Size: a a a

THE SYNAPSUS | NEUROLOGY

2017 May 17

DT

Dr. TEO in THE SYNAPSUS | NEUROLOGY
Это говорит об отеке
источник

DT

Dr. TEO in THE SYNAPSUS | NEUROLOGY
Это КТ болтного
источник

DT

Dr. TEO in THE SYNAPSUS | NEUROLOGY
источник

DT

Dr. TEO in THE SYNAPSUS | NEUROLOGY
С этим МРТ
источник

DT

Dr. TEO in THE SYNAPSUS | NEUROLOGY
источник

DT

Dr. TEO in THE SYNAPSUS | NEUROLOGY
Срез прошел через островковую кору и мы видим указанный отек
источник

DT

Dr. TEO in THE SYNAPSUS | NEUROLOGY
Dr. TEO
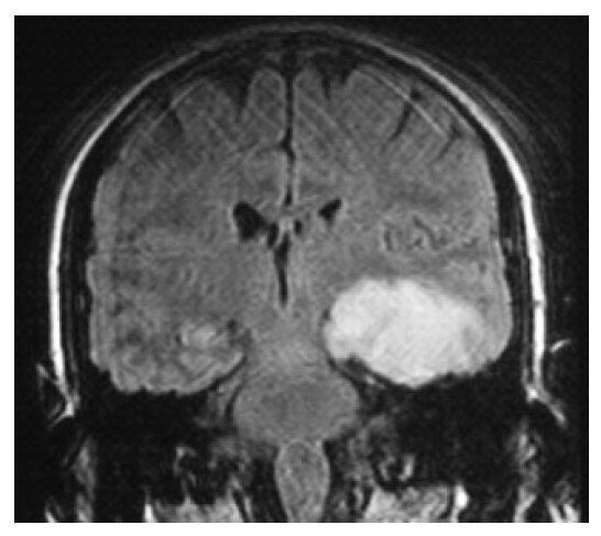
А тут?
Здесь кровоизлияние есть
источник

DT

Dr. TEO in THE SYNAPSUS | NEUROLOGY
Dr. TEO
есть ли тут субарахноидальное кровоизлияние?
А здесь коллеги нет хотя междолевые щели гиперденсны что при отсуствии анамнеза натолкнуло бы нас на мысль о кровотечении, но тут повышенное содержание белка в этом участке за счет энцефалита
источник

DT

Dr. TEO in THE SYNAPSUS | NEUROLOGY
Поэтому нейровизуализация это доп метод и опираться на него не советуют
источник

DT

Dr. TEO in THE SYNAPSUS | NEUROLOGY
В этом случае когда кт говорит о кровоизлиянии не рекомендуют делать мрт, а рекомендуют делать пункцию для выявления эритроцитов
источник

D

Dr. Aselessa in THE SYNAPSUS | NEUROLOGY
Нет( функ.тел не позволяет.
источник

D

Dr. Aselessa in THE SYNAPSUS | NEUROLOGY
Давно нарисовала бы)
источник

D

Dr. Aselessa in THE SYNAPSUS | NEUROLOGY
Dr. Aselessa
Здесь есть.во втором нет помоему
А здесь что? Похож на вчг
источник

DT

Dr. TEO in THE SYNAPSUS | NEUROLOGY
Вчг??
источник

DT

Dr. TEO in THE SYNAPSUS | NEUROLOGY
Переслано от 🅰AHMED😎FOUAD📚...
Ophthalmology Books
Ophthalmology Books Sharing Channel

Admin@AhmedFouad2020

https://t.me/Ophthalmology_Books_2016
источник

DT

Dr. TEO in THE SYNAPSUS | NEUROLOGY
Переслано от Gayrat Eshkuvvatov
источник

DT

Dr. TEO in THE SYNAPSUS | NEUROLOGY
Переслано от Gayrat Eshkuvvatov
источник

NK

ID:32541705 in THE SYNAPSUS | NEUROLOGY
tabriklayman, Oybek. arziysiz👍👍👍
источник

DT

Dr. TEO in THE SYNAPSUS | NEUROLOGY
Переслано от Gayrat Eshkuvvatov
источник

DT

Dr. TEO in THE SYNAPSUS | NEUROLOGY
ID:32541705
tabriklayman, Oybek. arziysiz👍👍👍
Рахмат дустим!
источник