Size: a a a

Radiology/Рентгенология Чат

2021 February 14

ЗЗ

Зура Зура in Radiology/Рентгенология Чат
источник

L

Liudmila in Radiology/Рентгенология Чат
Спасибо!
источник

ЗЗ

Зура Зура in Radiology/Рентгенология Чат
источник

ЗЗ

Зура Зура in Radiology/Рентгенология Чат
источник

ЗЗ

Зура Зура in Radiology/Рентгенология Чат
источник

ЗЗ

Зура Зура in Radiology/Рентгенология Чат
Zaur Mugutdinov
Я уже охреневаю, если честно. Понятия не имею, как буду их описывать, смотрю ролики на  YouTube   по Bi-RADS.
Не за что не полез бы, будь квалифицированные специалисты. Но их нет здесь, заведующая уезжает, так что придется самому как-то
Вот почитайте Заур
источник

ZM

Zaur Mugutdinov in Radiology/Рентгенология Чат
Большое спасибо:)
источник

ЗЗ

Зура Зура in Radiology/Рентгенология Чат
Это для начала😁
источник

ЗЗ

Зура Зура in Radiology/Рентгенология Чат
источник

ЗЗ

Зура Зура in Radiology/Рентгенология Чат
источник

ЗЗ

Зура Зура in Radiology/Рентгенология Чат
источник

S

Shieldy in Radiology/Рентгенология Чат
Приветствую вас, nikita kukurin, в одном из первых чатов по рентгенологии в Телеграме.

1.Представьтесь, расскажите нам, кто вы и чем занимаетесь (профессия, образование, регион). Это нужно для того, чтобы все понимали уровень ваших компетенций.
2.Проявляйте уважение к окружающим.

3.В первые 24 часа вам нельзя скидывать снимки во избежание наплыва пациентов/студентов и однодневок.

4.Все дополнительные вопросы к @MMAradiologyofficial
источник
2021 February 15

D

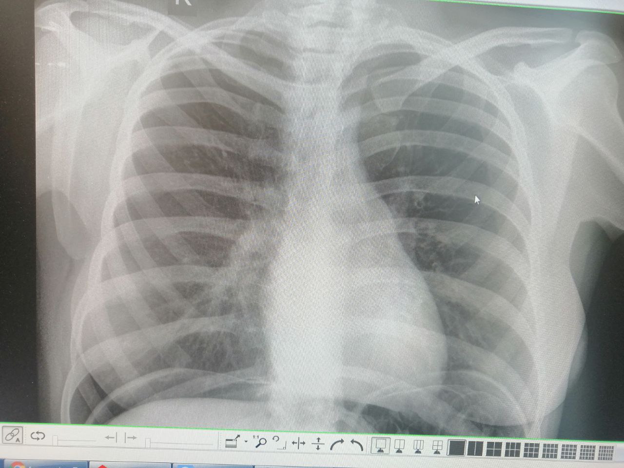
Dr.Tanechka in Radiology/Рентгенология Чат
Здравствуйте. Девушка 1999г.р. Про. Осмотр. Что то слева может быть?
источник

D

Dr.Tanechka in Radiology/Рентгенология Чат
источник

AA

Alisher Alisher in Radiology/Рентгенология Чат
пневмоторакс?
источник

D

Dr.Tanechka in Radiology/Рентгенология Чат
Alisher Alisher
пневмоторакс?
Пневмоперитонеум помлеоперационный вижу. А пневмоторакса нет. Я спрашиваю за эту штуку
источник

D

Dr.Tanechka in Radiology/Рентгенология Чат
источник

ЗЗ

Зура Зура in Radiology/Рентгенология Чат
Левый боковой сделайте
источник

ЗЗ

Зура Зура in Radiology/Рентгенология Чат
Отправьте на кт
источник

D

Dr.Tanechka in Radiology/Рентгенология Чат
Зура Зура
Левый боковой сделайте
А что это может быть?
источник