Size: a a a

Radiology/Рентгенология Чатоид

2020 May 28

NL

Nikita Levin in Radiology/Рентгенология Чатоид
Понятно.
источник

NL

Nikita Levin in Radiology/Рентгенология Чатоид
Алишер
Будешь наблюдать
+
источник

L

Lovecoin in Radiology/Рентгенология Чатоид
1 Лавкоинов было подарено Алишер. Всего у Алишер 102 Лавкоинов.
источник
2020 May 29

JS

John Smith in Radiology/Рентгенология Чатоид
Алишер
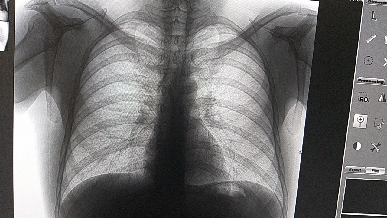
Или фиброзные изменения в.д s 3
Где, можете показать?
источник

ШМ

Шодлик Мамасадыков... in Radiology/Рентгенология Чатоид
источник

ШМ

Шодлик Мамасадыков... in Radiology/Рентгенология Чатоид
источник

А

Алишер in Radiology/Рентгенология Чатоид
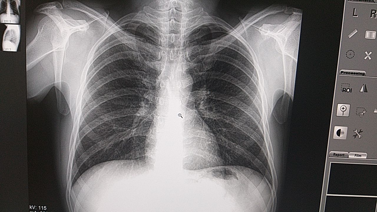
Это что за снимок
источник

NL

Nikita Levin in Radiology/Рентгенология Чатоид
Шодлик Мамасадыков
Анамнез клиника
источник

А

Алишер in Radiology/Рентгенология Чатоид
Это не вчерашний
источник

NL

Nikita Levin in Radiology/Рентгенология Чатоид
Хз
источник

А

Алишер in Radiology/Рентгенология Чатоид
Не похож
источник

ШМ

Шодлик Мамасадыков... in Radiology/Рентгенология Чатоид
Nikita Levin
Анамнез клиника
Кашель 3 месяца.
источник

А

Алишер in Radiology/Рентгенология Чатоид
Это другой снимок ты что путаешь на счёт фиброза
источник

А

Алишер in Radiology/Рентгенология Чатоид
Шутник
источник

NL

Nikita Levin in Radiology/Рентгенология Чатоид
Шодлик Мамасадыков
Кашель 3 месяца.
Возраст
источник

NL

Nikita Levin in Radiology/Рентгенология Чатоид
Шодлик Мамасадыков
Кашель 3 месяца.
Температура?
источник

ШМ

Шодлик Мамасадыков... in Radiology/Рентгенология Чатоид
Нет
источник

JS

John Smith in Radiology/Рентгенология Чатоид
Алишер
Это другой снимок ты что путаешь на счёт фиброза
Так вы его покажете на том снимке, или нет?
источник

А

Алишер in Radiology/Рентгенология Чатоид
На этом снимке нет
источник

JS

John Smith in Radiology/Рентгенология Чатоид
На каком на этом?) я вам про вчерашний случай, ответил де на сообщение
источник