Size: a a a

Radiology/Рентгенология Чатоид

2020 September 01

ТТ

Таня Тимонина... in Radiology/Рентгенология Чатоид
Nikita Levin
Думаю нет, Мрт в помощь
Спасибо 😊
источник

А

Александр in Radiology/Рентгенология Чатоид
Вообще, всё что касается головы, височных, турецкого давно пора уже рентген не использовать и приучать лечебников не отправлять
источник

MJ

Mr James in Radiology/Рентгенология Чатоид
КД
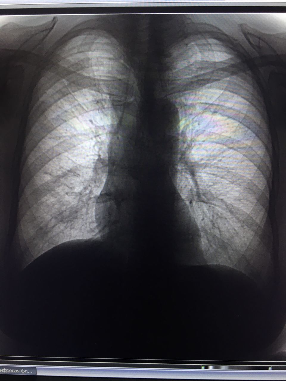
Добрый день, подскажите пожалуйста, есть ли инфильтрация? Или такой рисунок? Женщина, 1957 гр, жалобы на одышку в течение месяца, кашля и температуры нет
само по себе эта локализация (нижние отделы слева) самая коварная, поэтому надо по мягче с вердиктом
источник

NL

Nelly L'vova in Radiology/Рентгенология Чатоид
Смущает такая асимметрия и достаточно выраженное как будто снижение пневматизации
источник

NL

Nelly L'vova in Radiology/Рентгенология Чатоид
Молочка понятно
источник

MJ

Mr James in Radiology/Рентгенология Чатоид
Nelly L'vova
Смущает такая асимметрия и достаточно выраженное как будто снижение пневматизации
согласен, скиалогически весьма очевидно, но хорошо бы боковым подтвердить
источник

NL

Nelly L'vova in Radiology/Рентгенология Чатоид
Да, конечно
источник

К

КД in Radiology/Рентгенология Чатоид
Спасибо большое!
источник

.

. in Radiology/Рентгенология Чатоид
Переслано от .
источник

.

. in Radiology/Рентгенология Чатоид
Добрый день. Скажите пожалуйста, тут признаки артрита? Боль и припухлость мягких тканей в области стопы
источник

R

RudSycorsky in Radiology/Рентгенология Чатоид
Не видно.
источник

.

. in Radiology/Рентгенология Чатоид
RudSycorsky
Не видно.
Спасибо!!
источник

К.

Кана . in Radiology/Рентгенология Чатоид
Межфаланговый не похоже?
источник

К.

Кана . in Radiology/Рентгенология Чатоид
2 и 3 пальца
источник

A

Andrey in Radiology/Рентгенология Чатоид
Добрый день. Есть ли такой сайт где можно потренировать интерфейс Agfa?
источник

.

. in Radiology/Рентгенология Чатоид
Кана .
Межфаланговый не похоже?
Спасибо за ответ! Поэтому решила проконсультироваться немного
источник

ТТ

Таня Тимонина... in Radiology/Рентгенология Чатоид
источник

ТТ

Таня Тимонина... in Radiology/Рентгенология Чатоид
Женщина, 1949 года рождения. Верхушка справа, что это?
источник

ТТ

Таня Тимонина... in Radiology/Рентгенология Чатоид
источник

А

Александр in Radiology/Рентгенология Чатоид
Таня Тимонина
Женщина, 1949 года рождения. Верхушка справа, что это?
Можно верхушки отдельно
источник