Size: a a a

Radiology/Рентгенология Чатоид

2019 February 01

NK

ID:777461038 in Radiology/Рентгенология Чатоид
Iryn Karakurtina
Переслано от Diana Mulyar
Симптом указывающего перста-язва
источник

NK

ID:777461038 in Radiology/Рентгенология Чатоид
Donosha
Нет, теперь кажется что всё-таки есть перелом головки луча (латер.)
Перелом головки луча 100%есть,но, оссификат  мне кажется сам по себе
источник

I

Iryn Karakurtina in Radiology/Рентгенология Чатоид
ID:777461038
Симптом указывающего перста-язва
Описали так же, преподаватель нашла там еще и рак, есть в этом смысл?
источник

NK

ID:777461038 in Radiology/Рентгенология Чатоид
Iryn Karakurtina
Описали так же, преподаватель нашла там еще и рак, есть в этом смысл?
Ну,по одному снимку,четко есть язва,чтобы рассмотреть рак,надо смотреть полипозиционно. Есть сомнительный участок в луковице ДПК(но опять таки,надо наблюдать динамически)
источник

NL

Nikita Levin in Radiology/Рентгенология Чатоид
Скопически надо смотреть
источник

NL

Nikita Levin in Radiology/Рентгенология Чатоид
Есть ли ригидность стенок
источник

NL

Nikita Levin in Radiology/Рентгенология Чатоид
Надо смотреть что после тугого заполнения
источник

I

Iryn Karakurtina in Radiology/Рентгенология Чатоид
ID:777461038
Ну,по одному снимку,четко есть язва,чтобы рассмотреть рак,надо смотреть полипозиционно. Есть сомнительный участок в луковице ДПК(но опять таки,надо наблюдать динамически)
Вот я благодарна вам за этот ответ, мнения сошлись
источник

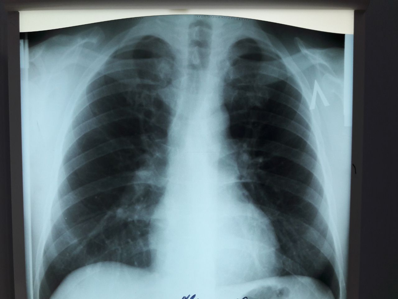
АБ

Андрей Бойко... in Radiology/Рентгенология Чатоид
здравствуйте, жалоб нет , но не нравиться вот эта тень , что может быть ?
источник

АБ

Андрей Бойко... in Radiology/Рентгенология Чатоид
источник

АБ

Андрей Бойко... in Radiology/Рентгенология Чатоид
источник

РТ

Ренат Тажимуратов... in Radiology/Рентгенология Чатоид
Трахея
источник

АБ

Андрей Бойко... in Radiology/Рентгенология Чатоид
источник

АБ

Андрей Бойко... in Radiology/Рентгенология Чатоид
контуры ровные
источник

РТ

Ренат Тажимуратов... in Radiology/Рентгенология Чатоид
Грудина
источник

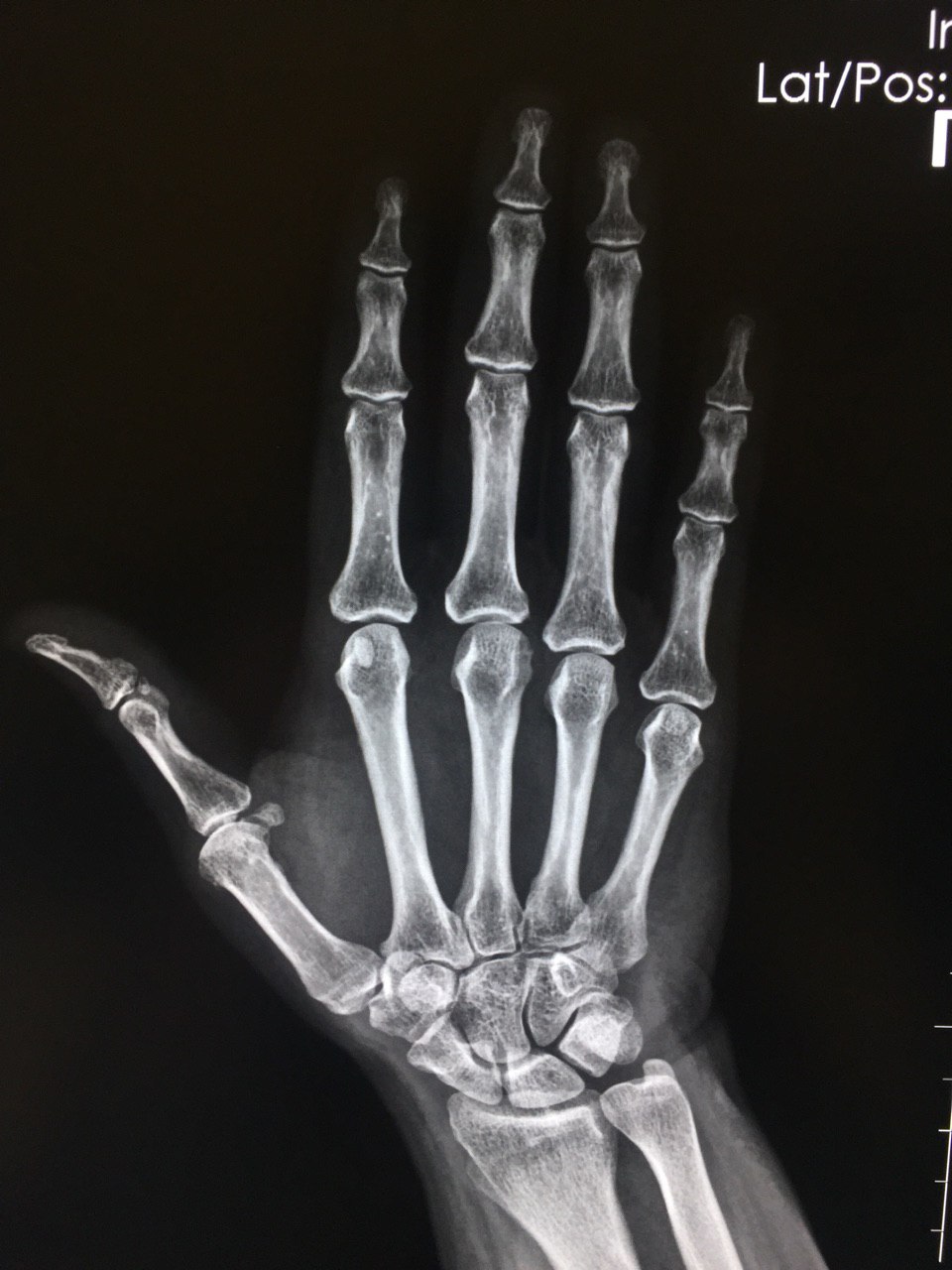
АJ

Аunt Jemima in Radiology/Рентгенология Чатоид
Коллеги,добрый вечер! Если не затруднит, ваше мнение по поводу конгруэнтности костей запястья. Боли в области 1пальца, направляющий д-з «щелкающий палец»
источник

АJ

Аunt Jemima in Radiology/Рентгенология Чатоид
источник

АJ

Аunt Jemima in Radiology/Рентгенология Чатоид
источник

NK

ID:777461038 in Radiology/Рентгенология Чатоид
+1👍
источник

N

Nick RomanOFF in Radiology/Рентгенология Чатоид
Аunt Jemima
Коллеги,добрый вечер! Если не затруднит, ваше мнение по поводу конгруэнтности костей запястья. Боли в области 1пальца, направляющий д-з «щелкающий палец»
Взаимоотношение в суставах не нарушено
источник