Size: a a a

Radiology/Рентгенология Чатоид

2020 August 11

Д

Денис in Radiology/Рентгенология Чатоид
Спасибо)
источник

Д

Денис in Radiology/Рентгенология Чатоид
А вот в данном, для дообследования, случае лучше рекомендовать КТ или МРТ?
источник

NL

Nikita Levin in Radiology/Рентгенология Чатоид
Денис
А вот в данном, для дообследования, случае лучше рекомендовать КТ или МРТ?
УЗИ щитовидной и КТ
источник

Д

Денис in Radiology/Рентгенология Чатоид
Спасибо)
источник

М

Мадина in Radiology/Рентгенология Чатоид
Добрый вечер всем)
источник

l

lizabes in Radiology/Рентгенология Чатоид
Евгений Владимирович
Помогите,что видите . Снимки прислали , подозрение нарушения с0-с2.
По снимкам же и не увидишь, если нет костно-травматических . МРТ шейного отдела позвоночника пусть сделают
источник

JS

John Smith in Radiology/Рентгенология Чатоид
Евгений Владимирович
Нет она сама.
Снимки просто очень бородатые, их уже года два рассылает сестра вот этой женщины парализованной. За два года там можно было пройти несколько мрт в хороших центрах и найти нейрохирурга.
источник
2020 August 12

Д

Денис in Radiology/Рентгенология Чатоид
Здравствуйте! Помогите пожалуйста исключить пневмонию. Женщина, была темпер 37.5 небольшой кашель.
источник

Д

Денис in Radiology/Рентгенология Чатоид
источник

N

Nick RomanOFF in Radiology/Рентгенология Чатоид
Денис
Не видно инфильтации
источник

Д

Денис in Radiology/Рентгенология Чатоид
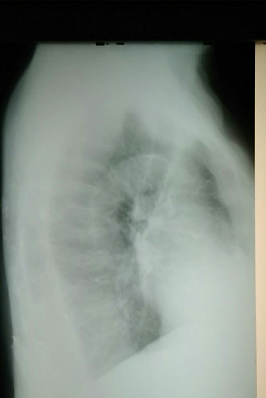
Снова прошу о помощи) Нужно исключить пневмонию. Женщина 41 года рождения. Жалобы на темп 37 и небольшой кашель
источник

Д

Денис in Radiology/Рентгенология Чатоид
источник

М

Марина in Radiology/Рентгенология Чатоид
я не вижу инфильтрации
источник

РТ

Ренат Тажимуратов... in Radiology/Рентгенология Чатоид
Женщин 64 года. 3.08.20 поступила. Ковид +. На 7 сутки резко упал SPO2, 68. Подключили к Spap с кислородом. Spo2 постепенно достиг до 93. При отключении от Spap падает до 70
источник

РТ

Ренат Тажимуратов... in Radiology/Рентгенология Чатоид
03.0820
источник

РТ

Ренат Тажимуратов... in Radiology/Рентгенология Чатоид
Сегодня
источник

NL

Nikita Levin in Radiology/Рентгенология Чатоид
просится кт
источник

РТ

Ренат Тажимуратов... in Radiology/Рентгенология Чатоид
Nikita Levin
просится кт
Нет возможности. Еле до рентгена дошли
источник

NL

Nikita Levin in Radiology/Рентгенология Чатоид
по рентгену еле заметные изменения
источник

NL

Nikita Levin in Radiology/Рентгенология Чатоид
которые не кореллируют с сатурацией
источник