Size: a a a

Radiology/Рентгенология Чатоид

2020 August 14

А

Александр in Radiology/Рентгенология Чатоид
Здравствуйте! Скорее всего нити же для косметики шеи?
источник

l

lizabes in Radiology/Рентгенология Чатоид
Маска на подбородке
источник

l

lizabes in Radiology/Рентгенология Чатоид
Для косметики мелкие типа закорючек
источник

R

RudSycorsky in Radiology/Рентгенология Чатоид
Маска. Вчера была бабушка с неправильно одетой маской. Снимать ее отказалась категорически.
источник

ОБ

Оpoм Бpют in Radiology/Рентгенология Чатоид
lizabes
Маска на подбородке
👍
источник

А

Александр in Radiology/Рентгенология Чатоид
Ого, вот об этом не подумал. Больных не вижу.
источник

А

Александр in Radiology/Рентгенология Чатоид
Народ , подскажите пожалуйста ещё. Что с основаниями  1-2 плюстневых?
источник

А

Александр in Radiology/Рентгенология Чатоид
источник

N

Nick RomanOFF in Radiology/Рентгенология Чатоид
Александр
Уточнить за перелом в анамнезе
источник

А

Александр in Radiology/Рентгенология Чатоид
Nick RomanOFF
Уточнить за перелом в анамнезе
Если был перелом, то как консолидированный?
источник

А

Александр in Radiology/Рентгенология Чатоид
А если нет, то просто обозначить как периостоз ?
источник

N

Nick RomanOFF in Radiology/Рентгенология Чатоид
Александр
Если был перелом, то как консолидированный?
Да
источник

А

Александр in Radiology/Рентгенология Чатоид
Спасибо!)
источник

ТТ

Таня Тимонина... in Radiology/Рентгенология Чатоид
источник

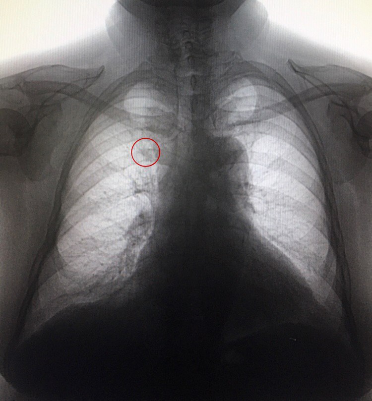
ТТ

Таня Тимонина... in Radiology/Рентгенология Чатоид
Подскажите пожалуйста то, что я в красный кружок обвела сосуды так получились или нет? Ж, 1946 года рождения, архива нет.
источник

NL

Nikita Levin in Radiology/Рентгенология Чатоид
Таня Тимонина
Подскажите пожалуйста то, что я в красный кружок обвела сосуды так получились или нет? Ж, 1946 года рождения, архива нет.
Остеоартроз грудинно-реберного
источник

NL

Nikita Levin in Radiology/Рентгенология Чатоид
Плюс поворот
источник

ТТ

Таня Тимонина... in Radiology/Рентгенология Чатоид
Спасибо
источник

ТТ

Таня Тимонина... in Radiology/Рентгенология Чатоид
источник

ТТ

Таня Тимонина... in Radiology/Рентгенология Чатоид
Справа внизу это гиповентиляция или инфильтрация такая?
источник