Size: a a a

Radiology/Рентгенология Чатоид

2020 May 30

NL

Nikita Levin in Radiology/Рентгенология Чатоид
Alexey
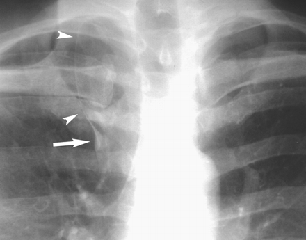
Добавочная доля непарной вены?
Анамнез
источник

A

Alexey in Radiology/Рентгенология Чатоид
Ничего не беспокоит.
источник

NL

Nikita Levin in Radiology/Рентгенология Чатоид
Похоже
источник

A

Alexey in Radiology/Рентгенология Чатоид
Спс
источник

♥️ in Radiology/Рентгенология Чатоид
👍
источник
2020 May 31

JS

John Smith in Radiology/Рентгенология Чатоид
источник

JS

John Smith in Radiology/Рентгенология Чатоид
источник

JS

John Smith in Radiology/Рентгенология Чатоид
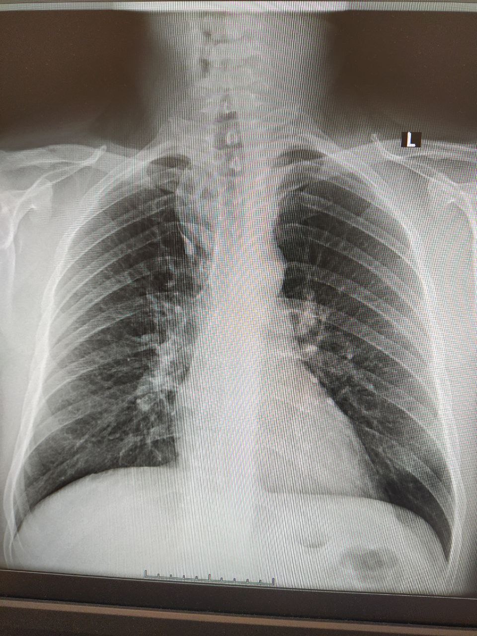
вот так, без выраженного затемнения
источник

PS

Petr Shikhalev in Radiology/Рентгенология Чатоид
Там на первом снимке видимо какое образование средостения? Надо боковую р-гр. Дообследование... возможно что то тимомы быть либо лимфоидная что то
источник

PS

Petr Shikhalev in Radiology/Рентгенология Чатоид
Alexey
👆
источник

A

Alexey in Radiology/Рентгенология Чатоид
Ну да, не исключено, конечно... На добавочную долю всё ж более всего похожа, учитывая отсутствие клиники (при объёме такого размера обязательно имевшийся бы)
источник

ОБ

Оpoм Бpют in Radiology/Рентгенология Чатоид
Старьё от 22.05.20
источник

/

//wbm in Radiology/Рентгенология Чатоид
Добрый вечер коллеги!
Не подскажите может где требуются врачи рентгенологи в Москве.
Заранее спасибо.
источник

MS

Maria Starodubtseva in Radiology/Рентгенология Чатоид
//wbm
Добрый вечер коллеги!
Не подскажите может где требуются врачи рентгенологи в Москве.
Заранее спасибо.
Такой же вопрос интересует
источник

NL

Nikita Levin in Radiology/Рентгенология Чатоид
Кт?😀 вперёд в амбулаторные кт центры на борьбу с ковидом😀
источник

/

//wbm in Radiology/Рентгенология Чатоид
Nikita Levin
Кт?😀 вперёд в амбулаторные кт центры на борьбу с ковидом😀
Классика.КТ в перспективе.
источник

MS

Maria Starodubtseva in Radiology/Рентгенология Чатоид
//wbm
Классика.КТ в перспективе.
Вот я бы пошла в кт. Хотя тоже работаю в классике.
источник

/

//wbm in Radiology/Рентгенология Чатоид
Если будет возможность обязательно пойду на КТ.
источник

MS

Maria Starodubtseva in Radiology/Рентгенология Чатоид
//wbm
Если будет возможность обязательно пойду на КТ.
Я к тому, что я тоже ищу работу
источник

/

//wbm in Radiology/Рентгенология Чатоид
Maria Starodubtseva
Я к тому, что я тоже ищу работу
Я вас понял!.. успехов в этом деле!
источник