Size: a a a

Radiology/Рентгенология Чат

2021 March 31

СЧ

Сергей Чибиряк... in Radiology/Рентгенология Чат
Переслано от Сергей Чибиряк...
источник

СЧ

Сергей Чибиряк... in Radiology/Рентгенология Чат
Жалоб нету. Корни не нравятся. Стоит рекомендовать КТ?
источник

А

Александр in Radiology/Рентгенология Чат
конечно
источник

M

Mikhailxraydoc in Radiology/Рентгенология Чат
Анамнез архив флг правый корень приподнят может метатуб
источник

DD

Dr. David Livesey in Radiology/Рентгенология Чат
А может - саркоидоз. КТ.
источник

А

Александр in Radiology/Рентгенология Чат
Сделайте томограммы срединной тени +-1 см
источник

СК

Серик Кристина... in Radiology/Рентгенология Чат
Добрый вечер.Мужчина 35 лет, ВСД по смешанному типу.Что у него с ребрами в общем?В заднем отрезке 5го ребра что за образование?
источник

СК

Серик Кристина... in Radiology/Рентгенология Чат
источник

NL

Nikita Levin in Radiology/Рентгенология Чат
Перелом был?
источник

NL

Nikita Levin in Radiology/Рентгенология Чат
Снимок со спины, кт
источник

NL

Nikita Levin in Radiology/Рентгенология Чат
Серик Кристина
Архива нет?
источник

СК

Серик Кристина... in Radiology/Рентгенология Чат
Nikita Levin
Перелом был?
Снимка нет,могу только описание
источник

NL

Nikita Levin in Radiology/Рентгенология Чат
Без пат ?

Если перелом был - мозоль мб
источник

T

The Good Doctor in Radiology/Рентгенология Чат
Анастасия
Сбрасываю в личку, спасибо
Мне тоже можете переслать Dicom в ЛС ? 🙂
источник

СК

Серик Кристина... in Radiology/Рентгенология Чат
источник

NL

Nikita Levin in Radiology/Рентгенология Чат
Это от какого числа?
источник

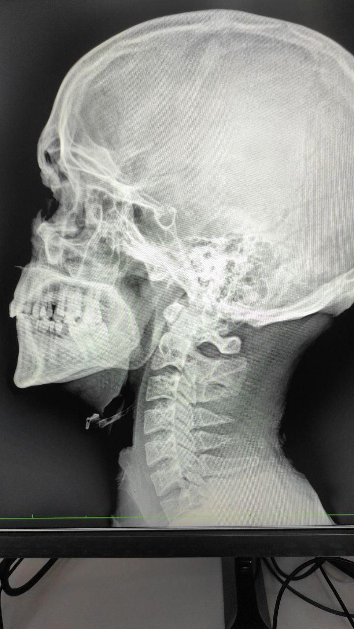
J

Jahongirshoh in Radiology/Рентгенология Чат
Tohtasin Abdukarimov
Шейных 2 3 патология есть или?
Normalni
источник

СК

Серик Кристина... in Radiology/Рентгенология Чат
Nikita Levin
Это от какого числа?
Август 20 года
источник

NL

Nikita Levin in Radiology/Рентгенология Чат
Отправляйте на кт 🤷‍♀️

Или это костные мозоли так описали, хз
источник

СК

Серик Кристина... in Radiology/Рентгенология Чат
Поняла, спасибо.
источник