Size: a a a

Radiology/Рентгенология Чат

2021 March 25

A

Abdurahmon in Radiology/Рентгенология Чат
Когда возникает боли ?
Свет пальцев разносветный ?
источник

НП

Нина Панаетова-Кумба... in Radiology/Рентгенология Чат
Я не знаю, я написала про остеолиз. Я не встречалась с таким видом патологии, поэтому написала сюда
источник

НП

Нина Панаетова-Кумба... in Radiology/Рентгенология Чат
Abdurahmon
Когда возникает боли ?
Свет пальцев разносветный ?
Боли частые, не знаю в какое время. Пальцы несколько пастозны, обычной окраски
источник

L

Lovecoin in Radiology/Рентгенология Чат
1 Лавкоинов было подарено Сергей Март. Всего у Сергей Март 105 Лавкоинов.
источник

С

Сергей Март... in Radiology/Рентгенология Чат
А как же бронхи в грыже оказались?
источник

М

Маруська in Radiology/Рентгенология Чат
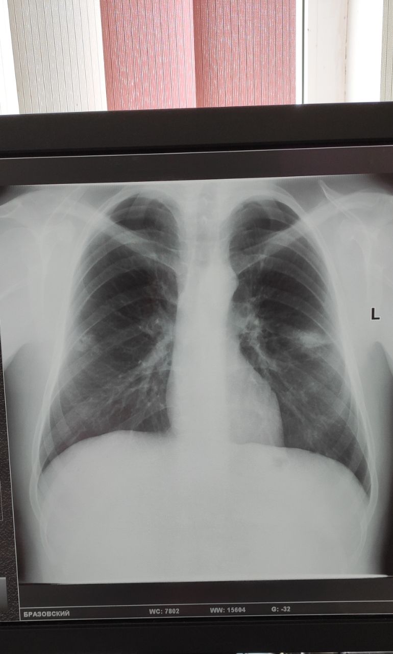
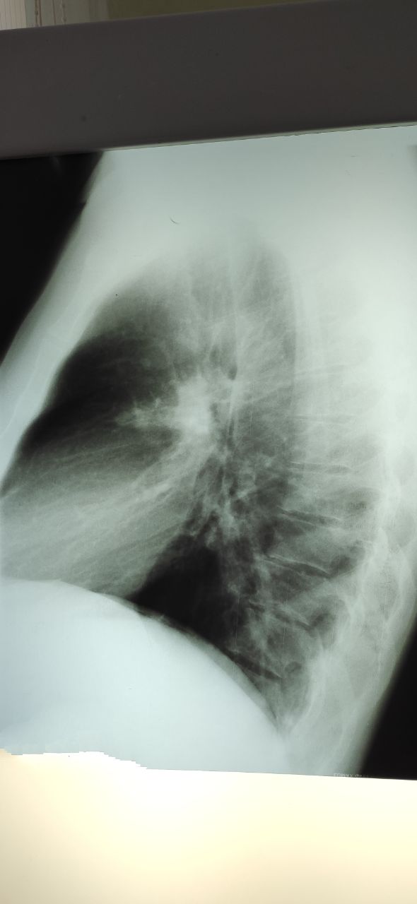
Пациент, 37 лет, жалоб не предъявляет, отправили на контроль. Злоупотребляет алкоголем. Это снимки сегодня
источник

М

Маруська in Radiology/Рентгенология Чат
источник

М

Маруська in Radiology/Рентгенология Чат
Это снимки в ноябре, лечили пневмонию
источник

М

Маруська in Radiology/Рентгенология Чат
источник

М

Маруська in Radiology/Рентгенология Чат
источник

М

Маруська in Radiology/Рентгенология Чат
Нужна консультация фтизиатра? Или думать в другом направлении?
источник

М

Маруська in Radiology/Рентгенология Чат
Терапевт в ноябре отправлял на КТ, но пациент не доехал
источник

ЗЗ

Зура Зура in Radiology/Рентгенология Чат
Маруська
Вообще без динамики. А ранее любые есть снимки?
источник

NL

Nikita Levin in Radiology/Рентгенология Чат
Маруська
Нужна консультация фтизиатра? Или думать в другом направлении?
Да
источник

М

Маруська in Radiology/Рентгенология Чат
Снимки есть, но я не сфоткала. Там этих теней не было
источник

NL

Nikita Levin in Radiology/Рентгенология Чат
Процесс активный значит
источник

ЗЗ

Зура Зура in Radiology/Рентгенология Чат
Можно предположить что мои или бои, но не характерное расположение
источник

NL

Nikita Levin in Radiology/Рентгенология Чат
Маруська
Снимки есть, но я не сфоткала. Там этих теней не было
Диаскин, пцр, кт и мокроту
источник

ЗЗ

Зура Зура in Radiology/Рентгенология Чат
Маруська
Снимки есть, но я не сфоткала. Там этих теней не было
Значит фтизиатр однозначно и кровь на вич
источник

NL

Nikita Levin in Radiology/Рентгенология Чат
То что алкоголь в анамнезе уже звоночек
источник