Size: a a a

Radiology/Рентгенология Чат

2021 May 27

Р

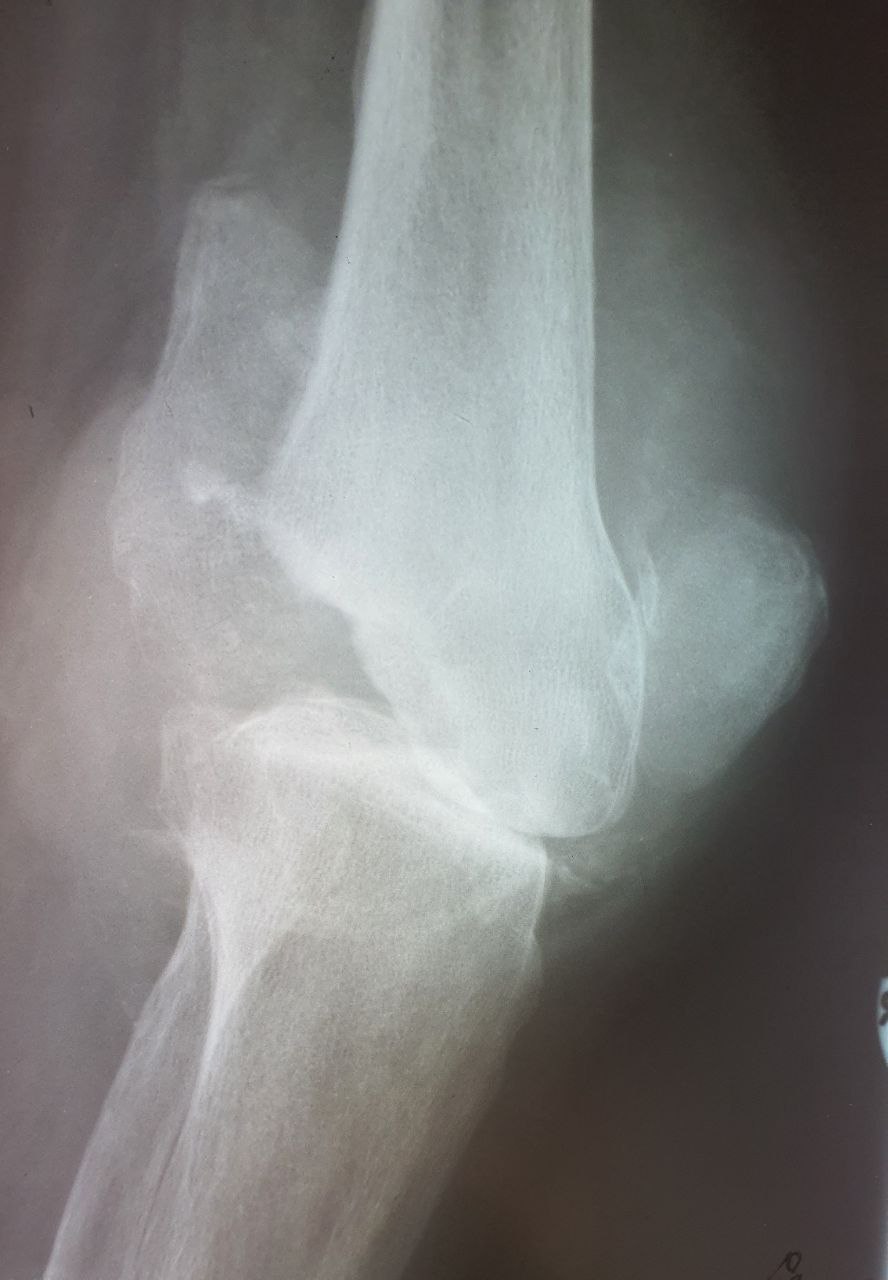
Руслан in Radiology/Рентгенология Чат
источник

R

RudSycorsky in Radiology/Рентгенология Чат
Есть сомнения, а возьмут ли его на эндопротезирование. С таким дефектом...
И где он был раньше?
источник

Р

Руслан in Radiology/Рентгенология Чат
Становилась в очередь на операцию, по квоте, по поводу ДОА 3 ст.  Первичных снимков я не видел.
источник

S

Shieldy in Radiology/Рентгенология Чат
Приветствую вас, Елена, в одном из первых чатов по рентгенологии в Телеграме.

1.Представьтесь, расскажите нам, кто вы и чем занимаетесь (профессия, образование, регион). Это нужно для того, чтобы все понимали уровень ваших компетенций.
2.Проявляйте уважение к окружающим.

3.В первые 24 часа вам нельзя скидывать снимки во избежание наплыва пациентов/студентов и однодневок.

4.Все дополнительные вопросы к @MMAradiologyofficial
источник

S

Shieldy in Radiology/Рентгенология Чат
Приветствую вас, @Delwood, в одном из первых чатов по рентгенологии в Телеграме.

1.Представьтесь, расскажите нам, кто вы и чем занимаетесь (профессия, образование, регион). Это нужно для того, чтобы все понимали уровень ваших компетенций.
2.Проявляйте уважение к окружающим.

3.В первые 24 часа вам нельзя скидывать снимки во избежание наплыва пациентов/студентов и однодневок.

4.Все дополнительные вопросы к @MMAradiologyofficial
источник

S

Shieldy in Radiology/Рентгенология Чат
Приветствую вас, Лейла, в одном из первых чатов по рентгенологии в Телеграме.

1.Представьтесь, расскажите нам, кто вы и чем занимаетесь (профессия, образование, регион). Это нужно для того, чтобы все понимали уровень ваших компетенций.
2.Проявляйте уважение к окружающим.

3.В первые 24 часа вам нельзя скидывать снимки во избежание наплыва пациентов/студентов и однодневок.

4.Все дополнительные вопросы к @MMAradiologyofficial
источник

АИ

А И in Radiology/Рентгенология Чат
Болной 1979. Боль в области эпигастрия сильно
источник

АИ

А И in Radiology/Рентгенология Чат
источник

DK

Doc Kishov in Radiology/Рентгенология Чат
Возможно перфорация язвы
источник

DK

Doc Kishov in Radiology/Рентгенология Чат
Свободный газ в брюшной
источник

АИ

А И in Radiology/Рентгенология Чат
Анамнеза язва
источник

DK

Doc Kishov in Radiology/Рентгенология Чат
Облегчение задачи))
источник

I▪

Izzat_Bikulov ▪id 11... in Radiology/Рентгенология Чат
Серп
источник

J

Jahongirshoh in Radiology/Рентгенология Чат
источник

J

Jahongirshoh in Radiology/Рентгенология Чат
Перфорации
источник

M

M.Magomedovich in Radiology/Рентгенология Чат
+
источник

L

Lovecoin in Radiology/Рентгенология Чат
1 Лавкоинов было подарено kishow11. Всего у kishow11 102 Лавкоинов.
источник
2021 May 28

ЕЕ

Евгений Евгений... in Radiology/Рентгенология Чат
источник

ЕЕ

Евгений Евгений... in Radiology/Рентгенология Чат
Добрый день, смущает форма лоханок.
источник

А

Андрей in Radiology/Рентгенология Чат
Дуплексная система сбора | Справочная статья по радиологии | Radiopaedia.org
https://radiopaedia.org/articles/duplex-collecting-system?lang=gb
источник