Size: a a a

Radiology/Рентгенология Чатоид

2020 May 28

NL

Nikita Levin in Radiology/Рентгенология Чатоид
Ищите в чате, когда-то встречал
источник

E

Elsa Cassini in Radiology/Рентгенология Чатоид
Nikita Levin
Ищите в чате, когда-то встречал
Спасибо!
источник

К.

Кана . in Radiology/Рентгенология Чатоид
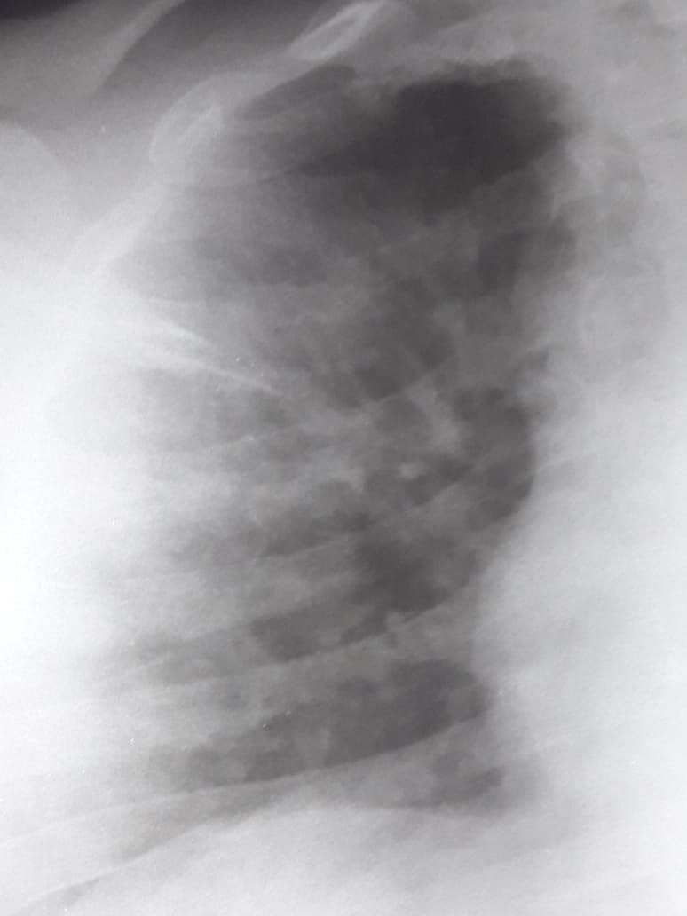
Добрый вечер коллеги. Что можете сказать по этому снимку?
источник

К.

Кана . in Radiology/Рентгенология Чатоид
Справа в 3 сегменте не похоже на инфильтрацию?
источник

А

Алишер in Radiology/Рентгенология Чатоид
Гипертрофия левых отделов ❤️
источник

А

Алишер in Radiology/Рентгенология Чатоид
Снимок какой-то древнегреческий
источник

К.

Кана . in Radiology/Рентгенология Чатоид
источник

К.

Кана . in Radiology/Рентгенология Чатоид
Вот так если
источник

К.

Кана . in Radiology/Рентгенология Чатоид
Подскажите
источник

К.

Кана . in Radiology/Рентгенология Чатоид
?
источник

А

Алишер in Radiology/Рентгенология Чатоид
Походу он когда то переболел экссудативном плевритом
источник

А

Алишер in Radiology/Рентгенология Чатоид
Можно поставить м о и
источник

А

Алишер in Radiology/Рентгенология Чатоид
3 сегменте
источник

А

Алишер in Radiology/Рентгенология Чатоид
Или фиброзные изменения в.д s 3
источник

А

Алишер in Radiology/Рентгенология Чатоид
Справа
источник

К.

Кана . in Radiology/Рентгенология Чатоид
🙏❤️
источник

А

Алишер in Radiology/Рентгенология Чатоид
Смело
источник

А

Алишер in Radiology/Рентгенология Чатоид
Влепи ему ещё хронический деформирующий бронхит
источник

NL

Nikita Levin in Radiology/Рентгенология Чатоид
Это не рентгеновский диагноз. Ставится только по кт
источник

NL

Nikita Levin in Radiology/Рентгенология Чатоид
Кана .
Добрый вечер коллеги. Что можете сказать по этому снимку?
Снимки без анамнеза🙃
источник