Size: a a a

Radiology/Рентгенология Чатоид

2020 September 03

М

Маруська in Radiology/Рентгенология Чатоид
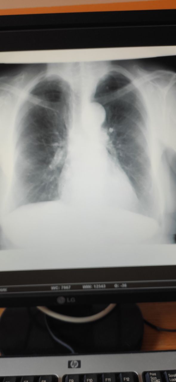
Женщина, 83 года, проф осмотр, слева это пневмония или такое сгущение за счёт плохого вдоха?
источник

Э

Эмиль in Radiology/Рентгенология Чатоид
Переслано от Эльвира Янова...
ПРИГЛАШЕНИЕ
источник

М

Маруська in Radiology/Рентгенология Чатоид
Это снимок в прошлом году
источник

JS

John Smith in Radiology/Рентгенология Чатоид
Маруська
Женщина, 83 года, проф осмотр, слева это пневмония или такое сгущение за счёт плохого вдоха?
Перенять бы. Тогда многое прояснится. Там и справа внизу как то неспокойно
источник

А

Анна in Radiology/Рентгенология Чатоид
Маруська
Женщина, 83 года, проф осмотр, слева это пневмония или такое сгущение за счёт плохого вдоха?
Сложно сказать, тучный пациент, плюс рентген на выдохе вероятно. Врятли что пневмония.
источник

NL

Nikita Levin in Radiology/Рентгенология Чатоид
Фаза вдоха разная
источник

NL

Nikita Levin in Radiology/Рентгенология Чатоид
Как то размеры сердца разные ну и в базальных не спокойно
источник

NL

Nikita Levin in Radiology/Рентгенология Чатоид
Как бы не то самое
источник

JS

John Smith in Radiology/Рентгенология Чатоид
Интересно, что это может быть. Необычная структура тени, как будто ткань пропитанная
источник

А

Александр in Radiology/Рентгенология Чатоид
Картина может очень заметно отличается на вдохе и на выдохе. Сам когда то попал в эту ловушку😔
источник

NL

Nikita Levin in Radiology/Рентгенология Чатоид
Анастасия Осадчая
Здравствуйте, ж 60 лет, в ноябре 19 г резекция пищевода по Льюису (cr c/3 пищевода). Флг для дневного стационара. Справа постоперационные изменения?
Есть снимок до?
источник

JS

John Smith in Radiology/Рентгенология Чатоид
Александр
Картина может очень заметно отличается на вдохе и на выдохе. Сам когда то попал в эту ловушку😔
Да, на вдохе и на выдохе два разных человека частенько.
источник

АО

Анастасия Осадчая... in Radiology/Рентгенология Чатоид
Нет архива
источник

NL

Nikita Levin in Radiology/Рентгенология Чатоид
Кт
источник

АО

Анастасия Осадчая... in Radiology/Рентгенология Чатоид
Не знаю как правильно описать
источник

А

Анна in Radiology/Рентгенология Чатоид
Маруська
Женщина, 83 года, проф осмотр, слева это пневмония или такое сгущение за счёт плохого вдоха?
Стоит ещё с небольшим разворотом, за счёт этого плотность легкого слева кажется больше. Если смущают базальные отделы, делайте боковушку.
источник

М

Маруська in Radiology/Рентгенология Чатоид
Спасибо за ответы)
источник

АО

Анастасия Осадчая... in Radiology/Рентгенология Чатоид
Почему такой чёткий контур тени
источник

БН

Богдан Ничипорук... in Radiology/Рентгенология Чатоид
Колеги
источник

БН

Богдан Ничипорук... in Radiology/Рентгенология Чатоид
Штотето может быть ?
источник