Size: a a a

Radiology/Рентгенология Чатоид

2020 September 22

NL

Nikita Levin in Radiology/Рентгенология Чатоид
В другом чате тоже А решили
источник

AA

Azbek Assainov in Radiology/Рентгенология Чатоид
Да видел
источник

RZ

Rasulova Zuhal in Radiology/Рентгенология Чатоид
😊
источник

O

Olga in Radiology/Рентгенология Чатоид
источник

O

Olga in Radiology/Рентгенология Чатоид
Доброй ночи. Пациент упал на руку. Локтевой сустав. Похож на перелом по типу долота?
источник
2020 September 23

А

Александр in Radiology/Рентгенология Чатоид
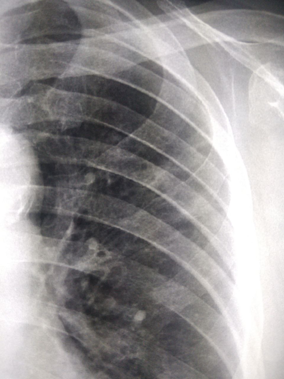
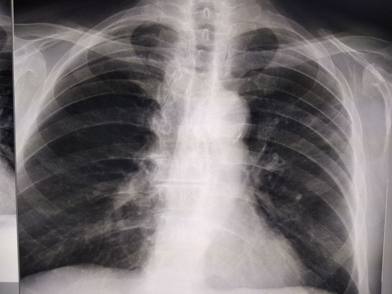
С флг. Затемнения в 3 слева. В прошлом году не было. Проф.цель, т нет. Как можно интерпретировать?
источник

А

Александр in Radiology/Рентгенология Чатоид
источник

А

Александр in Radiology/Рентгенология Чатоид
источник

А

Александр in Radiology/Рентгенология Чатоид
А просто описал и отправил на дообследование.
источник

С

Сурхо in Radiology/Рентгенология Чатоид
источник

С

Сурхо in Radiology/Рентгенология Чатоид
Приветствую коллеги! Ж. Жалобы на гигрому. В дистальных фалангах мелориостоз?
источник

B

Bogdan in Radiology/Рентгенология Чатоид
Доброго время суток! Девушка 22г. Жалобы на боль в правом тб суставе при физической нагрузке. Что думаете?
источник

Alexandr А in Radiology/Рентгенология Чатоид
Bogdan
Доброго время суток! Девушка 22г. Жалобы на боль в правом тб суставе при физической нагрузке. Что думаете?
Дообследовать) на Кт отправь
источник

B

Bogdan in Radiology/Рентгенология Чатоид
Alexandr А
Дообследовать) на Кт отправь
Само собой, уже отправил) но интересно мнение коллег узнать
источник

НС

Нурбану Сериковна... in Radiology/Рентгенология Чатоид
Здравствуйте
источник

НС

Нурбану Сериковна... in Radiology/Рентгенология Чатоид
источник

НС

Нурбану Сериковна... in Radiology/Рентгенология Чатоид
Как можно описать снимок
источник

M

Maksim Alekseyevich in Radiology/Рентгенология Чатоид
Срочно, кто разбирается в детских снимках? Ни анамнеза, ни архива, только снимки и направление
источник

NL

Nikita Levin in Radiology/Рентгенология Чатоид
Здравствуйте. Анамнез. Клиника
источник

NL

Nikita Levin in Radiology/Рентгенология Чатоид
Maksim Alekseyevich
Срочно, кто разбирается в детских снимках? Ни анамнеза, ни архива, только снимки и направление
источник