Size: a a a

THE SYNAPSUS | NEUROLOGY

2017 May 17

DT

Dr. TEO in THE SYNAPSUS | NEUROLOGY
Достаточно маленький?)))
источник

DT

Dr. TEO in THE SYNAPSUS | NEUROLOGY
Dr. Aselessa
)) срава?
Подсказка там очаг слева основной
источник

DT

Dr. TEO in THE SYNAPSUS | NEUROLOGY
смещение вызывает не наличие очага а отек мозговой ткани вокруг очага
источник

DT

Dr. TEO in THE SYNAPSUS | NEUROLOGY
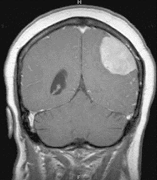
вы можете мне найти очаг на этом КТ?
источник

DT

Dr. TEO in THE SYNAPSUS | NEUROLOGY
Dr. TEO
Это другой уровень среза что видно?
.
источник

D

Dr. Aselessa in THE SYNAPSUS | NEUROLOGY
Слева темпораль-затылоч
источник

D

Dr. Aselessa in THE SYNAPSUS | NEUROLOGY
Dr. TEO
Достаточно маленький?)))
Нет.это уже не маленький!)))
источник

DT

Dr. TEO in THE SYNAPSUS | NEUROLOGY
Dr. Aselessa
Слева темпораль-затылоч
Нарисовать и показать смомжете?
источник

NK

ID:54676665 in THE SYNAPSUS | NEUROLOGY
Не сомневались, что ты будешь Первым!!!! Молодчинка, Друг!!))))))
источник

DT

Dr. TEO in THE SYNAPSUS | NEUROLOGY
ID:54676665
Не сомневались, что ты будешь Первым!!!! Молодчинка, Друг!!))))))
Юхууу спасибо))
источник

NK

ID:54676665 in THE SYNAPSUS | NEUROLOGY
#pixlr
источник

NK

ID:54676665 in THE SYNAPSUS | NEUROLOGY
Dr. TEO
Это герпевирусный энцефалит
Энцефаломиелит? Это по той классиф, кот я тебе в личку кидала
источник

NK

ID:54676665 in THE SYNAPSUS | NEUROLOGY
Ща
источник

NK

ID:54676665 in THE SYNAPSUS | NEUROLOGY
источник

DT

Dr. TEO in THE SYNAPSUS | NEUROLOGY
источник

DT

Dr. TEO in THE SYNAPSUS | NEUROLOGY
В данном случае это менингео
источник

DT

Dr. TEO in THE SYNAPSUS | NEUROLOGY
Менингеома
источник

DT

Dr. TEO in THE SYNAPSUS | NEUROLOGY
ID:54676665
Энцефаломиелит? Это по той классиф, кот я тебе в личку кидала
Да
источник

DT

Dr. TEO in THE SYNAPSUS | NEUROLOGY
источник

DT

Dr. TEO in THE SYNAPSUS | NEUROLOGY
Вот участки гипоинтенсивности
источник