Size: a a a

Radiology/Рентгенология Чат

2021 March 28

I▪

Izzat_Bikulov ▪id 11... in Radiology/Рентгенология Чат
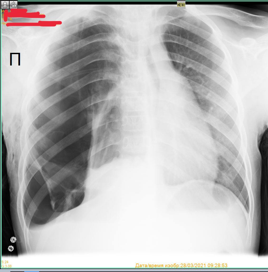
А с чем лежит?
источник

Ш

Шерзод Фархадович... in Radiology/Рентгенология Чат
экстренно поступил
источник

EU

Eldor Ulug'murodov in Radiology/Рентгенология Чат
Пневматоракс . Диафрагмаль грыжа
источник

I▪

Izzat_Bikulov ▪id 11... in Radiology/Рентгенология Чат
Шерзод Фархадович
экстренно поступил
По узд б/п что?
источник

EU

Eldor Ulug'murodov in Radiology/Рентгенология Чат
Травмы не была?
источник

Ш

Шерзод Фархадович... in Radiology/Рентгенология Чат
Izzat_Bikulov ▪id 110▪
По узд б/п что?
уточню, скажу))
источник

Ш

Шерзод Фархадович... in Radiology/Рентгенология Чат
Eldor Ulug'murodov
Травмы не была?
нет
источник

ОБ

Оpoм Бpют in Radiology/Рентгенология Чат
симптом плаща, коллапс правого лёгкого
источник

J

Jahongirshoh in Radiology/Рентгенология Чат
Eldor Ulug'murodov
Пневматоракс . Диафрагмаль грыжа
+
источник

L

Lovecoin in Radiology/Рентгенология Чат
Jahongirshoh
+
1 Лавкоинов было подарено Eldor Ulug'murodov. Всего у Eldor Ulug'murodov 101 Лавкоинов.
источник

F

Farhod in Radiology/Рентгенология Чат
источник

F

Farhod in Radiology/Рентгенология Чат
источник

F

Farhod in Radiology/Рентгенология Чат
Здравствуйте! Больной 1957 г.р. В анамнезе удаление Объемного образования мозга! Здесь объем или Релаксация купола диафрагмы?
источник

.

. in Radiology/Рентгенология Чат
источник

.

. in Radiology/Рентгенология Чат
источник

.

. in Radiology/Рентгенология Чат
источник

.

. in Radiology/Рентгенология Чат
Добрый день вечер. Жалобы на боль в к/суставе. Отек. Кальцинат/добавочная косточка?
источник

S

Shieldy in Radiology/Рентгенология Чат
Приветствую вас, Андрій, в одном из первых чатов по рентгенологии в Телеграме.

1.Представьтесь, расскажите нам, кто вы и чем занимаетесь (профессия, образование, регион). Это нужно для того, чтобы все понимали уровень ваших компетенций.
2.Проявляйте уважение к окружающим.

3.В первые 24 часа вам нельзя скидывать снимки во избежание наплыва пациентов/студентов и однодневок.

4.Все дополнительные вопросы к @MMAradiologyofficial
источник

I▪

Izzat_Bikulov ▪id 11... in Radiology/Рентгенология Чат
.
Добрый день вечер. Жалобы на боль в к/суставе. Отек. Кальцинат/добавочная косточка?
Норма
источник

Ш

Шерзод Фархадович... in Radiology/Рентгенология Чат
operirovali, okajetsa exnokokk
источник