Size: a a a

THE SYNAPSUS | NEUROLOGY

2017 May 17

DT

Dr. TEO in THE SYNAPSUS | NEUROLOGY
подсказка это состояние вызвано вирусом
источник

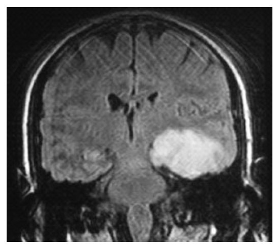
NK

ID:54676665 in THE SYNAPSUS | NEUROLOGY
Зостером
источник

DT

Dr. TEO in THE SYNAPSUS | NEUROLOGY
Почти
источник

DT

Dr. TEO in THE SYNAPSUS | NEUROLOGY
Но нет
источник

MY

Marhamat Yakubova in THE SYNAPSUS | NEUROLOGY
Салом кадрли талабалар кувончли хабар. Ойбек Тургунхужаев неврология фанидан Респ боскичида 1 чи уринни эгаллади . Ойбекка узок умр. бахт соадат. ва келгуси ишларида ривож тилаб коламиз.
источник

MY

Marhamat Yakubova in THE SYNAPSUS | NEUROLOGY
источник

MY

Marhamat Yakubova in THE SYNAPSUS | NEUROLOGY
источник

DT

Dr. TEO in THE SYNAPSUS | NEUROLOGY
Рахмат каттакон устоз берган билимиз учун!!
источник

ПР

Парпиева Юлдуз Равша... in THE SYNAPSUS | NEUROLOGY
Marhamat Yakubova
Салом кадрли талабалар кувончли хабар. Ойбек Тургунхужаев неврология фанидан Респ боскичида 1 чи уринни эгаллади . Ойбекка узок умр. бахт соадат. ва келгуси ишларида ривож тилаб коламиз.
Молодец поздравлям,достойный студент 👏👏👏👏
источник

DT

Dr. TEO in THE SYNAPSUS | NEUROLOGY
Парпиева Юлдуз Равшановна
Молодец поздравлям,достойный студент 👏👏👏👏
Спасибо большое!!
источник

DT

Dr. TEO in THE SYNAPSUS | NEUROLOGY
Продолжаем отвечать на вопрос
источник

DT

Dr. TEO in THE SYNAPSUS | NEUROLOGY
Переслано от Dr. TEO
источник

DT

Dr. TEO in THE SYNAPSUS | NEUROLOGY
Каждое утро по кейсу
источник

D

Dr. Aselessa in THE SYNAPSUS | NEUROLOGY
М О Л О Д Е Ц!!!
Так держать! Желаю и в международных олимпиадах получать 1 места!)👍🎉🎊
источник

D

Dr. Aselessa in THE SYNAPSUS | NEUROLOGY
Dr. TEO
Каждое утро по кейсу
ок
источник

DT

Dr. TEO in THE SYNAPSUS | NEUROLOGY
Спасибо огромное!
источник

DT

Dr. TEO in THE SYNAPSUS | NEUROLOGY
Какой ответ
источник

D

Dr. Aselessa in THE SYNAPSUS | NEUROLOGY
Может вирус ветряной оспы,но должны быть менинг.симп
источник

D

Dr. Aselessa in THE SYNAPSUS | NEUROLOGY
идентичен с грпес вирус возбудитель
источник

SS

Shavkat Sattorov B in THE SYNAPSUS | NEUROLOGY
Tabrikliman Oybek!!
источник