Size: a a a

Radiology/Рентгенология Чатоид

2016 November 15

M

Maksim Alekseyevich in Radiology/Рентгенология Чатоид
Пока мало чего, но мы стараемся.
источник

S

Strmtrpr in Radiology/Рентгенология Чатоид
Я понимаю)
источник

M

Maksim Alekseyevich in Radiology/Рентгенология Чатоид
вы тоже медицинский работник?
источник

DL

Darya Lyovik in Radiology/Рентгенология Чатоид
Вечер добрый! А просто интересующимся можно?
источник

M

Maksim Alekseyevich in Radiology/Рентгенология Чатоид
конечно
источник

M

Maksim Alekseyevich in Radiology/Рентгенология Чатоид
Darya Lyovik
Вечер добрый! А просто интересующимся можно?
"Буду рад видеть тут умных, адекватных, образованных людей, но и ищущих знания встретим с распростёртыми объятьями. Есть вопросы, пожелания, предложения – пишите в личные сообщения, решим любой вопрос."
Выдержка из правил. )
источник

DL

Darya Lyovik in Radiology/Рентгенология Чатоид
Вот и прекрасно! Спасибо, будем следить)
источник

M

Maksim Alekseyevich in Radiology/Рентгенология Чатоид
Славно.
источник

S

Strmtrpr in Radiology/Рентгенология Чатоид
Нет, я не медицинский работник, я просто увидела интересную мне тему и решила, что стоит почитать)
источник

M

Maksim Alekseyevich in Radiology/Рентгенология Чатоид
И как, стоит?
источник

V

Viktoria in Radiology/Рентгенология Чатоид
источник

M

Maksim Alekseyevich in Radiology/Рентгенология Чатоид
И что таки тут у нас?
источник

V

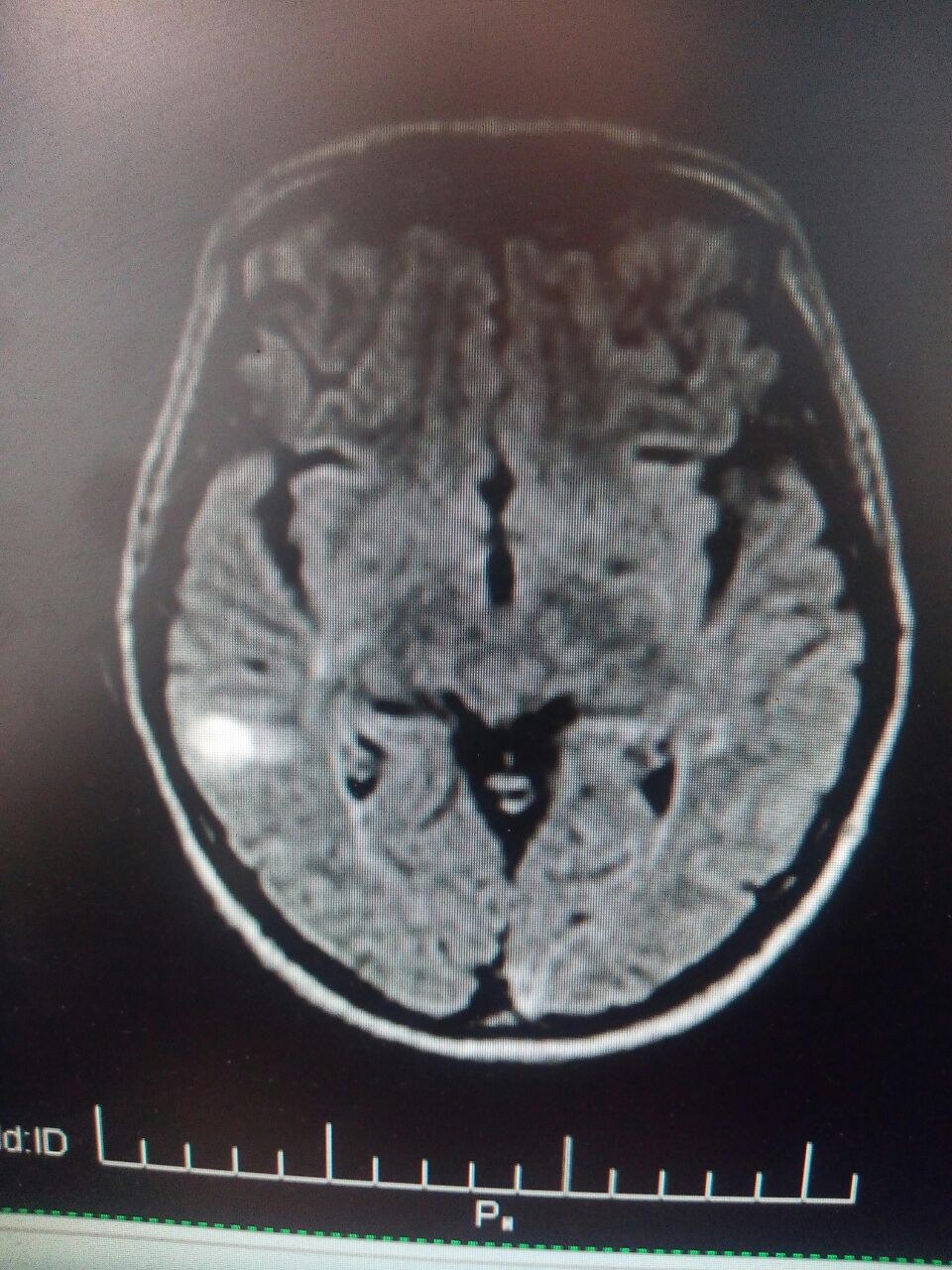
Viktoria in Radiology/Рентгенология Чатоид
Субкортикальная гематома правой височной доли.
источник

M

Maksim Alekseyevich in Radiology/Рентгенология Чатоид
Славно.
источник

V

Viktoria in Radiology/Рентгенология Чатоид
Но это ещё не все.
источник

V

Viktoria in Radiology/Рентгенология Чатоид
источник

V

Viktoria in Radiology/Рентгенология Чатоид
источник

M

Maksim Alekseyevich in Radiology/Рентгенология Чатоид
Гематомы в паравентрикулярных отделах?
источник

V

Viktoria in Radiology/Рентгенология Чатоид
Nope
источник

V

Viktoria in Radiology/Рентгенология Чатоид
Кистозно-глиозные изменения
источник