Size: a a a

Radiology/Рентгенология Чат

2020 December 10

М

Марина in Radiology/Рентгенология Чат
источник

М

Марина in Radiology/Рентгенология Чат
источник

KS

Kristina Sokolova in Radiology/Рентгенология Чат
ID:0
У меня возник спор с человеком по поводу коронавируса и мне стало интересно ваше мнение.

Напишите в комментариях, как вы относитесь как ЧЕЛОВЕК и, кто может или хочет, как СПЕЦИАЛИСТ к этой «проблеме».

Моё мнение следующее - смертность по сравнению с прошлым годом по всему миру не изменилась из-за коронавируса, значит проблемы нет, есть информационный пузырь.
КАК С БИТКОИНОМ было.
Даже если смертность не изменилась, то значительно изменилось состояние здоровья, а соответсвенно качество жизни переболевших, потому как последствия короны стреляют потом ещё долго и в различных вариантах
источник

М

Марина in Radiology/Рентгенология Чат
источник

М

Марина in Radiology/Рентгенология Чат
источник

М

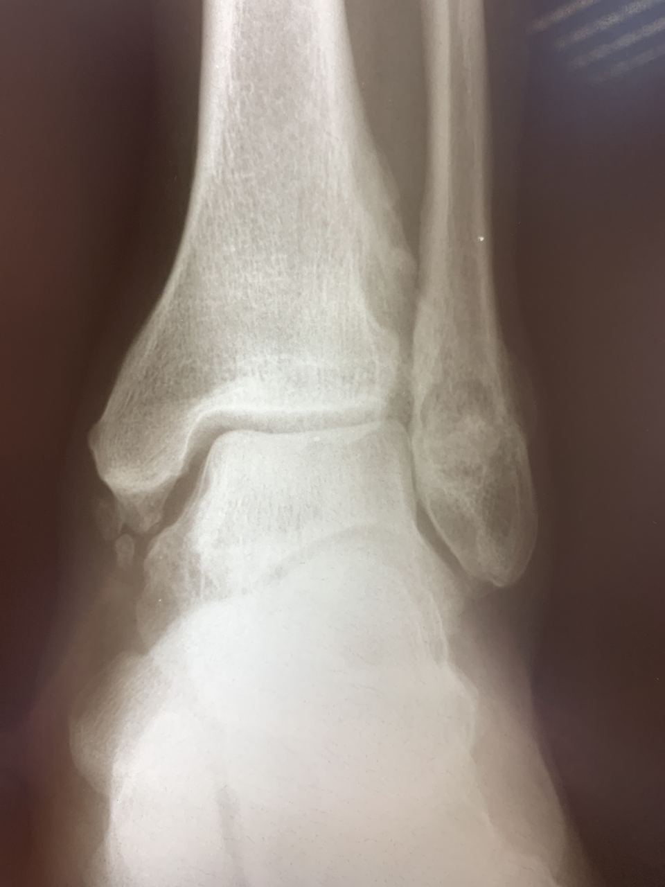
Марина in Radiology/Рентгенология Чат
Коллеги, похоже на образование или посттравматическая деформация?
источник

I▪

Izzat_Bikulov ▪id 11... in Radiology/Рентгенология Чат
Энходрома может
источник

NK

ID:0 in Radiology/Рентгенология Чат
«Рекомендация носить
хирургическую маску


статистически значимо (более чем на 50%) НЕ снижает уровень заболеваемости

от SARS-CoV-2 при несоблюдении социального дистанцирования
(дословно — средних уровнях заболеваниемости, неполно-соблюдаемой социальной дистанции и неповсеместным ношением масок)»
источник

M

Maksim Alekseyevich in Radiology/Рентгенология Чат
Gachi boi
1. Вводим реформу и уменьшаем количество медиков.
2. Срезаем финансирование и оставляем старое поломанное оборудование.
3. Получем многочисленные жалобы, что люди умирают и медиков не хватает.
4.Придумываем отмазки и виним всех подряд кроме себя.
5. Пиздим медиков, и вводим на них различные конские штрафы.
6. Медики терпят и работают.
6. Profit
7. ???
А зачем терпеть?;)
Есть же профсоюзы разные, объединения.
источник

АЭ

Александр Энн... in Radiology/Рентгенология Чат
ID:0
«Рекомендация носить
хирургическую маску


статистически значимо (более чем на 50%) НЕ снижает уровень заболеваемости

от SARS-CoV-2 при несоблюдении социального дистанцирования
(дословно — средних уровнях заболеваниемости, неполно-соблюдаемой социальной дистанции и неповсеместным ношением масок)»
Ну такое
источник

АЭ

Александр Энн... in Radiology/Рентгенология Чат
ID:0
«Рекомендация носить
хирургическую маску


статистически значимо (более чем на 50%) НЕ снижает уровень заболеваемости

от SARS-CoV-2 при несоблюдении социального дистанцирования
(дословно — средних уровнях заболеваниемости, неполно-соблюдаемой социальной дистанции и неповсеместным ношением масок)»
Ограничение: неубедительные результаты, недостающие данные, вариативная приверженность, результаты домашних тестов, сообщаемые пациентами, отсутствие ослепления и отсутствие оценки того, могут ли маски снизить передачу заболеваний от носителей масок другим
источник

PF

Pavel Forth in Radiology/Рентгенология Чат
@catism_one 😻 любит вас 💖
источник

.

. in Radiology/Рентгенология Чат
Добрый вечер!Мужчина 76 лет. Кашель, одышка, боль в груди периодически.возрастные дела?
источник

.

. in Radiology/Рентгенология Чат
источник

.

. in Radiology/Рентгенология Чат
источник

АБ

Антон Бондарев... in Radiology/Рентгенология Чат
Марина
Здравствуйте! Ж 1986г жалобы головная боль, нечеткость зрения с тошнотой, головокружения. По поводу смещений подскажите пожалуйста
Жалобы не связанные с находками на рентгене шеи
источник

М

Марина in Radiology/Рентгенология Чат
Антон Бондарев
Жалобы не связанные с находками на рентгене шеи
Там был большой список, не стала уже все указывать
источник
2020 December 11

S

Sabina in Radiology/Рентгенология Чат
Коллеги нужна помощь в описании этого снимка. Помогите пожалуйста
источник

БХ

Билол Халимов... in Radiology/Рентгенология Чат
поли дактилия
источник

БХ

Билол Халимов... in Radiology/Рентгенология Чат
определяется наличие VI плюсневой кости и всех фаланг сверхкомплектного VI пальца без признаков синостоза.
источник