Size: a a a

Radiology/Рентгенология Чат

2021 April 08

А

Алина in Radiology/Рентгенология Чат
В том то и дело, что никого не обязывают, а с этими баллами с ума сходят.
источник

И

Ислам in Radiology/Рентгенология Чат
нет там перелома
источник

..

. . in Radiology/Рентгенология Чат
Не пневмония ,случаем?? Особенно мне не нрав тень слева
источник

ЕЯ

Елена Ящинская... in Radiology/Рентгенология Чат
Написала нельзя исключить, так как анамнеза нет, жалоб тоже, но судя по тому , что женщина поступила с пролежнем- она лежачая
источник

..

. . in Radiology/Рентгенология Чат
Застойные явления
источник

И

Ислам in Radiology/Рентгенология Чат
источник

S

Shieldy in Radiology/Рентгенология Чат
Приветствую вас, Аndriana, в одном из первых чатов по рентгенологии в Телеграме.

1.Представьтесь, расскажите нам, кто вы и чем занимаетесь (профессия, образование, регион). Это нужно для того, чтобы все понимали уровень ваших компетенций.
2.Проявляйте уважение к окружающим.

3.В первые 24 часа вам нельзя скидывать снимки во избежание наплыва пациентов/студентов и однодневок.

4.Все дополнительные вопросы к @MMAradiologyofficial
источник

M

MGD in Radiology/Рентгенология Чат
источник

M

MGD in Radiology/Рентгенология Чат
источник

M

MGD in Radiology/Рентгенология Чат
источник

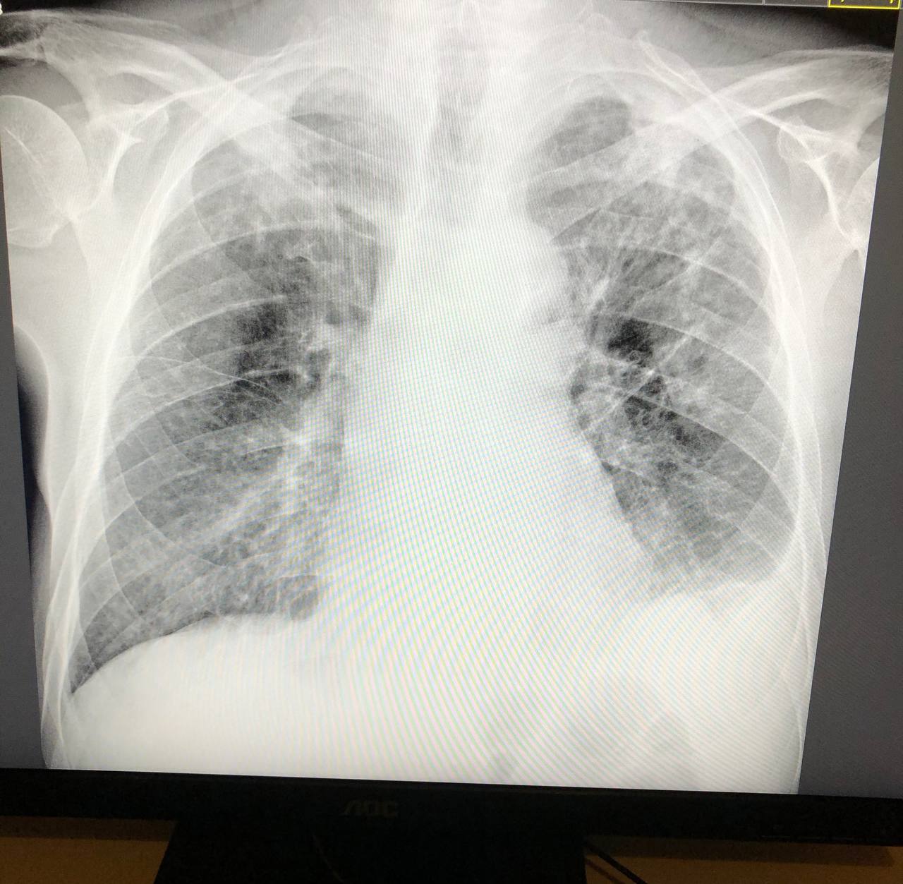
M

MGD in Radiology/Рентгенология Чат
Доброй ночи коллеги, прошу прощения за беспокойство. Пациент 1943г, темп однократно 37. Похоже плеврит слева. Плюс тени с двух сторон плотные? К фтизиатру или больше за пневмонию? Подскажите пожалуйста. Спасибо вам большое.
источник
2021 April 09

И

Ислам in Radiology/Рентгенология Чат
последствия спецпроцесса, но связь с корнем есть
источник

И

Ислам in Radiology/Рентгенология Чат
к фтизиатру
источник

М

Максим in Radiology/Рентгенология Чат
Всем доброго утра и хорошего дня)
источник

И

Ислам in Radiology/Рентгенология Чат
источник

М

Марина in Radiology/Рентгенология Чат
Коллеги,подскажите,65л упала с велосипеда,нога отекшая больше недели.Мнения с коллегами разошлись,я не могу "развидеть" эту трещину 😁есть или нет?
источник

М

Марина in Radiology/Рентгенология Чат
источник

JS

John Smith in Radiology/Рентгенология Чат
Тут все норм, если ниже глянуть ?
источник

М

Марина in Radiology/Рентгенология Чат
Вот и не пойму
источник

TA

Tohtasin Abdukarimov in Radiology/Рентгенология Чат
👍
источник