Size: a a a

Radiology/Рентгенология Чат

2021 June 28

N

Nick RomanOFF in Radiology/Рентгенология Чат
источник

N

Nick RomanOFF in Radiology/Рентгенология Чат
Изменения похожи на данный кейс 👆 диф можно почитать там же
источник

Зм

Зашей мне желудок... in Radiology/Рентгенология Чат
панколит и доппобачееня
источник

Зм

Зашей мне желудок... in Radiology/Рентгенология Чат
сспасибо)
источник

S

Shieldy in Radiology/Рентгенология Чат
Приветствую вас, Jamshid, в одном из первых чатов по рентгенологии в Телеграме.

1.Представьтесь, расскажите нам, кто вы и чем занимаетесь (профессия, образование, регион). Это нужно для того, чтобы все понимали уровень ваших компетенций.
2.Проявляйте уважение к окружающим.

3.В первые 24 часа вам нельзя скидывать снимки во избежание наплыва пациентов/студентов и однодневок.

4.Все дополнительные вопросы к @MMAradiologyofficial
источник

J

Jamshid in Radiology/Рентгенология Чат
Рентгенолог. Работаю рентгенологом больше месяца. Работаю в Ташкенте.
источник

АБ

Алекс Бонд in Radiology/Рентгенология Чат
13
источник

S

Shieldy in Radiology/Рентгенология Чат
Приветствую вас, Алекс Бонд, в одном из первых чатов по рентгенологии в Телеграме.

1.Представьтесь, расскажите нам, кто вы и чем занимаетесь (профессия, образование, регион). Это нужно для того, чтобы все понимали уровень ваших компетенций.
2.Проявляйте уважение к окружающим.

3.В первые 24 часа вам нельзя скидывать снимки во избежание наплыва пациентов/студентов и однодневок.

4.Все дополнительные вопросы к @MMAradiologyofficial
источник

АБ

Алекс Бонд in Radiology/Рентгенология Чат
Александр. Работаю рентгенологом более 5 лет. Фтизиатр. Ставропольский край. Г. Георгиевск
источник
2021 June 29

S

Shieldy in Radiology/Рентгенология Чат
Приветствую вас, JAGUAR, в одном из первых чатов по рентгенологии в Телеграме.

1.Представьтесь, расскажите нам, кто вы и чем занимаетесь (профессия, образование, регион). Это нужно для того, чтобы все понимали уровень ваших компетенций.
2.Проявляйте уважение к окружающим.

3.В первые 24 часа вам нельзя скидывать снимки во избежание наплыва пациентов/студентов и однодневок.

4.Все дополнительные вопросы к @MMAradiologyofficial
источник

YO

Yuriy Ostapenko in Radiology/Рентгенология Чат
источник

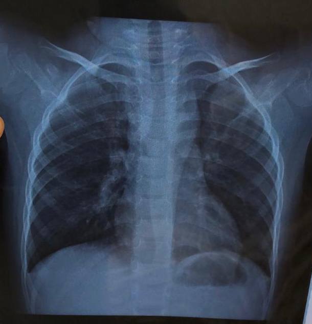
DK

Doc Kishov in Radiology/Рентгенология Чат
4 года, кашель и темп. Пневмония в прикорневой зоне справа?
источник

JS

John Smith in Radiology/Рентгенология Чат
Свет бы на негатоскопе включить, было бы понятнее
источник

DK

Doc Kishov in Radiology/Рентгенология Чат
Был бы у людей дома негатоскоп )))
источник

А

Андрей in Radiology/Рентгенология Чат
Можно на мониторе сделать белый фон и на нем посмотреть снимок
источник

DK

Doc Kishov in Radiology/Рентгенология Чат
Так и скинули
источник

А

Андрей in Radiology/Рентгенология Чат
Молодцы
источник

I▪

Izzat_Bikulov ▪id 11... in Radiology/Рентгенология Чат
источник

I▪

Izzat_Bikulov ▪id 11... in Radiology/Рентгенология Чат
источник

I▪

Izzat_Bikulov ▪id 11... in Radiology/Рентгенология Чат
Здравствуйте коллеги. Ж. 20 лет. Неделю назад подвернула ногу. Боль и припухлость в области наружной лодыжки. Это осколок таранной кости? Или что-то другое?
источник