Size: a a a

Radiology/Рентгенология Чатоид

2020 September 01

А

Александр in Radiology/Рентгенология Чатоид
Таня Тимонина
Это за 2018 год
Конечно сравнивается, несравниваемое. Как по мне хвосты кроней
источник

Д

Дмитриев Алексей... in Radiology/Рентгенология Чатоид
Ilya Pospelov
Что за линейная тень вдоль ребра слева может быть? Без динамики.
Что с диафрагмой
На релаксацию похоже
источник

К

Ксения in Radiology/Рентгенология Чатоид
Таня Тимонина
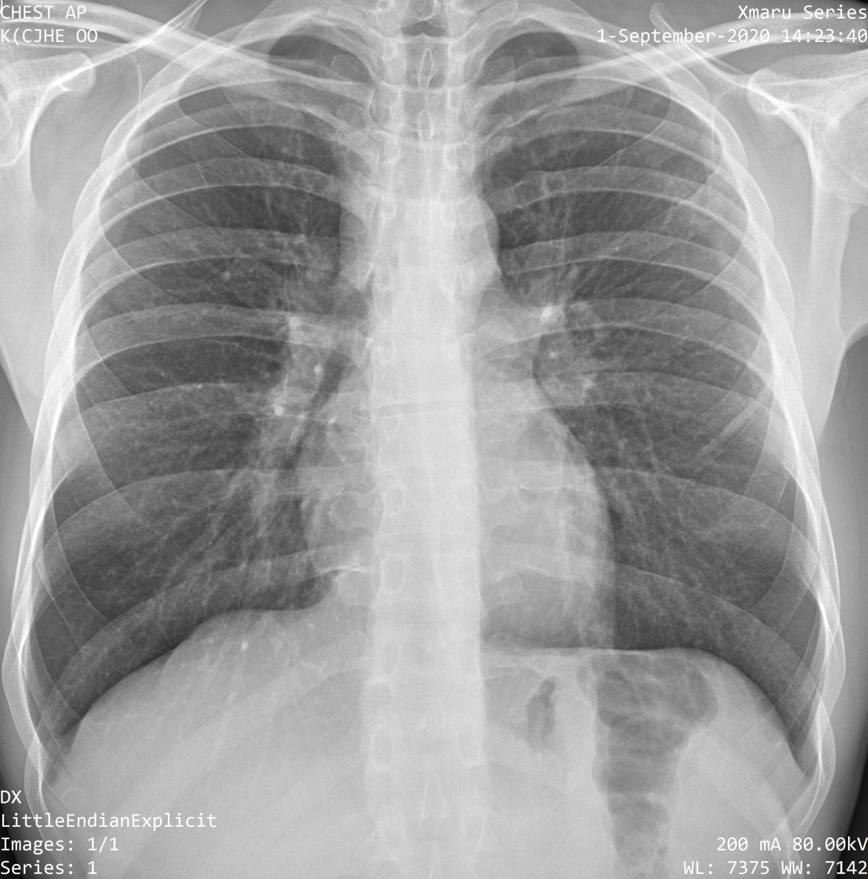
Подскажите пожалуйста, тут справа в нижних отделах, что-то есть или это сосуды?
С учётом рентген архива может быть  бронхопневмония с учётом клинико-лабораторных данных , рекомендуйте рентген контроль в динамике через 10-14 дней
источник

ТТ

Таня Тимонина... in Radiology/Рентгенология Чатоид
Ксения
С учётом рентген архива может быть  бронхопневмония с учётом клинико-лабораторных данных , рекомендуйте рентген контроль в динамике через 10-14 дней
Спасибо 😊
источник

ЛГ

Лина Гильмутдинова... in Radiology/Рентгенология Чатоид
🤗
источник

M

Maks in Radiology/Рентгенология Чатоид
Всем привет. Кто подскажет значение "юкстаартикулярный"? В чём разница с "субхондральным"?
источник

D

Dimon in Radiology/Рентгенология Чатоид
Oksana
С двух сторон ковид
источник

АС

Алексис Санчес... in Radiology/Рентгенология Чатоид
источник

АС

Алексис Санчес... in Radiology/Рентгенология Чатоид
Коллеги 2009 ребенок с фрункулезом
источник

АС

Алексис Санчес... in Radiology/Рентгенология Чатоид
Есть ли пневмония
источник

А

Андрей in Radiology/Рентгенология Чатоид
Снимок "мягкий"
источник

АС

Алексис Санчес... in Radiology/Рентгенология Чатоид
Да уж
источник

D

Dr.Tanechka in Radiology/Рентгенология Чатоид
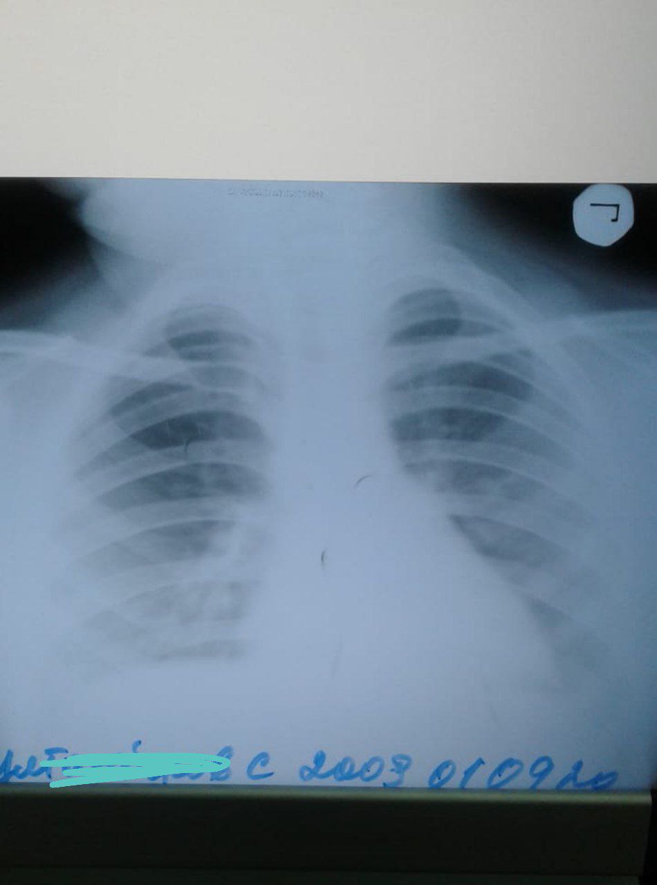
Женщина 56 лет. проф осмотр , жалоб нет. Справа фиброз?
источник

NL

Nikita Levin in Radiology/Рентгенология Чатоид
Dr.Tanechka
Женщина 56 лет. проф осмотр , жалоб нет. Справа фиброз?
Позитив. И слева
источник

NL

Nikita Levin in Radiology/Рентгенология Чатоид
Архив будет?
источник

D

Dr.Tanechka in Radiology/Рентгенология Чатоид
Nikita Levin
Архив будет?
Со слов сказала что норма была в том году. Снимок прислали по удаленке
источник

NL

Nikita Levin in Radiology/Рентгенология Чатоид
Со слов не катит
источник

D

Dr.Tanechka in Radiology/Рентгенология Чатоид
Nikita Levin
Архив будет?
Порекомендовать заднюю проекцию?
источник

NL

Nikita Levin in Radiology/Рентгенология Чатоид
Можно позитив увидеть?
источник

D

Dr.Tanechka in Radiology/Рентгенология Чатоид
Nikita Levin
Можно позитив увидеть?
На домашнем компе не могу делать. Снимок как картинку прислали
источник