Size: a a a

Radiology/Рентгенология Чат

2021 April 07

ЕЯ

Елена Ящинская... in Radiology/Рентгенология Чат
Доброй ночи. Анамнез неизвестен, жалоб нет
источник

ЕЯ

Елена Ящинская... in Radiology/Рентгенология Чат
Какие мысли?
источник

Г

Гульзифа in Radiology/Рентгенология Чат
Здравствуйте. Ребенок 2006г. Травмы отрицает. Остеохондропатия надколенника справа? Слева норма.
источник

TN

Tatyana Nesterenko in Radiology/Рентгенология Чат
Я за patella bipartita
источник

Г

Гульзифа in Radiology/Рентгенология Чат
Спасибо
источник

JD

Julia Dubinchuk in Radiology/Рентгенология Чат
Здравствуйте, уважаемые коллеги.  Я занимаюсь рентгенологией 8 лет. У нас в районной больнице покупают маммограф. С чего начать? Порекомендуйте, пожалуйста, литературу/сайты/курсы, что-нибудь.  На ТУ поеду,  но там всего не дадут(. Зарагее благодарна 🙏
источник

AM

Anton Mstkv in Radiology/Рентгенология Чат
Breast imaging & interventions
Группа для мультимодальных специалистов-диагностов, хирургов, онкологов, лучевых терапевтов и всех неравнодушных
https://t.me/breastimaging Здесь по маммо
источник

JD

Julia Dubinchuk in Radiology/Рентгенология Чат
Благодарю Вас!
источник

AM

Anton Mstkv in Radiology/Рентгенология Чат
источник

JD

Julia Dubinchuk in Radiology/Рентгенология Чат
Спасибо!
источник

S

Shieldy in Radiology/Рентгенология Чат
Приветствую вас, @Bakhti1997, в одном из первых чатов по рентгенологии в Телеграме.

1.Представьтесь, расскажите нам, кто вы и чем занимаетесь (профессия, образование, регион). Это нужно для того, чтобы все понимали уровень ваших компетенций.
2.Проявляйте уважение к окружающим.

3.В первые 24 часа вам нельзя скидывать снимки во избежание наплыва пациентов/студентов и однодневок.

4.Все дополнительные вопросы к @MMAradiologyofficial
источник

O)

Oblakulov )) in Radiology/Рентгенология Чат
Здравствуйте Добрый вечер всем. Я студент медицинского Вуза интересуюсь радиологией.
источник

S

Shieldy in Radiology/Рентгенология Чат
Приветствую вас, @dinah13, в одном из первых чатов по рентгенологии в Телеграме.

1.Представьтесь, расскажите нам, кто вы и чем занимаетесь (профессия, образование, регион). Это нужно для того, чтобы все понимали уровень ваших компетенций.
2.Проявляйте уважение к окружающим.

3.В первые 24 часа вам нельзя скидывать снимки во избежание наплыва пациентов/студентов и однодневок.

4.Все дополнительные вопросы к @MMAradiologyofficial
источник

D

Di in Radiology/Рентгенология Чат
Интерн-радиолог. Одесса, Украина
источник
2021 April 08

S

Shieldy in Radiology/Рентгенология Чат
Приветствую вас, @Tanushka_ok, в одном из первых чатов по рентгенологии в Телеграме.

1.Представьтесь, расскажите нам, кто вы и чем занимаетесь (профессия, образование, регион). Это нужно для того, чтобы все понимали уровень ваших компетенций.
2.Проявляйте уважение к окружающим.

3.В первые 24 часа вам нельзя скидывать снимки во избежание наплыва пациентов/студентов и однодневок.

4.Все дополнительные вопросы к @MMAradiologyofficial
источник

T

Tanushka_ok in Radiology/Рентгенология Чат
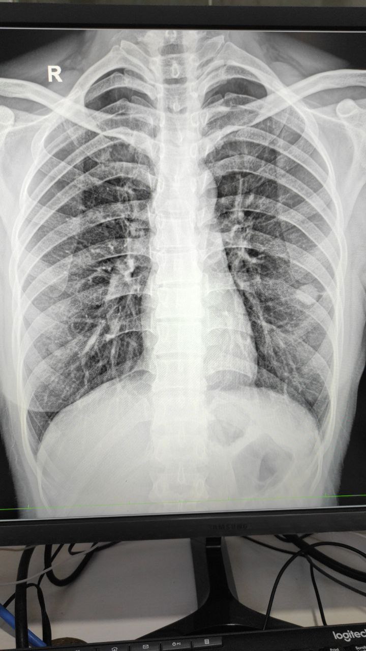
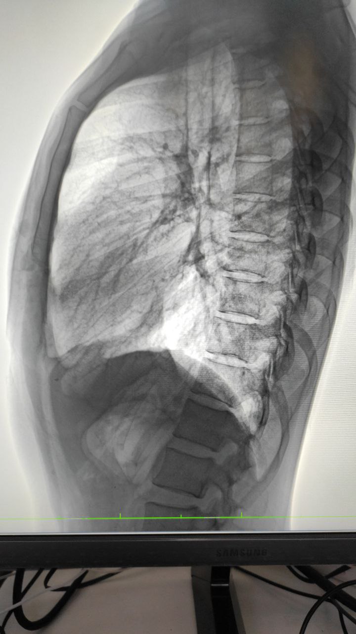
Добрый день. Татьяна. Хотела проконсультироваться по снимку. Обнаружили ковид .вдруг воспаление.. Хотела  уточнить.. Но я так понимаю тут чат для медиков. Уж простите, что внедрилась. Возможно кто-то поможет.
источник

TA

Tohtasin Abdukarimov in Radiology/Рентгенология Чат
источник

TA

Tohtasin Abdukarimov in Radiology/Рентгенология Чат
источник

TA

Tohtasin Abdukarimov in Radiology/Рентгенология Чат
источник

TA

Tohtasin Abdukarimov in Radiology/Рентгенология Чат
источник