Size: a a a

Radiology/Рентгенология Чатоид

2020 October 17

I▪

Izzat_Bikulov ▪id 11... in Radiology/Рентгенология Чатоид
источник

I▪

Izzat_Bikulov ▪id 11... in Radiology/Рентгенология Чатоид
Архива нет
источник

ИО

Ирина Овчарова... in Radiology/Рентгенология Чатоид
А не может быть врождённый короткий пищевод?
источник

I▪

Izzat_Bikulov ▪id 11... in Radiology/Рентгенология Чатоид
Ирина Овчарова
А не может быть врождённый короткий пищевод?
В этом мире всё может быть)))
источник

I▪

Izzat_Bikulov ▪id 11... in Radiology/Рентгенология Чатоид
@MMAradiology @NikLevi  мастера Шифу, помощь нужна😃
источник

TA

Tohtasin Abdukarimov in Radiology/Рентгенология Чатоид
Здравствуйте
источник

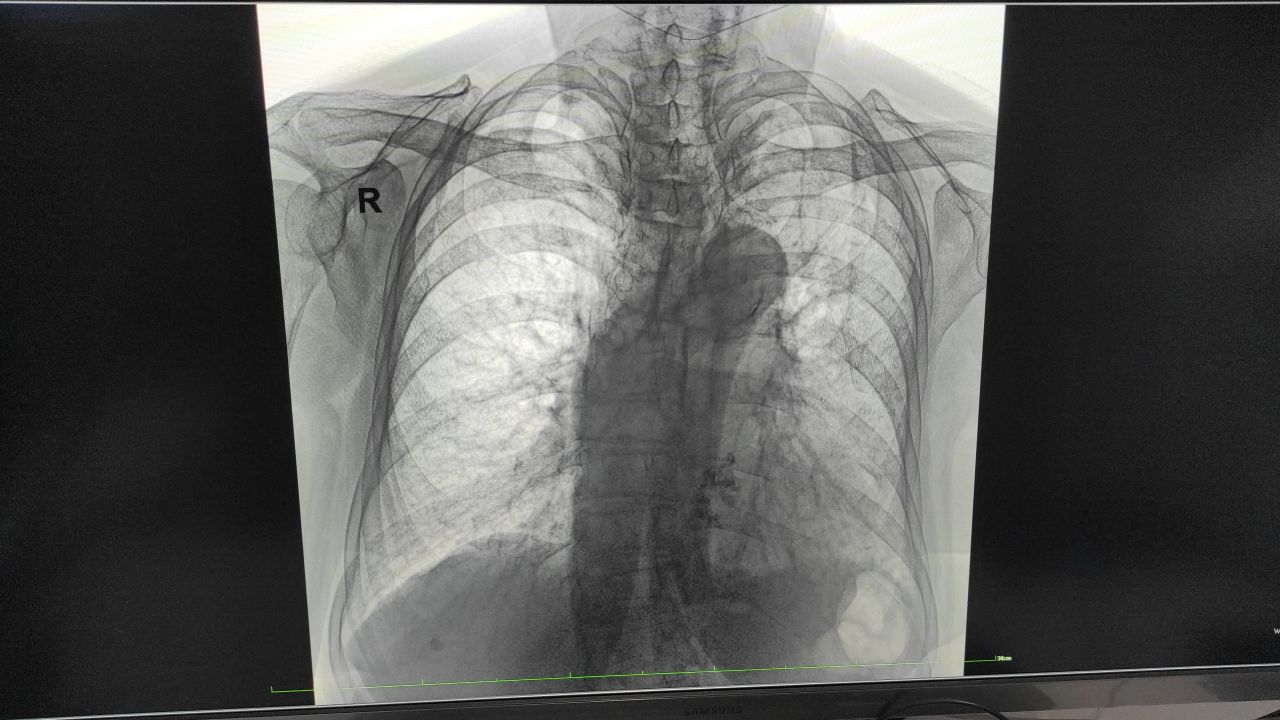
TA

Tohtasin Abdukarimov in Radiology/Рентгенология Чатоид
Женщина 83 года
источник

TA

Tohtasin Abdukarimov in Radiology/Рентгенология Чатоид
Кашель слабость
источник

TA

Tohtasin Abdukarimov in Radiology/Рентгенология Чатоид
источник

TA

Tohtasin Abdukarimov in Radiology/Рентгенология Чатоид
источник

TA

Tohtasin Abdukarimov in Radiology/Рентгенология Чатоид
Как вы думаете
источник

I▪

Izzat_Bikulov ▪id 11... in Radiology/Рентгенология Чатоид
Tohtasin Abdukarimov
Очаговые изменения мерещатся... Есть или нет?
Однозначно пневмония фиброзные тяжи.
Дифференцировать с кардиогенным отёком
источник

D

Dimon in Radiology/Рентгенология Чатоид
Tohtasin Abdukarimov
Ковид
источник

I▪

Izzat_Bikulov ▪id 11... in Radiology/Рентгенология Чатоид
Полисегментарная интерстициальная двухсторонняя
источник

I▪

Izzat_Bikulov ▪id 11... in Radiology/Рентгенология Чатоид
Частичная релаксация диафрагмы справа
источник

TA

Tohtasin Abdukarimov in Radiology/Рентгенология Чатоид
Спасибо👍
источник

З

Зарина in Radiology/Рентгенология Чатоид
ID:0
Что видим? Кого ставим?
Дисковидный ателектаз
источник

А

Азиз in Radiology/Рентгенология Чатоид
ID:0
Какой МРТ аппарат вам нравится больше всего?
Анонимный опрос
19%
Phillips
24%
General Electric (GE)
19%
Toshiba
39%
Siemens
Проголосовало: 221
Работаю на Philips и Hitachi, первый быстрее снимает хоть оба по 1,5Тл
источник

I▪

Izzat_Bikulov ▪id 11... in Radiology/Рентгенология Чатоид
Азиз
Работаю на Philips и Hitachi, первый быстрее снимает хоть оба по 1,5Тл
А сименс еще быстрее)
источник

NL

Nikita Levin in Radiology/Рентгенология Чатоид
Ещё от аппликаторов зависит, порой качество картинки разное
источник