ZM
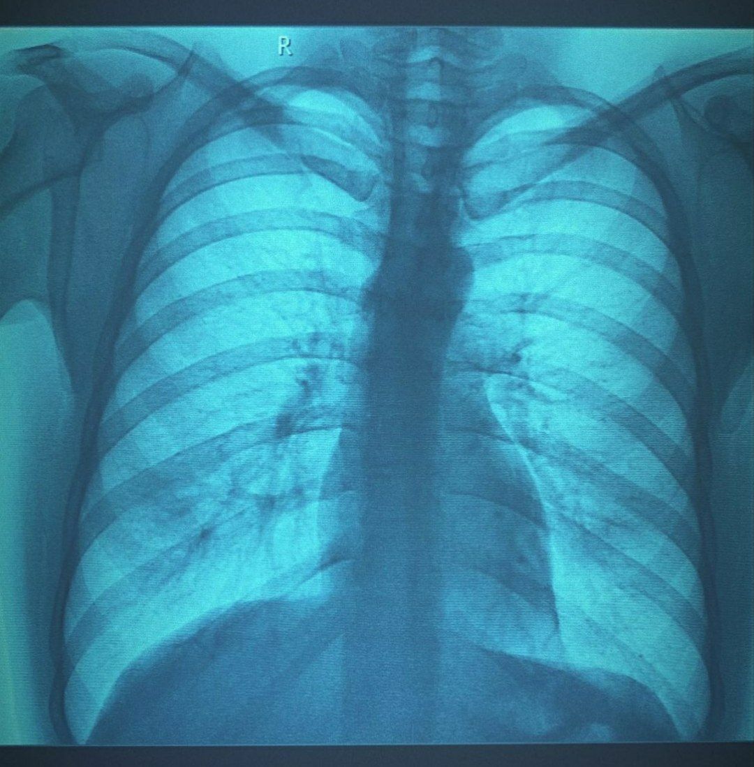
Оцените снимок пожалуйста. На форуме мы спорим с врачом, есть ли тут пневмония или нет. Список ребенка, через неделю после начала заболевания.
Мое мнение, что пневмония здесь не видна (настолько, что бы это можно было смело утверждать). Коллега утверждает, что отлично видна инфильтрация и дольковый ателектаз








