Size: a a a

Radiology/Рентгенология Чат

2021 April 03

NL

Nikita Levin in Radiology/Рентгенология Чат
Асель ибраева
Клиника. Анамнез. Возраст
источник

S

Shieldy in Radiology/Рентгенология Чат
Приветствую вас, @hava_masaeva_doc, в одном из первых чатов по рентгенологии в Телеграме.

1.Представьтесь, расскажите нам, кто вы и чем занимаетесь (профессия, образование, регион). Это нужно для того, чтобы все понимали уровень ваших компетенций.
2.Проявляйте уважение к окружающим.

3.В первые 24 часа вам нельзя скидывать снимки во избежание наплыва пациентов/студентов и однодневок.

4.Все дополнительные вопросы к @MMAradiologyofficial
источник

..

. . in Radiology/Рентгенология Чат
Масаева Хава Маудиевна,врач-педиатр. ЧР,г Грозный. Образ высшее.
источник
2021 April 05

I▪

Izzat_Bikulov ▪id 11... in Radiology/Рентгенология Чат
Релаксация купола? Киста? Н/о?
источник

TA

Tohtasin Abdukarimov in Radiology/Рентгенология Чат
По моему на релаксации не похож
источник

TA

Tohtasin Abdukarimov in Radiology/Рентгенология Чат
Там округлой тень
источник

TA

Tohtasin Abdukarimov in Radiology/Рентгенология Чат
Tbs?
источник

TA

Tohtasin Abdukarimov in Radiology/Рентгенология Чат
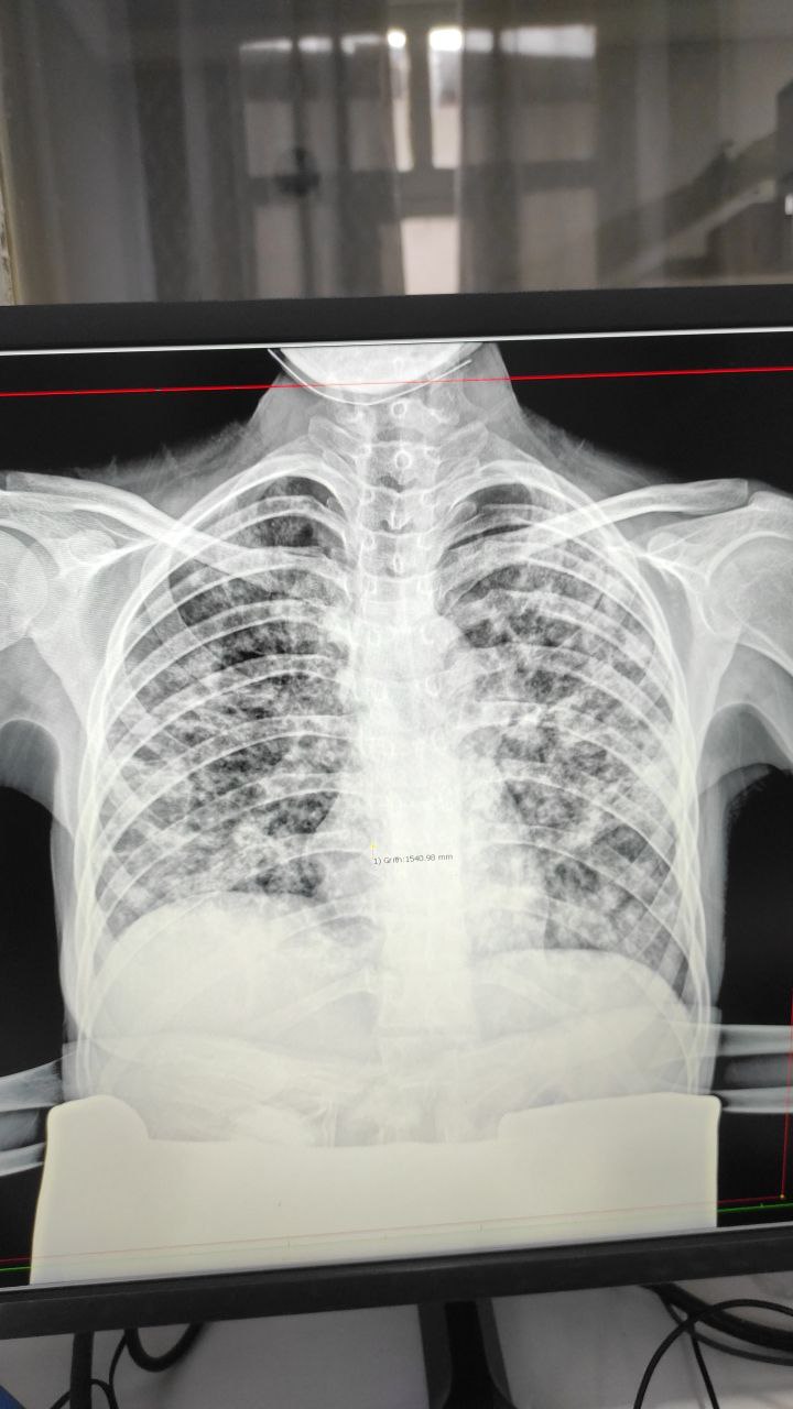
Женщина молодая 22 лет беременность 27 недель
источник

РТ

Ренат Тажимуратов... in Radiology/Рентгенология Чат
Ковид?
источник

ZM

Zaur Mugutdinov in Radiology/Рентгенология Чат
С чего вдруг сразу ковид?
Это похоже на вирусную пневмонию, которые ну никак друг от друга не отличаются
источник

РТ

Ренат Тажимуратов... in Radiology/Рентгенология Чат
Zaur Mugutdinov
С чего вдруг сразу ковид?
Это похоже на вирусную пневмонию, которые ну никак друг от друга не отличаются
Так в чем проблема?
источник

I

Iryn Karakurtina in Radiology/Рентгенология Чат
А почему в кт заключениях пишут ковид? Просто потому, что эпидемия и все резко забыли о существовании других респираторных вирусов.
источник

ZM

Zaur Mugutdinov in Radiology/Рентгенология Чат
Понятное дело, что с учётом эпидобстановки любая вирусная пневмония скорее всего окажется ковидом.
Но не надо уж сразу выставлять такой диагноз на основании лучевых исследований
источник

TA

Tohtasin Abdukarimov in Radiology/Рентгенология Чат
Сатурация 97 %
источник

РТ

Ренат Тажимуратов... in Radiology/Рентгенология Чат
Zaur Mugutdinov
Понятное дело, что с учётом эпидобстановки любая вирусная пневмония скорее всего окажется ковидом.
Но не надо уж сразу выставлять такой диагноз на основании лучевых исследований
Я не диагноз, а свой вариант написал
источник

TA

Tohtasin Abdukarimov in Radiology/Рентгенология Чат
Кашель более 4 месяца
источник

TA

Tohtasin Abdukarimov in Radiology/Рентгенология Чат
Потеря аппетита
источник

TA

Tohtasin Abdukarimov in Radiology/Рентгенология Чат
Озноб
источник

I

Iryn Karakurtina in Radiology/Рентгенология Чат
Посылайте к фтизиатрам, они разберутся
источник

TA

Tohtasin Abdukarimov in Radiology/Рентгенология Чат
Iryn Karakurtina
Посылайте к фтизиатрам, они разберутся
Да на диссеминации подозревали и отправили к фтизиатру
источник