Size: a a a

Radiology/Рентгенология Чатоид

2019 June 21

A

AZol in Radiology/Рентгенология Чатоид
Tatjana Letkeman
Здесь незарощение дужек, так называемая spine vifida
Спасибо. Поясничных позвонков сколько?
источник

SR

Sh Razzakov in Radiology/Рентгенология Чатоид
Переслано от ID:627120108
источник

SR

Sh Razzakov in Radiology/Рентгенология Чатоид
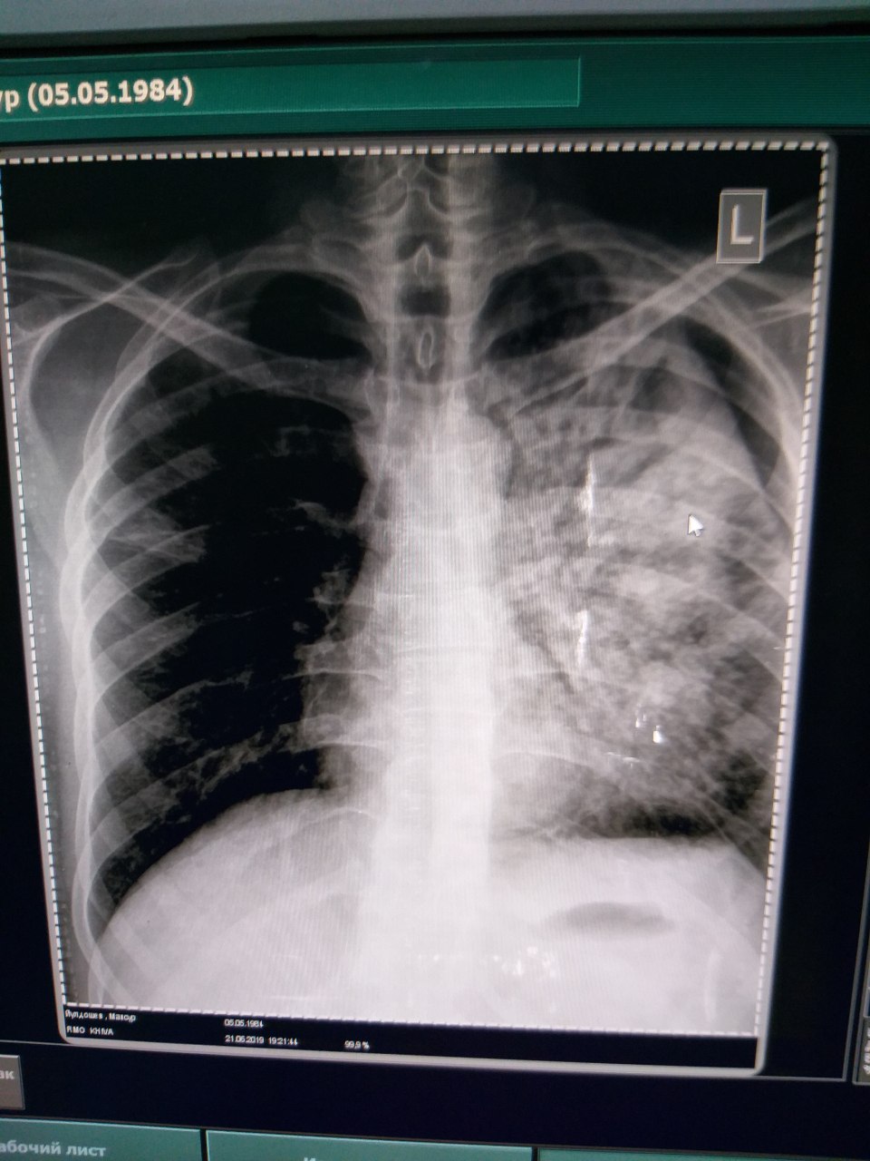
Товарищи что там 😧
источник

SR

Sh Razzakov in Radiology/Рентгенология Чатоид
Не инфаркт?
источник

NL

Nikita Levin in Radiology/Рентгенология Чатоид
Клиника?
источник

NL

Nikita Levin in Radiology/Рентгенология Чатоид
Анамнез ?
источник

NL

Nikita Levin in Radiology/Рентгенология Чатоид
источник

NL

Nikita Levin in Radiology/Рентгенология Чатоид
Это что?
источник

SR

Sh Razzakov in Radiology/Рентгенология Чатоид
Тела? Говорит реаниматологи
источник

NL

Nikita Levin in Radiology/Рентгенология Чатоид
Операции были на легких?
источник

NL

Nikita Levin in Radiology/Рентгенология Чатоид
Sh Razzakov
Тела? Говорит реаниматологи
На кт с контрастом
источник

SR

Sh Razzakov in Radiology/Рентгенология Чатоид
АД 70/30. Темп. 35,
источник

SR

Sh Razzakov in Radiology/Рентгенология Чатоид
Экссудат был
источник

SR

Sh Razzakov in Radiology/Рентгенология Чатоид
Nikita Levin
Это что?
Это артефакты кассеты
источник

SR

Sh Razzakov in Radiology/Рентгенология Чатоид
КТ нету. рентген есть только...
источник

NL

Nikita Levin in Radiology/Рентгенология Чатоид
Печаль
источник

SR

Sh Razzakov in Radiology/Рентгенология Чатоид
Хотяб намёк дать
источник

NL

Nikita Levin in Radiology/Рентгенология Чатоид
Инфаркт пневмония обширная. Но нужно кт
источник

S

Sabina in Radiology/Рентгенология Чатоид
Пневмония
источник

SR

Sh Razzakov in Radiology/Рентгенология Чатоид
Инфаркт?
источник