Size: a a a

Radiology/Рентгенология Чатоид

2019 December 13

NL

Nikita Levin in Radiology/Рентгенология Чатоид
😁
источник

NL

Nikita Levin in Radiology/Рентгенология Чатоид
Данные пациентки уберите
источник

АС

Алексис Санчес... in Radiology/Рентгенология Чатоид
1966 гр
источник

NL

Nikita Levin in Radiology/Рентгенология Чатоид
Анамнез, клиника
источник

АС

Алексис Санчес... in Radiology/Рентгенология Чатоид
Диагноз кардиомиопатия
источник

АС

Алексис Санчес... in Radiology/Рентгенология Чатоид
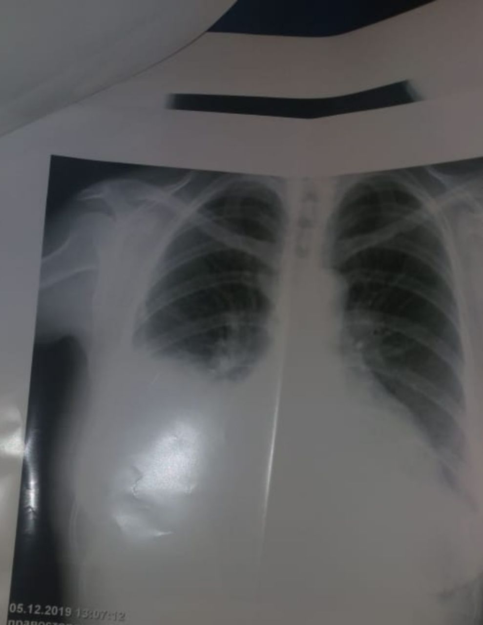
Это до пункции
источник

АС

Алексис Санчес... in Radiology/Рентгенология Чатоид
источник

АС

Алексис Санчес... in Radiology/Рентгенология Чатоид
Это после.
источник

АС

Алексис Санчес... in Radiology/Рентгенология Чатоид
Как описываете
источник

NL

Nikita Levin in Radiology/Рентгенология Чатоид
Половину легкого делали?
источник

АС

Алексис Санчес... in Radiology/Рентгенология Чатоид
Пожалуйста без сарказма
источник

NL

Nikita Levin in Radiology/Рентгенология Чатоид
Это вопрос
источник

NL

Nikita Levin in Radiology/Рентгенология Чатоид
Боковая проекция где?
источник

АС

Алексис Санчес... in Radiology/Рентгенология Чатоид
источник

NL

Nikita Levin in Radiology/Рентгенология Чатоид
Осумкование?
источник

NL

Nikita Levin in Radiology/Рентгенология Чатоид
Бок нужен
источник

АС

Алексис Санчес... in Radiology/Рентгенология Чатоид
Ок. Обе снимки сегодня снято. 1до 2 ой после пункции
источник

NL

Nikita Levin in Radiology/Рентгенология Чатоид
Ок. Динамика положительная. Для уточнения положения жидкости правый бок
источник

АС

Алексис Санчес... in Radiology/Рентгенология Чатоид
источник

АС

Алексис Санчес... in Radiology/Рентгенология Чатоид
Это от 05.12
источник