Size: a a a

Radiology/Рентгенология Чатоид

2020 August 31

NL

Nikita Levin in Radiology/Рентгенология Чатоид
При наличии острой клиники и потери в весе и изменения мокроты
источник

O

Oksana in Radiology/Рентгенология Чатоид
Nikita Levin
Такая полость туб максимум 2-3 месяца
Это после ковид образование полости , необычное, до этого был здоров, в весе потерял немного 3 кг за 1.5 месяца, одышка.
источник

NL

Nikita Levin in Radiology/Рентгенология Чатоид
Дифференциировать тогда. У нас были случаи но тогда ковид был фоном а тут изменения основными
источник

NL

Nikita Levin in Radiology/Рентгенология Чатоид
Надо смотреть) если удасться достать диск это хорошо
источник
2020 September 01

M

Mikhailxraydoc in Radiology/Рентгенология Чатоид
👋 литературу по маммографии посоветуйте  если есть электронные скиньте пожалуйста
источник

А

Александр in Radiology/Рентгенология Чатоид
Mikhailxraydoc
👋 литературу по маммографии посоветуйте  если есть электронные скиньте пожалуйста
источник

А

Александр in Radiology/Рентгенология Чатоид
Есть ли инфильтрация справа, по типу перибронхиальной? Или рисунок такой
источник

А

Александр in Radiology/Рентгенология Чатоид
источник

АС

Алексис Санчес... in Radiology/Рентгенология Чатоид
Нет по моему
источник

MJ

Mr James in Radiology/Рентгенология Чатоид
это пленка? если нет хорошо бы в позитиве
источник

.

. in Radiology/Рентгенология Чатоид
источник

NL

Nikita Levin in Radiology/Рентгенология Чатоид
А Клиника?
источник

ТТ

Таня Тимонина... in Radiology/Рентгенология Чатоид
источник

ТТ

Таня Тимонина... in Radiology/Рентгенология Чатоид
Это зуб так наслаивается на нижние отделы левой верхнечелюстной пазухи?
источник

А

Алекс in Radiology/Рентгенология Чатоид
В чем загвостка?
источник

ТТ

Таня Тимонина... in Radiology/Рентгенология Чатоид
Алекс
В чем загвостка?
Просто хотела посоветоваться) сегодня первый рабочий день
источник

А

Александр in Radiology/Рентгенология Чатоид
Это зуб или металл?
источник

К

КД in Radiology/Рентгенология Чатоид
источник

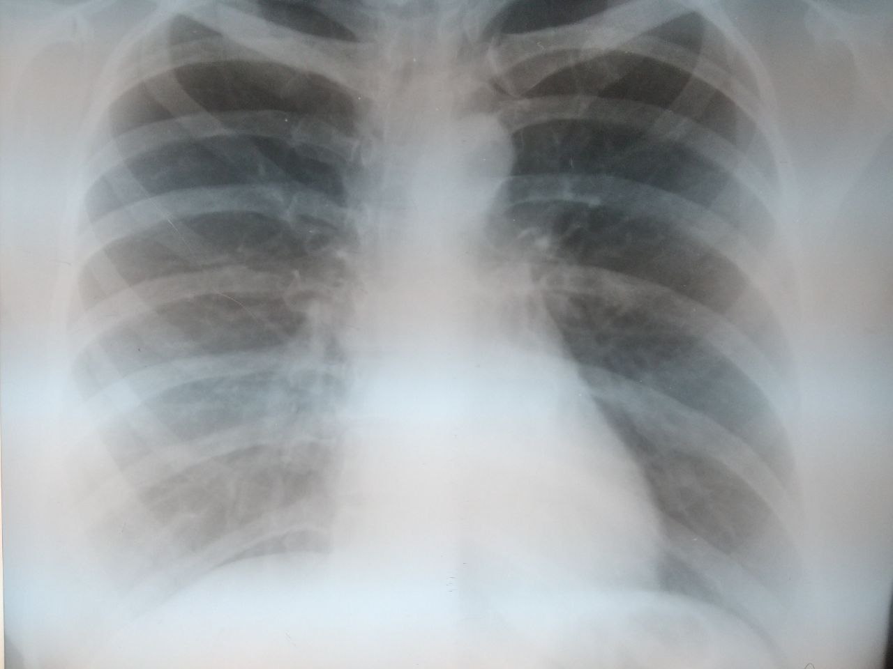
К

КД in Radiology/Рентгенология Чатоид
Добрый день, подскажите пожалуйста, есть ли инфильтрация? Или такой рисунок? Женщина, 1957 гр, жалобы на одышку в течение месяца, кашля и температуры нет
источник

СЧ

Сергей Чибиряк... in Radiology/Рентгенология Чатоид
КД
Добрый день, подскажите пожалуйста, есть ли инфильтрация? Или такой рисунок? Женщина, 1957 гр, жалобы на одышку в течение месяца, кашля и температуры нет
Очаговых и инфильтративных теней не определяется.
источник