Size: a a a

Radiology/Рентгенология Чатоид

2020 September 01

NL

Nikita Levin in Radiology/Рентгенология Чатоид
Понял
источник

NL

Nikita Levin in Radiology/Рентгенология Чатоид
Dr.Tanechka
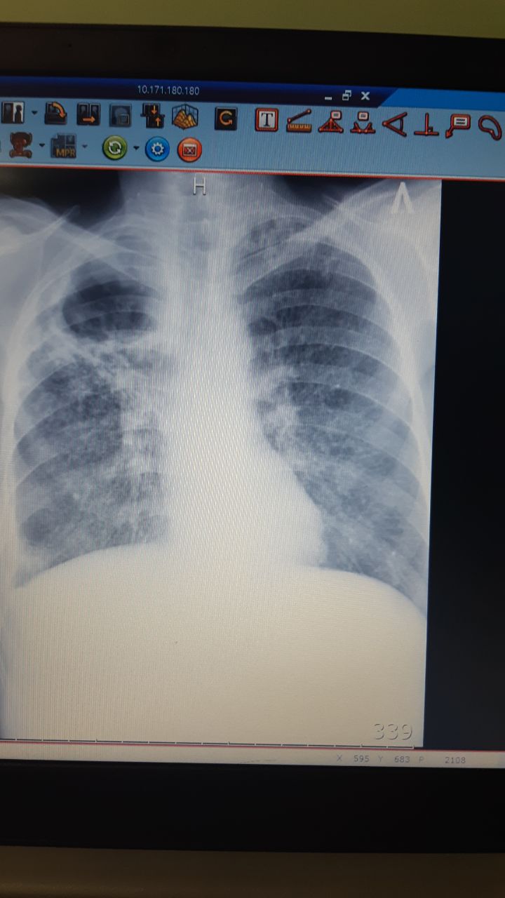
Женщина 56 лет. проф осмотр , жалоб нет. Справа фиброз?
Да. С обеих сторон в верхних долях
источник

D

Dr.Tanechka in Radiology/Рентгенология Чатоид
Nikita Levin
Да. С обеих сторон в верхних долях
Спасибо
источник

Д

Дмитриев Алексей... in Radiology/Рентгенология Чатоид
источник

Д

Дмитриев Алексей... in Radiology/Рентгенология Чатоид
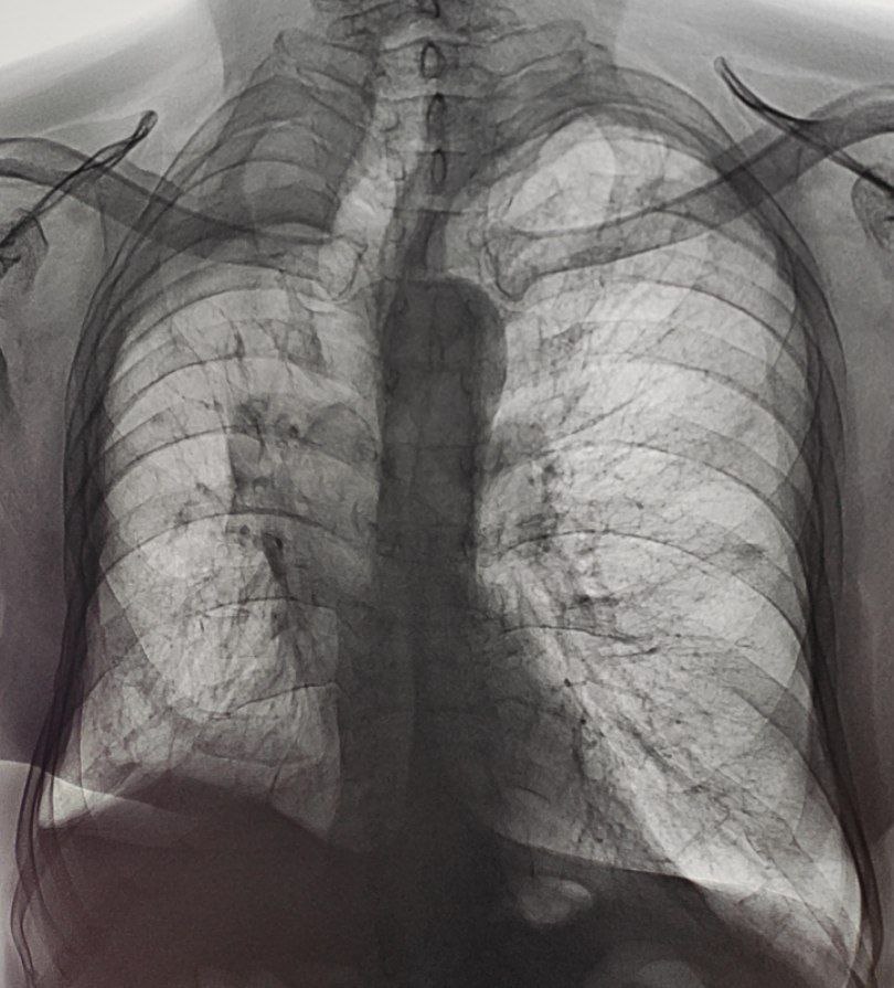
Здравствуйте,ваше мнение,анамнеза нету.
источник

ИО

Ирина Овчарова... in Radiology/Рентгенология Чатоид
Дмитриев Алексей
Здравствуйте,ваше мнение,анамнеза нету.
На фоне синдрома утечки воздуха оценить состояние легочных полей проблематично. Поэтому просто пишем что видим. Синдром утечки воздуха: двусторонний пневмоторакс, пневмомедиастинум, подкожная эмфизема. Контроль в динамике.
источник

Д

Дмитриев Алексей... in Radiology/Рентгенология Чатоид
Ирина Овчарова
На фоне синдрома утечки воздуха оценить состояние легочных полей проблематично. Поэтому просто пишем что видим. Синдром утечки воздуха: двусторонний пневмоторакс, пневмомедиастинум, подкожная эмфизема. Контроль в динамике.
Спасибо
источник
2020 September 02

А

Александр in Radiology/Рентгенология Чатоид
Товарищи, может надо кому https://yadi.sk/d/NuUSZ9rIYWryVw
источник

NL

Nikita Levin in Radiology/Рентгенология Чатоид
Переслано от Дмитриев Алексей...
Это не мой пациент,нам скинули в чат интернов,для ознакомления
источник

А

Александр in Radiology/Рентгенология Чатоид
Для интереса. У пациента в 80х ножевое ранение в грудь. Верхняя и средняя доля фиброателектаз. Это к слову о важности анамнеза
источник

А

Александр in Radiology/Рентгенология Чатоид
источник

О

Ольга in Radiology/Рентгенология Чатоид
2_5217634414162347626.pdf
источник

Р

Роман in Radiology/Рентгенология Чатоид
Доброго утра всем
источник

ТТ

Таня Тимонина... in Radiology/Рентгенология Чатоид
Коллеги, подскажите пожалуйста, есть ли здесь изменения в верхушке слева? Женщина, 1958 г, в направлении Хр. Бронхит?
источник

NL

Nikita Levin in Radiology/Рентгенология Чатоид
Спиной надо
источник

А

Александр in Radiology/Рентгенология Чатоид
Тоже ради интереса. Точно не помню, но молодой парень, попал под поезд в 2008 г, сделали операцию.
источник

А

Александр in Radiology/Рентгенология Чатоид
И такой красивый он пришёл уже около полугода назад
источник

D

Dimon in Radiology/Рентгенология Чатоид
источник

D

Dimon in Radiology/Рентгенология Чатоид
У кого какие идеи?🤔
источник

А

Александр in Radiology/Рентгенология Чатоид
ФКТ , гигантская каверна? Мелочаговая дисс.? Анамнез, архив
источник