Size: a a a

Radiology/Рентгенология Чат

2021 April 08

TA

Tohtasin Abdukarimov in Radiology/Рентгенология Чат
Здравствуйте
источник

TA

Tohtasin Abdukarimov in Radiology/Рентгенология Чат
Женщина 38 лет
источник

TA

Tohtasin Abdukarimov in Radiology/Рентгенология Чат
Флюорообследование
источник

TA

Tohtasin Abdukarimov in Radiology/Рентгенология Чат
Слева округлой тень на прямой проекции в боковом я не видел как думаете?
источник

TA

Tohtasin Abdukarimov in Radiology/Рентгенология Чат
?
источник

TN

Tatyana Nesterenko in Radiology/Рентгенология Чат
Крупная родинка на коже?
источник

TN

Tatyana Nesterenko in Radiology/Рентгенология Чат
источник

TN

Tatyana Nesterenko in Radiology/Рентгенология Чат
В любом случае, на самого пациента желательно ещё глазами посмотреть
источник

🌹

🌹 in Radiology/Рентгенология Чат
источник

🌹

🌹 in Radiology/Рентгенология Чат
источник

TA

Tohtasin Abdukarimov in Radiology/Рентгенология Чат
👍
источник

СК

Сергей К in Radiology/Рентгенология Чат
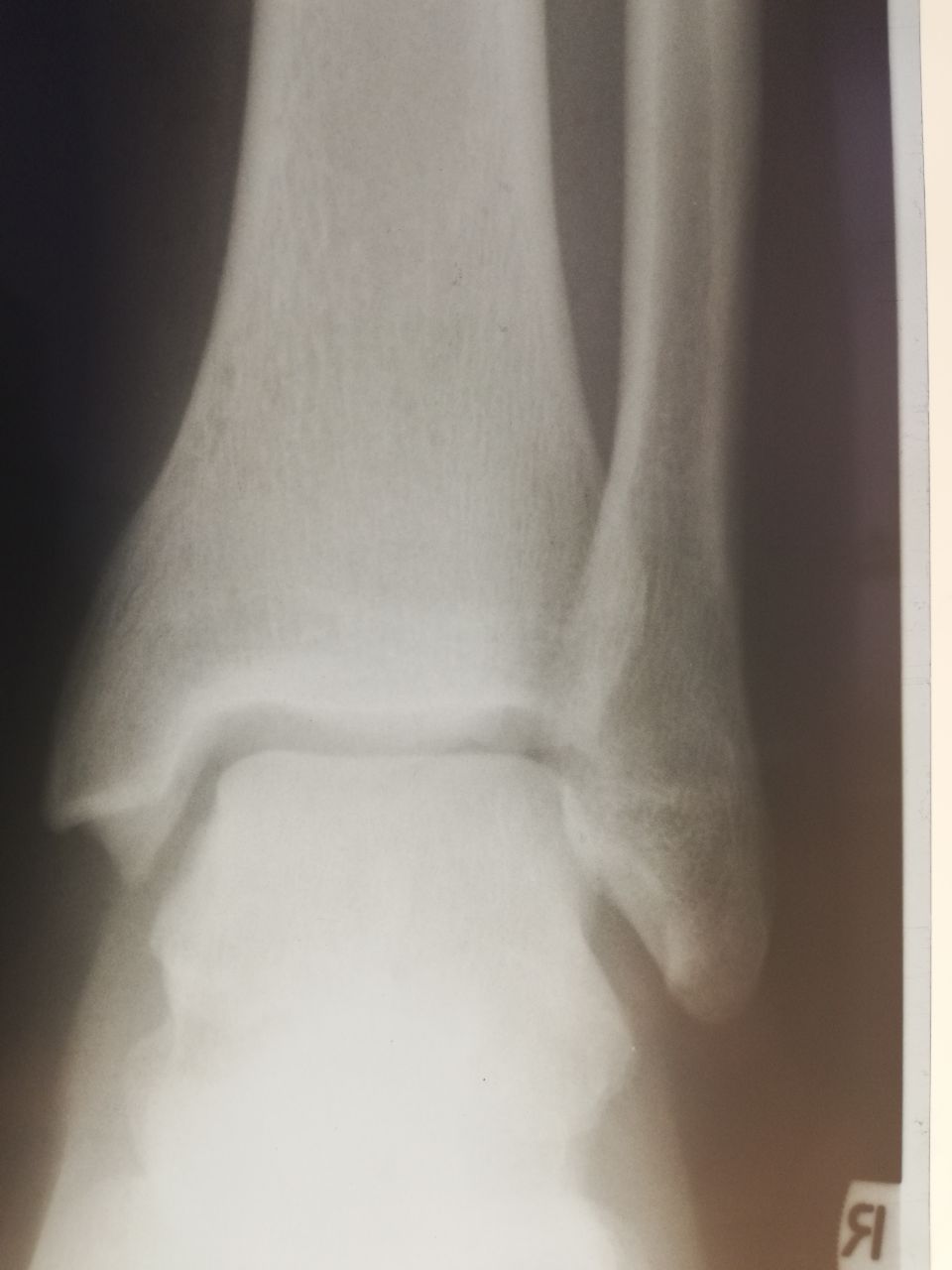
Здравствуйте! Мужчина, 37 лет, 3-4 недели назад была травма. Смущает отмеченный участок на латеральной лодыжке. Как думаете, есть ли перелом? И если есть, можно ли сказать о его консолидации?
источник

СК

Сергей К in Radiology/Рентгенология Чат
источник

СК

Сергей К in Radiology/Рентгенология Чат
источник

S

Shieldy in Radiology/Рентгенология Чат
Приветствую вас, @alllinnkaa, в одном из первых чатов по рентгенологии в Телеграме.

1.Представьтесь, расскажите нам, кто вы и чем занимаетесь (профессия, образование, регион). Это нужно для того, чтобы все понимали уровень ваших компетенций.
2.Проявляйте уважение к окружающим.

3.В первые 24 часа вам нельзя скидывать снимки во избежание наплыва пациентов/студентов и однодневок.

4.Все дополнительные вопросы к @MMAradiologyofficial
источник

А

Алина in Radiology/Рентгенология Чат
Здравствуйте! Я работаю в ДПО по поводу обучения (профессиональные переподготовки, сертификаты, баллы НМО) если интересует - пишите😉
источник

А

Александр in Radiology/Рентгенология Чат
Кому нужны эти баллы?
источник

NL

Nikita Levin in Radiology/Рентгенология Чат
Видимо кому-то
источник

А

Алина in Radiology/Рентгенология Чат
Некоторые обращаются с набором) Но лучше эту систему обойти и просто продлиться, а там может и отменят аккредитацию
источник

А

Александр in Radiology/Рентгенология Чат
Каким законом регламентировано получение баллов и для чего
источник