Size: a a a

Radiology/Рентгенология Чатоид

2020 October 23

NL

Nikita Levin in Radiology/Рентгенология Чатоид
Elena
интересно из каких источников коллеги рентгенологи черпают информацию (меня больше интересует МРТ). Радиопедию можно не упоминать 😁
Радиолоджи Ассистант, радиография. Серия книг «diagnostic imaging”, другие книги на английском
источник

СЧ

Сергей Чибиряк... in Radiology/Рентгенология Чатоид
источник

СЧ

Сергей Чибиряк... in Radiology/Рентгенология Чатоид
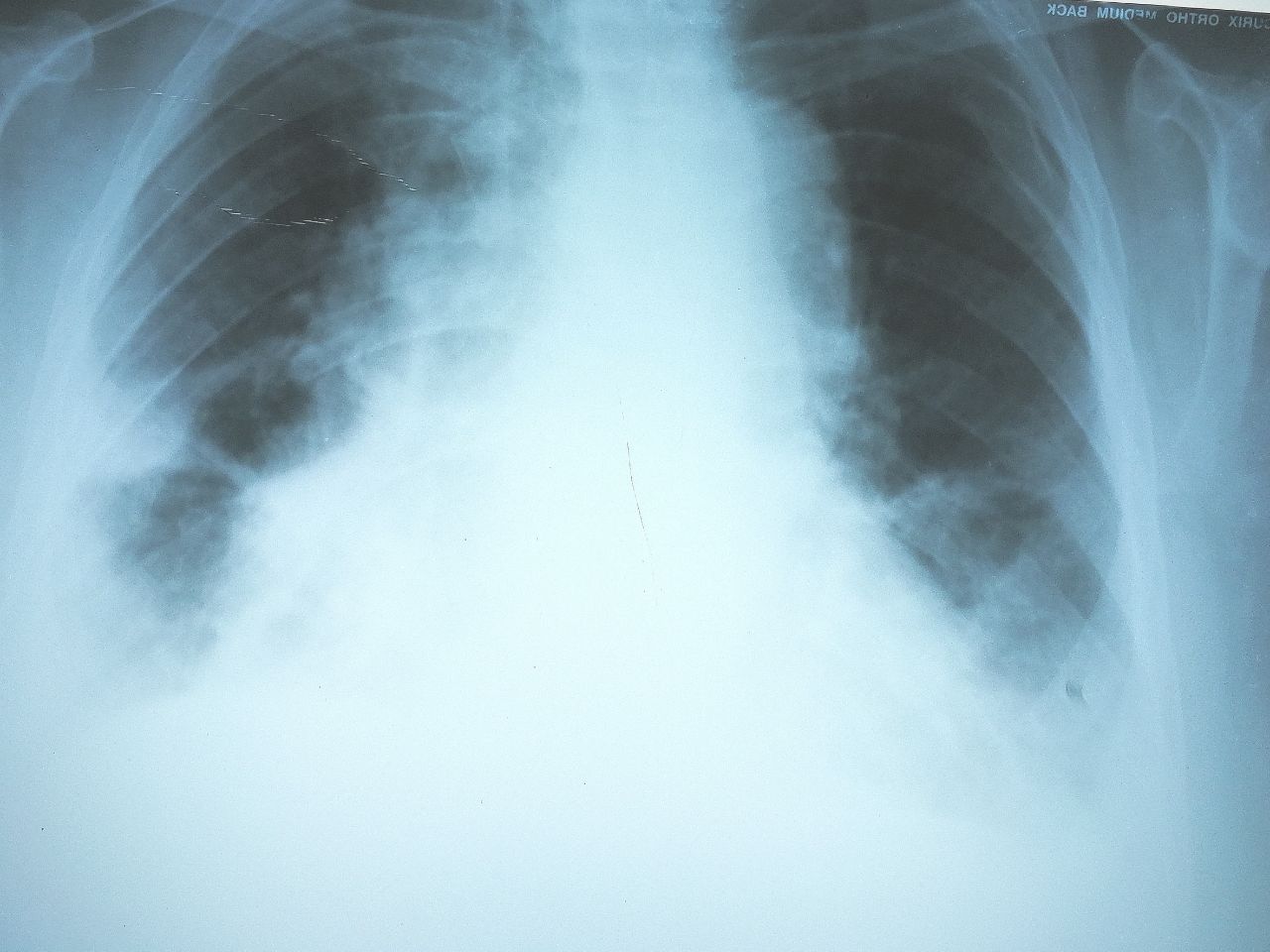
Подскажите, бабушка 76 лет, температуры нету, только задышка, проблемы с сердцем. Пневмонию без температуры можно ставить по даному снимку или только застойные явления, шварта справа и гидроторакс?
источник

FG

Fozilxon Gafurov in Radiology/Рентгенология Чатоид
хсн
источник

СЧ

Сергей Чибиряк... in Radiology/Рентгенология Чатоид
Спасибо
источник

D

Dimon in Radiology/Рентгенология Чатоид
Ковид базально-латеральная пневмония
источник

О

Омар in Radiology/Рентгенология Чатоид
Норма
источник

NK

ID:0 in Radiology/Рентгенология Чатоид
источник

V

Vetavi in Radiology/Рентгенология Чатоид
ID:0
Очень важное интервью для всех врачей

https://youtu.be/PeU8bb00Ixw
YouTube
ДЕЛО ОНКОЛОГОВ || ЧТО БЫЛО НА САМОМ ДЕЛЕ || Илья Фоминцев и Владимир Аникеев
10 октября 2020 года оперативники экономической полиции обыскали 35 квартир петербургских медиков и предпринимателей, а 11 октября сотрудники Главного следственного управления ГУ МВД по Петербургу и Ленобласти задержали 16 подозреваемых в уголовном деле о краже в особо крупном размере.

Предположительно с 22 апреля 2019 года медперсонал клиник Петербурга и Ленобласти украл дорогие препараты для лечения рака на сумму более 1,7 млн рублей. Медики сбывали их через аптеки, клиники и оптовиков. Далее препараты перепродавались в рамках госзакупок в местные больницы.

Исполнительный директор Фонда «Не напрасно» Илья Фоминцев поговорил с юристов Владимиром Аникеевым, который принимал участие в расследовании дела онкологов, чтобы разобраться — как работают «черные аптекари» и что в этой ситуации делать пациентам и честным врачам.

00:00 — Как в России обстоят дела с дорогостоящими препаратами
08:13 — Как сбываются украденные препараты
12:35 — ОПГ нового формата: кто они и как работают
14:12 — Кто виновать и что делать:…
Нет слов 😶
источник

V

Virkhov in Radiology/Рентгенология Чатоид
ID:0
Какие вопросы Вас, дорогие подписчики, больше всего беспокоят???
Пишите в комментарии, у нас в чате - живое и адекватное общение
Вопрос сертификатов и аккредитации беспокоит. Не понятно, то ли отменили окончательно сертификаты, то ли еще под вопросом все.
источник

B

Bettelheim in Radiology/Рентгенология Чатоид
Добрый день, есть ли какие-то источники про укладки на КТ? Именно на КТ, а не рентген 🤔
источник

М

Максим in Radiology/Рентгенология Чатоид
Bettelheim
Добрый день, есть ли какие-то источники про укладки на КТ? Именно на КТ, а не рентген 🤔
Кт чего именно?
источник

B

Bettelheim in Radiology/Рентгенология Чатоид
Максим
Кт чего именно?
Всего, голова, кости, жкт, таз
источник

.

. in Radiology/Рентгенология Чатоид
всем здравствуйте.
подскажите, пожалуйста, был ковид, левосторонняя пневмония, после 7 дневного лечения остался бронхит. лечение кончилось. стоит ли делать мскт? и вообще нужно ли?
источник

.

. in Radiology/Рентгенология Чатоид
источник

NL

Nikita Levin in Radiology/Рентгенология Чатоид
.
всем здравствуйте.
подскажите, пожалуйста, был ковид, левосторонняя пневмония, после 7 дневного лечения остался бронхит. лечение кончилось. стоит ли делать мскт? и вообще нужно ли?
Тест брали? Я так понимаю Кт вы не делали.
источник

FG

Fozilxon Gafurov in Radiology/Рентгенология Чатоид
.
всем здравствуйте.
подскажите, пожалуйста, был ковид, левосторонняя пневмония, после 7 дневного лечения остался бронхит. лечение кончилось. стоит ли делать мскт? и вообще нужно ли?
не нужно
источник

TN

Tatyana Nesterenko in Radiology/Рентгенология Чатоид
Bettelheim
Добрый день, есть ли какие-то источники про укладки на КТ? Именно на КТ, а не рентген 🤔
Укладки немного варьируют в зависимости от конкретного лпу/томографа. Обычно учатся либо с аппликатором (например, когда аппарат только поставили), либо у тех, кто на этом аппарате работает дольше )))
источник

TN

Tatyana Nesterenko in Radiology/Рентгенология Чатоид
Bettelheim
Добрый день, есть ли какие-то источники про укладки на КТ? Именно на КТ, а не рентген 🤔
источник

P

Promik in Radiology/Рентгенология Чатоид
Olya K
Коллеги, как можно интерпретировать такую форму позвонка? 13 лет
2а тип по Кастельви
источник