Size: a a a

Radiology/Рентгенология Чат

2020 November 30

NL

Nikita Levin in Radiology/Рентгенология Чат
Farhod
Также имеется множественные переломы рёбер!
источник

NL

Nikita Levin in Radiology/Рентгенология Чат
тут
источник

NL

Nikita Levin in Radiology/Рентгенология Чат
источник

F

Farhod in Radiology/Рентгенология Чат
Nikita Levin
как вариант. Попробую погуглить
Ок! Спасибо!
источник

M

Maksim Alekseyevich in Radiology/Рентгенология Чат
ID:953636847
А где вы сейчас работаете?
Всё там же
источник
2020 December 01

I▪

Izzat_Bikulov ▪id 11... in Radiology/Рентгенология Чат
источник

I▪

Izzat_Bikulov ▪id 11... in Radiology/Рентгенология Чат
Добрый день. Что это может быть слева? Подскажите пожалуйста
источник

I▪

Izzat_Bikulov ▪id 11... in Radiology/Рентгенология Чат
Пост травматический артроз склоняюсь
источник

AM

Anton Mstkv in Radiology/Рентгенология Чат
Izzat_Bikulov ▪id 110▪
Добрый день. Что это может быть слева? Подскажите пожалуйста
источник

L

Lovecoin in Radiology/Рентгенология Чат
1 Лавкоинов было подарено Izz1k_id110. Всего у Izz1k_id110 102 Лавкоинов.
источник

I▪

Izzat_Bikulov ▪id 11... in Radiology/Рентгенология Чат
👍
источник

NK

ID:0 in Radiology/Рентгенология Чат
источник

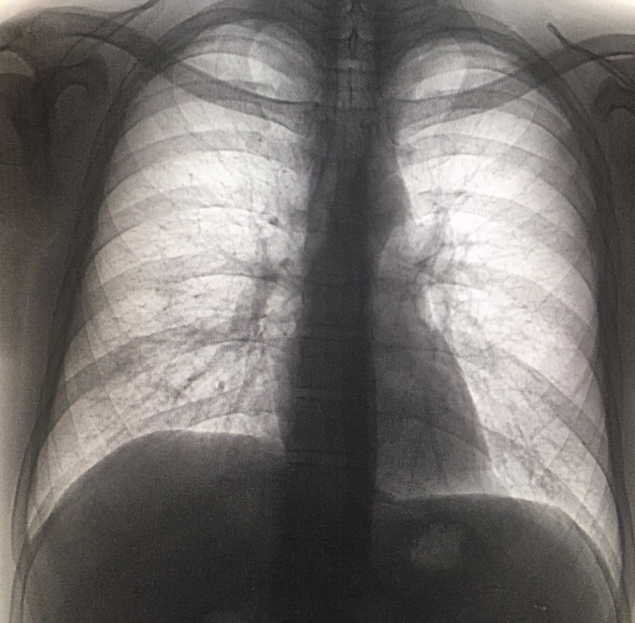
ТТ

Таня Тимонина... in Radiology/Рентгенология Чат
Мужчина, 1987 года рождения. Профилактическая ФЛГ, пациента не видела. Архива нет. Справа не нравится в нижних отделах, может быть пневмония? Посмотрите, пожалуйста 🙏🏻
источник

NL

Nikita Levin in Radiology/Рентгенология Чат
бок
источник

I▪

Izzat_Bikulov ▪id 11... in Radiology/Рентгенология Чат
Перибронхиальная инфильтрация вроде
источник

ТТ

Таня Тимонина... in Radiology/Рентгенология Чат
Бока нет 😔описываю ФЛГ, когда уже кабинет не работает
источник

NL

Nikita Levin in Radiology/Рентгенология Чат
Izzat_Bikulov ▪id 110▪
Перибронхиальная инфильтрация вроде
+
источник

L

Lovecoin in Radiology/Рентгенология Чат
1 Лавкоинов было подарено Izz1k_id110. Всего у Izz1k_id110 103 Лавкоинов.
источник

ТТ

Таня Тимонина... in Radiology/Рентгенология Чат
Izzat_Bikulov ▪id 110▪
Перибронхиальная инфильтрация вроде
Спасибо, тоже такие мысли были
источник

NK

ID:0 in Radiology/Рентгенология Чат
Внезапный опрос о качестве снабжения медицинских учреждений: А ВАМ ПРИХОДИТСЯ ТРЯСТИ КАРТРИДЖ, ЧТОБЫ ПРОДОЛЖАТЬ ПЕЧАТАТЬ ЗАКЛЮЧЕНИЯ?
Анонимный опрос
32%
Трясу, как будто меня Пракинсон разбил!
30%
Трясу время от времени, до прихода сисадмина.
11%
Ни разу не приходилось трясти. Картридж.
10%
У меня нет принтера, пишу от руки.
18%
Запасы бересты, пергамента и туалетной бумаги кончились летом.  Громко кричу заключения в коридор!
Проголосовало: 1071
источник