Size: a a a

Radiology/Рентгенология Чат

2021 May 12

J

Jahongirshoh in Radiology/Рентгенология Чат
+
источник

L

Lovecoin in Radiology/Рентгенология Чат
1 Лавкоинов было подарено nick_romanoff. Всего у nick_romanoff 114 Лавкоинов.
источник
2021 May 13

VV

Valeria Valeri in Radiology/Рентгенология Чат
Добрый день.
Ребенок 14 лет, жалобы на "образование под коленом". Что это ? Просто экзостоз?
источник

VV

Valeria Valeri in Radiology/Рентгенология Чат
источник

VV

Valeria Valeri in Radiology/Рентгенология Чат
источник

DK

Daniel Kuka in Radiology/Рентгенология Чат
Остеохондрома
источник

DK

Daniel Kuka in Radiology/Рентгенология Чат
Т.е. костнохрящевой экзостоз
источник

VV

Valeria Valeri in Radiology/Рентгенология Чат
Спасибо большое
источник

J

Jahongirshoh in Radiology/Рентгенология Чат
+
источник

L

Lovecoin in Radiology/Рентгенология Чат
1 Лавкоинов было подарено Neverminder0. Всего у Neverminder0 101 Лавкоинов.
источник

JS

John Smith in Radiology/Рентгенология Чат
Доброго дня! Подскажите пожалуйста, как правильнее назвать вот эти линейные кальцинаты в проекции суставнлй щели у возрастных пациентов? Или просто в заключении подвести суммарно как проявления артроза?
источник

N

Nick RomanOFF in Radiology/Рентгенология Чат
Хондрокальциноз
источник

JS

John Smith in Radiology/Рентгенология Чат
Спасибо!
источник

РЕ

Ревматолог Елонаков... in Radiology/Рентгенология Чат
Красивый (студенческий) хондрокальциноз.

Полезно искать подобные, когда они короткие.
источник

АО

Анастасия Осадчая... in Radiology/Рентгенология Чат
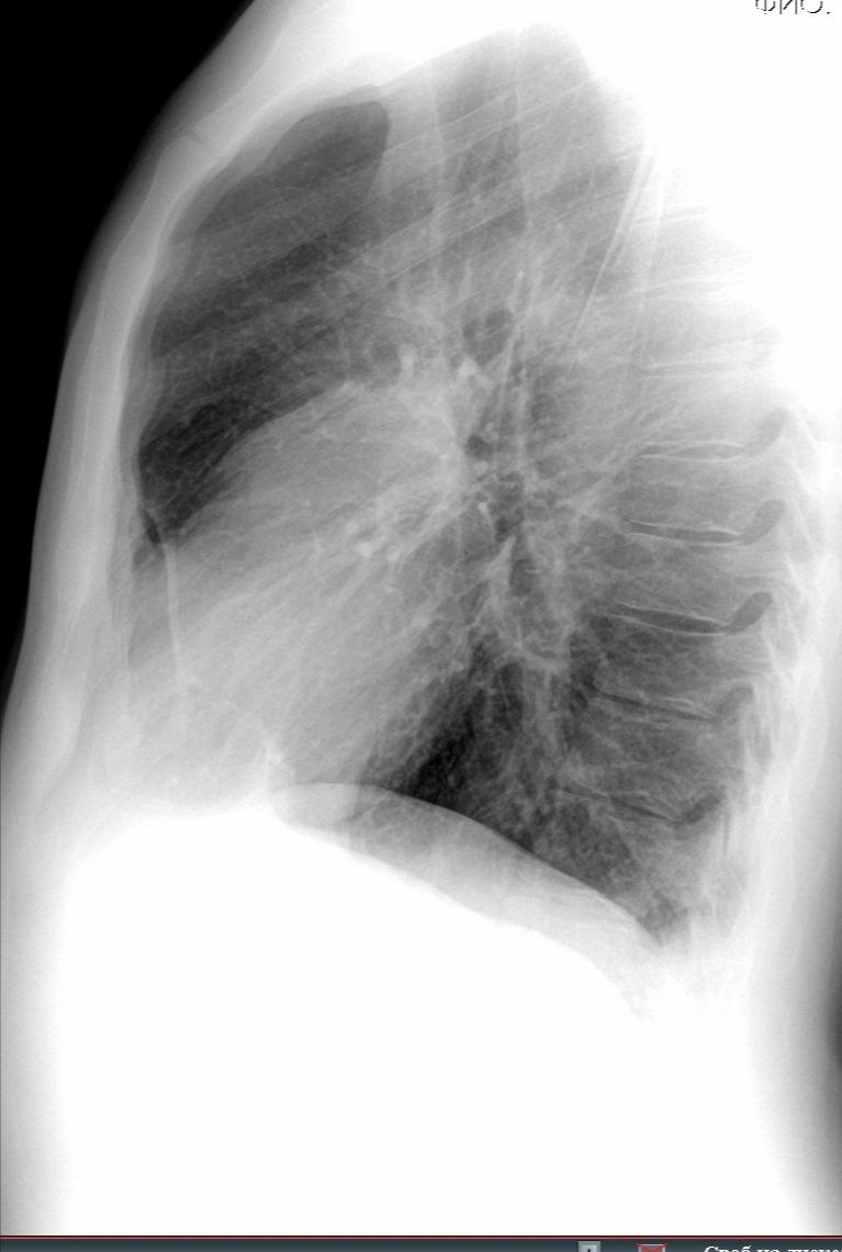
Здравствуйте, пациент 1984 г. р. Проф осмотр. Слева пневмоторакс?
источник

АО

Анастасия Осадчая... in Radiology/Рентгенология Чат
источник

АО

Анастасия Осадчая... in Radiology/Рентгенология Чат
источник

DK

Doc Kishov in Radiology/Рентгенология Чат
Да
источник

АО

Анастасия Осадчая... in Radiology/Рентгенология Чат
Спасибо
источник

S

Shieldy in Radiology/Рентгенология Чат
Приветствую вас, @Frustration18, в одном из первых чатов по рентгенологии в Телеграме.

1.Представьтесь, расскажите нам, кто вы и чем занимаетесь (профессия, образование, регион). Это нужно для того, чтобы все понимали уровень ваших компетенций.
2.Проявляйте уважение к окружающим.

3.В первые 24 часа вам нельзя скидывать снимки во избежание наплыва пациентов/студентов и однодневок.

4.Все дополнительные вопросы к @MMAradiologyofficial
источник