Size: a a a

Radiology/Рентгенология Чатоид

2019 July 02

☆☆

☆☆☆ Farrux ☆☆☆... in Radiology/Рентгенология Чатоид
источник

NL

Nikita Levin in Radiology/Рентгенология Чатоид
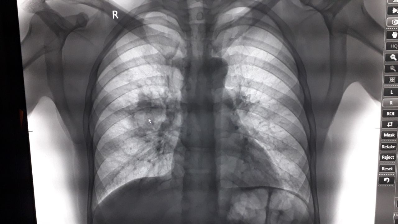
Клиника, анамнез, возраст?
источник

NL

Nikita Levin in Radiology/Рентгенология Чатоид
Правый бок?
источник

РМ

Рамин Магомедханов... in Radiology/Рентгенология Чатоид
Красотище
источник

M

Maksim Alekseyevich in Radiology/Рентгенология Чатоид
Напишите описание, закину на канал.
источник

РМ

Рамин Магомедханов... in Radiology/Рентгенология Чатоид
Maksim Alekseyevich
Напишите описание, закину на канал.
Мтs лёгких
источник

РМ

Рамин Магомедханов... in Radiology/Рентгенология Чатоид
Че за канал ?
источник

M

Maksim Alekseyevich in Radiology/Рентгенология Чатоид
А можно прям как пишут в заключениях?
источник

M

Maksim Alekseyevich in Radiology/Рентгенология Чатоид
Где первичный очаг?
источник

РМ

Рамин Магомедханов... in Radiology/Рентгенология Чатоид
Maksim Alekseyevich
Где первичный очаг?
🤷🏻‍♂️
источник

M

Maksim Alekseyevich in Radiology/Рентгенология Чатоид
источник

РМ

Рамин Магомедханов... in Radiology/Рентгенология Чатоид
Снимок свежий
источник

M

Maksim Alekseyevich in Radiology/Рентгенология Чатоид
Это чат от канала, в курсе?
источник

РР

Роберт Радов... in Radiology/Рентгенология Чатоид
Maksim Alekseyevich
Это чат от канала, в курсе?
Закинуть надо репчину лучевую тебе в канал🤣
источник

M

Maksim Alekseyevich in Radiology/Рентгенология Чатоид
Роберт Радов
Закинуть надо репчину лучевую тебе в канал🤣
?
источник

РР

Роберт Радов... in Radiology/Рентгенология Чатоид
Да я угараю с последней публикации в инсте своей🤔
источник
2019 July 03

NK

ID:0 in Radiology/Рентгенология Чатоид
Это стоит вашего внимания, я считаю.
Очень хорошо.
https://www.instagram.com/p/BzbIFABjtqj/?igshid=p2hm24a8wwp1
источник

К

Ксения in Radiology/Рентгенология Чатоид
Милота
источник

NL

Nikita Levin in Radiology/Рентгенология Чатоид
источник

Z

Zivert in Radiology/Рентгенология Чатоид
Доброе утро коллеги. Степень плосковальгусной деформации по какому углу определяют? Пяточно-подошвенный угол равен 12 градусов, угол продольного свода 155 градусов. Какую степень выставить при таких значениях?
источник