Size: a a a

Radiology/Рентгенология Чат

2021 January 25

l

lizabes in Radiology/Рентгенология Чат
Можно распечатать и в рамочку
источник

В

Валерия in Radiology/Рентгенология Чат
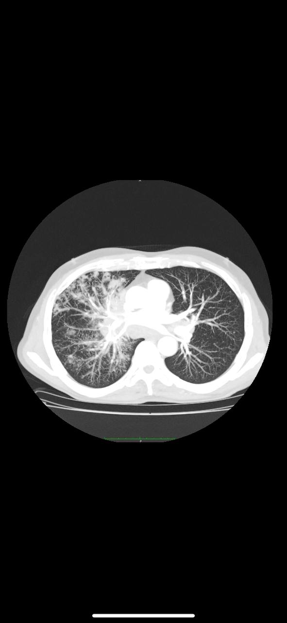
похоже на бронхоальвеолярный рак
источник

NL

Nikita Levin in Radiology/Рентгенология Чат
Из учебника прям
источник

NL

Nikita Levin in Radiology/Рентгенология Чат
Валерия
похоже на бронхоальвеолярный рак
Вы одному скану можете сказать?)

Блин.. я б норм скан ещё глянул а не рекон в мип
источник

В

Валерия in Radiology/Рентгенология Чат
к сожалению, это все
источник

NL

Nikita Levin in Radiology/Рентгенология Чат
😟😟
источник

NL

Nikita Levin in Radiology/Рентгенология Чат
По одному скану можно что угодно написать. Хотя итоговая подпись будет все равно того человека который вам это прислал
источник

ЮЦ

Юля Цвид in Radiology/Рентгенология Чат
петерн дерево в почках ,возможно инфекционка какаято
источник

NL

Nikita Levin in Radiology/Рентгенология Чат
Юля Цвид
петерн дерево в почках ,возможно инфекционка какаято
+
источник

L

Lovecoin in Radiology/Рентгенология Чат
1 Лавкоинов было подарено Юля. Всего у Юля 101 Лавкоинов.
источник

NL

Nikita Levin in Radiology/Рентгенология Чат
Валерия
похоже на бронхоальвеолярный рак
-
источник

S

Shieldy in Radiology/Рентгенология Чат
Приветствую вас, Ислам, в одном из первых чатов по рентгенологии в Телеграме.

1.Представьтесь, расскажите нам, кто вы и чем занимаетесь (профессия, образование, регион). Это нужно для того, чтобы все понимали уровень ваших компетенций.
2.Проявляйте уважение к окружающим.

3.В первые 24 часа вам нельзя скидывать снимки во избежание наплыва пациентов/студентов и однодневок.

4.Все дополнительные вопросы к @MMAradiologyofficial
источник

И

Ислам in Radiology/Рентгенология Чат
Ислам , врач рентгенолог
источник

NL

Nikita Levin in Radiology/Рентгенология Чат
источник

И

Ислам in Radiology/Рентгенология Чат
🤝
источник

.

. in Radiology/Рентгенология Чат
источник

.

. in Radiology/Рентгенология Чат
Доброго времени✨ есть ли данные за нач-ую Подагру?. 40 лет
источник

R

RudSycorsky in Radiology/Рентгенология Чат
Здесь только клинически смотреть, артроз 1 х плюснефаланговых есть. Но и только. Ни тофусов, ни всего остального.
источник
2021 January 26

.

. in Radiology/Рентгенология Чат
RudSycorsky
Здесь только клинически смотреть, артроз 1 х плюснефаланговых есть. Но и только. Ни тофусов, ни всего остального.
Спасибо!) + да, это точно)✨
источник

L

Lovecoin in Radiology/Рентгенология Чат
.
Спасибо!) + да, это точно)✨
1 Лавкоинов было подарено RudSycorsky. Всего у RudSycorsky 122 Лавкоинов.
источник