Size: a a a

Radiology/Рентгенология Чат

2021 July 07

NL

Nikita Levin in Radiology/Рентгенология Чат
Тоже интересно, архива нет?
источник

NL

Nikita Levin in Radiology/Рентгенология Чат
Я сюда глянул
источник

Е

Евгений in Radiology/Рентгенология Чат
В архиве чисто все
источник

М

Марина in Radiology/Рентгенология Чат
То не тень грудины вылезла?
источник

LB

Liya Biryukova in Radiology/Рентгенология Чат
Да это тень грудины за счёт небольшого разворота
источник

LB

Liya Biryukova in Radiology/Рентгенология Чат
Может и тень соска.
источник

Е

Евгений in Radiology/Рентгенология Чат
Спасибо, тоже об этод думаю
источник

О

Омар in Radiology/Рентгенология Чат
Пологаю, нужно дообследование, дабы не пропустить ЗНО.
источник

LB

Liya Biryukova in Radiology/Рентгенология Чат
Обязательно. Лучше выполнить передне-заднюю проекцию
источник
2021 July 08

S

Shieldy in Radiology/Рентгенология Чат
Приветствую вас, Ad, в одном из первых чатов по рентгенологии в Телеграме.

1.Представьтесь, расскажите нам, кто вы и чем занимаетесь (профессия, образование, регион). Это нужно для того, чтобы все понимали уровень ваших компетенций.
2.Проявляйте уважение к окружающим.

3.В первые 24 часа вам нельзя скидывать снимки во избежание наплыва пациентов/студентов и однодневок.

4.Все дополнительные вопросы к @MMAradiologyofficial
источник

АС

Анатолий Сахнов... in Radiology/Рентгенология Чат
Разрыв глотки при чихании.

Мужчина 34 года поступил в больницу с жалобами на острую боль при глотании и на изменения в голосе после сильного чиха. Он попытался сдержать позыв чихнуть, зажав ноздри пальцами, но когда чихнул, то почувствовал толчки в шее и затем обнаружил, что шея опухла. Пациенту сделали рентгенограмму, на которой видно чрезмерное скопление воздуха в мягких тканях шеи перед трахеей. Поставлен диагноз: спонтанный разрыв пищевода.

Такая практика зажимать рот и нос, чтобы не чихать, является опасной, и делать этого не следует. К возможным последствиям такого маневра относится эмфизема средостения (аномальное скопление воздуха в анатомическом пространстве в средних отделах грудной полости), перфорация барабанной перепонки и даже разрыв аневризмы головного мозга.
источник

С

Сурхо in Radiology/Рентгенология Чат
Я знал, всегда от души чихаю😁
источник

✌💕

✌ 💕 in Radiology/Рентгенология Чат
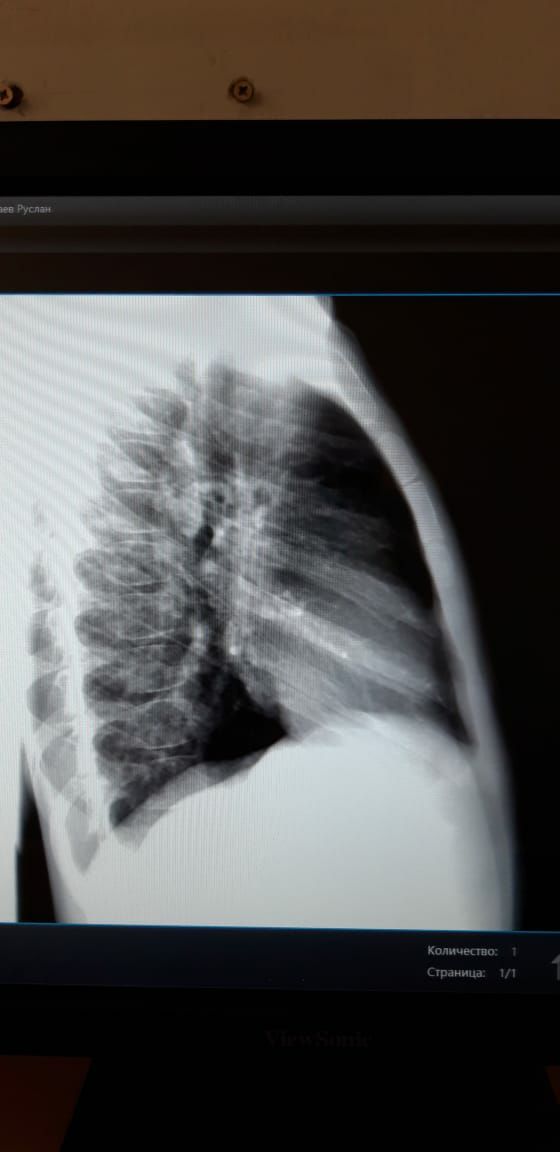
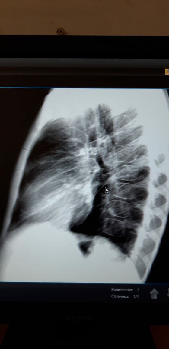
Здравствуйте ув. Коллеги! Посмотрите снимки ребенка мальчика 2016г. В крови от 5 июля-45 СОЭ. Неделю назад температурил. Сейчвс педиатр ставит ОРИ...Обследование... мы с Белой  Солт.решили что там с / долевая пневмония справа.....но никто кроме меня не видит овоидную тень  в С1-2?...я понимаю по этим снимкам трудно судить...но я сделала несколько с разной интенсивностью снимков... пожалуйста кто  что может посоветовать....мы решили пролечить и контроль...
источник

✌💕

✌ 💕 in Radiology/Рентгенология Чат
Фото от 777
источник

✌💕

✌ 💕 in Radiology/Рентгенология Чат
Фото от 777
источник

✌💕

✌ 💕 in Radiology/Рентгенология Чат
Фото от 777
источник

✌💕

✌ 💕 in Radiology/Рентгенология Чат
Фото от 777
источник

✌💕

✌ 💕 in Radiology/Рентгенология Чат
Фото от 777
источник

✌💕

✌ 💕 in Radiology/Рентгенология Чат
Фото от 777
источник

✌💕

✌ 💕 in Radiology/Рентгенология Чат
Фото от 777
источник