Size: a a a

Radiology/Рентгенология Чатоид

2020 September 28

АК

Анастасия Козлова... in Radiology/Рентгенология Чатоид
Добрый вечер!
источник

АК

Анастасия Козлова... in Radiology/Рентгенология Чатоид
Несколько слов не могу разобрать
Напишите пожалуйста полностью заключение
источник

А

Александр in Radiology/Рентгенология Чатоид
Все как по Линтенбратену. Чётко и емко
источник

А

Александр in Radiology/Рентгенология Чатоид
26.09 Ro костей таза и правого тазобедренного сустава. Умеренные сужения полостей суставов, остеосклероз крыши вертлужной впадины,, более слева, умеренные артрозные изменения полостей суставов. Вроде так
источник

АК

Анастасия Козлова... in Radiology/Рентгенология Чатоид
Спасибо!
источник

А

Александр in Radiology/Рентгенология Чатоид
Только это не по новому приказу заключение
источник

АК

Анастасия Козлова... in Radiology/Рентгенология Чатоид
Да оно сделано не в самом лучшем месте))))
источник

NK

ID:0 in Radiology/Рентгенология Чатоид
Подпись, печать

Всю свою жизнь я жил неправильно. По счастью, у меня очень хороший и грамотный нотариус (она).

Как и все люди на свете, я был уверен, что любому документу придает веса, солидности и юридической неподкопности печать, поставленная прямо на подпись.

Пха-ха-ха!

Оказалось, что все ровно наоборот. Если печать хоть немного перекрывает подпись, то в случае экспертизы ни один криминалист не признает ни подпись, ни печать, если одно стоит на другом. Подпись и печать должны быть полностью независимо различимы.

Обязательно расскажите это своим юристам, адвокатам, менеджерам и молодым нотариусам. Никогда не ставьте печать на подпись, только раздельно.

Не благодарите.
источник
2020 September 29

RT

Radıolog Tar in Radiology/Рентгенология Чатоид
Nikita Levin
Гпод. Желудок посмотрите с барием
Спасибо большое!
источник

ВК

Влад Крисман... in Radiology/Рентгенология Чатоид
Спасибо!
источник

Р

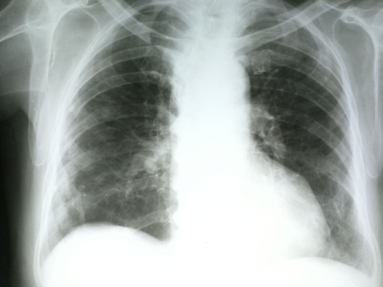
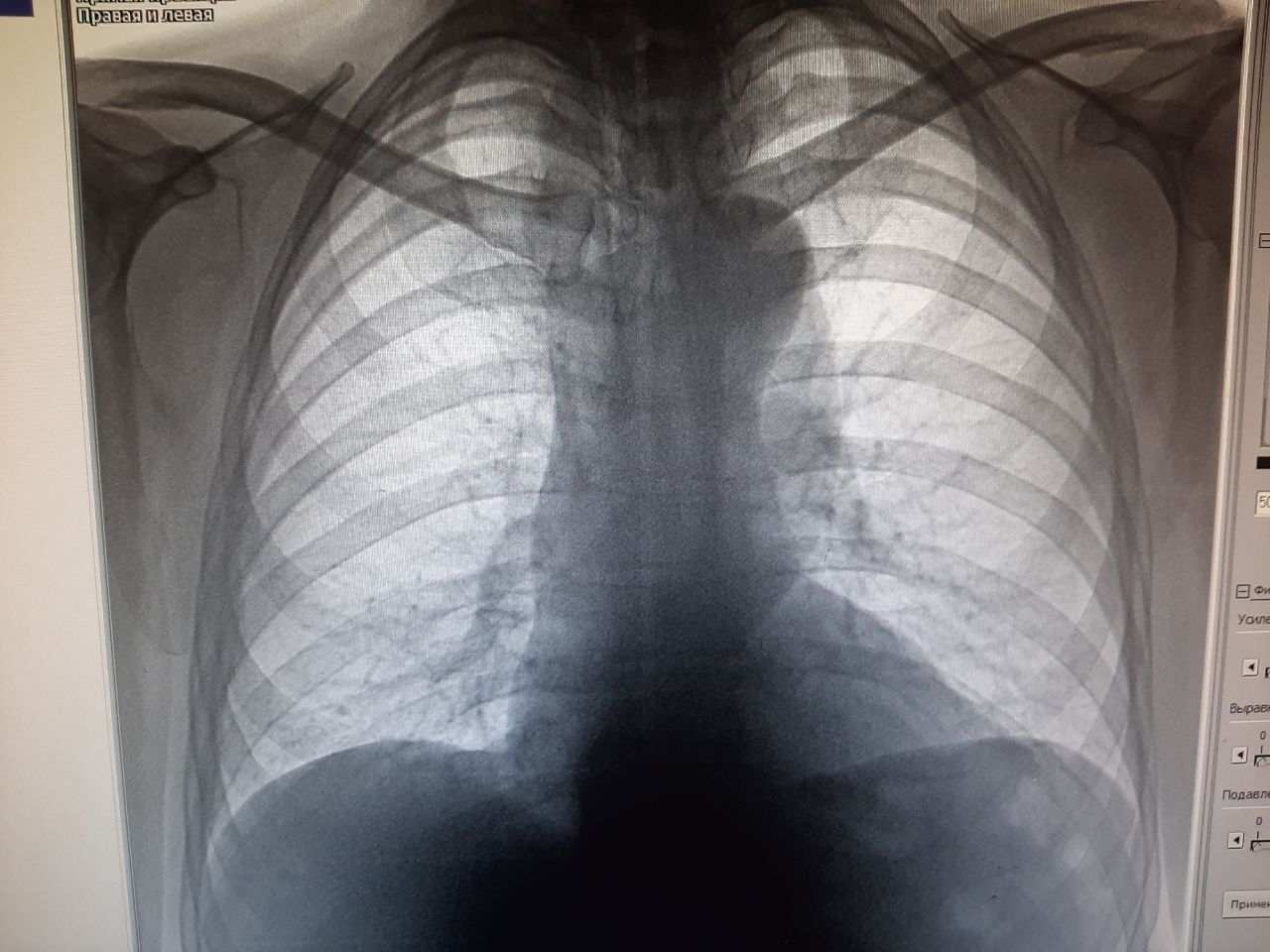
Роман in Radiology/Рентгенология Чатоид
Добрый день, подскажите, слева это может быть тень соска? снимок с небольшой ротацией, 60 лет пациенту, лежит с аппендицитом
источник

Р

Роман in Radiology/Рентгенология Чатоид
источник

Р

Роман in Radiology/Рентгенология Чатоид
источник

СЧ

Сергей Чибиряк... in Radiology/Рентгенология Чатоид
Переслано от Сергей Чибиряк...
Бабушка, 74 года, температуры и кашля нету, жалобы только на одышку и говорит что имеет проблемы с сердцем, аритмии. Подскажите как правильно описать (застойные явления, пневмосклероз)?
источник

БХ

Билол Халимов... in Radiology/Рентгенология Чатоид
мое мнение то что сосок здесь
источник

БХ

Билол Халимов... in Radiology/Рентгенология Чатоид
Сергей Чибиряк
Переслано от Сергей Чибиряк
Бабушка, 74 года, температуры и кашля нету, жалобы только на одышку и говорит что имеет проблемы с сердцем, аритмии. Подскажите как правильно описать (застойные явления, пневмосклероз)?
необходима тест на корону и КТ
источник

СЧ

Сергей Чибиряк... in Radiology/Рентгенология Чатоид
Билол Халимов
необходима тест на корону и КТ
А в заключении писать пневмония?
источник

БХ

Билол Халимов... in Radiology/Рентгенология Чатоид
Сергей Чибиряк
А в заключении писать пневмония?
полисегментарную
источник

Р

Роман in Radiology/Рентгенология Чатоид
Билол Халимов
мое мнение то что сосок здесь
Спасибо, рекомендовал КТ
источник

Р

Роман in Radiology/Рентгенология Чатоид
Вчера была пациентка, написал дифференцировать между инфильтрацией и neo,на КТ оказалась киста миокарда
источник