеры https://naked-science.ru/article/hi-tech/v-nasa-odobrili-kosmicheskogo-skata-dlya-issledovanij-venery

— Робота Федора хотят снабдить колесами вместо ног https://naked-science.ru/article/hi-tech/robota-fedora-hotyat-snabdit-kolesami-vmesto-nog

— Ученые раскрыли структуру вирусного родопсина https://naked-science.ru/article/column/uchenye-raskryli-strukturu-virusnogo-rodopsina

— Найдены считавшиеся вымершими «олени» размером с кролика https://naked-science.ru/article/biology/najdeny-schitavshiesya-vymershimi-oleni-razmerom-s-krolika

— Японский стартап готовится создать искусственный метеоритный дождь https://naked-science.ru/article/cosmonautics/yaponskij-startap-gotovitsya-sozdat-iskusstvennyj-meteoritnyj-dozhd

— Наркоманов стало возможно выявить по отпечатку пальца https://naked-science.ru/article/chemistry/narkomanov-stalo-vozmozhno-vyyavit-po-otpechatku-paltsa
источник
2019 November 13
Naked Science
Гибель десятков человек от вейпинга объяснили витамином Е. Попробуем разобраться в странной истории о массовой болезни молодых вейперов.

https://naked-science.ru/article/medicine/zagadochnaya-epidemiya-smertej-ot-vejpinga-kannabis-ili-vitamin-e
источник
Naked Science
Самые важные новости сегодня такие:

— Curiosity обнаружил повышение уровней кислорода на Марсе https://naked-science.ru/article/astronomy/curiosity-obnaruzhil-povyshenie-urovnej-kisloroda-na-marse

— Собаки, как и люди, связывают высокие звуки с высокими предметами https://naked-science.ru/article/psy/sobaki-kak-i-lyudi-svyazyvayut-vysokie-zvuki-s-vysokimi-predmetami

— США испытали модернизированный радар для вертолета AH-64E Apache https://naked-science.ru/article/tech/ssha-ispytali-modernizirovannyj-radar-dlya-vertoleta-ah-64e-apache

— Ученые объяснили, как создать роботов с эмоциями https://naked-science.ru/article/hi-tech/uchenye-obyasnili-kak-sozdat-robotov-s-emotsiyami

— Астероид Ultima Thule получил имя Аррокот https://naked-science.ru/article/astronomy/asteroid-ultima-thule-poluchil-imya-arrokot

— Разработан новый высокоэффективный гибкий прозрачный проводник https://naked-science.ru/article/column/razrabotan-novyj-vysokoeffektivnyj-gibkij-prozrachnyj-provodnik

— Российские ученые создали «трехслойный» сорбент для очистки питьевой воды от цинка https://naked-science.ru/article/column/rossijskie-uchenye-sozdali-trehslojnyj-sorbent-dlya-ochistki-pitevoj-vody-ot-tsinka

— Линии электропередач делают пчел агрессивными https://naked-science.ru/article/biology/linii-elektroperedach-delayut-pchel-agressivnymi

— Впрыскиваемые «инъектроды» упростят точную стимуляцию нейронов https://naked-science.ru/article/medicine/vpryskivaemye-inektrody-uprostyat-tochnuyu-stimulyatsiyu-nejronov

Читайте также:

— Загадочная эпидемия смертей от вейпинга: каннабис или витамин Е? https://naked-science.ru/article/medicine/zagadochnaya-epidemiya-smertej-ot-vejpinga-kannabis-ili-vitamin-e
источник
2019 November 14
Naked Science
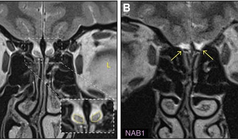
Исследователи обнаружили у девушки удивительную аномалию — отсутствие обонятельных луковиц при сохранном обонянии. Попробуем разобраться, почему это возможно и как мозг справляется с необходимостью «заменять» проблемные участки.


https://naked-science.ru/article/biology/zhenshhina-bez-obonyatelnyh-lukovits-ne-poteryala-obonyanie-kak-i-pochemu-lyudi-umudryayutsya-normalno-zhit-bez-vazhnyh-uchastkov-mozga
источник